Galectin-3 Antibody (JF39-10)

Images

 
Western Blot: Galectin-3 Antibody (JF39-10) [NBP2-66857] - Western blot analysis of Galectin-3 on different lysates. Proteins were transferred to a PVDF membrane and blocked with 5% BSA in PBS for 1 hour at room ...read more
Immunocytochemistry/ Immunofluorescence: Galectin-3 Antibody (JF39-10) [NBP2-66857] - Staining Galectin 3 in NIH/3T3 cells (red). The nuclear counter stain is DAPI (blue). Cells were fixed in paraformaldehyde, ...read more
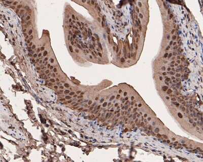
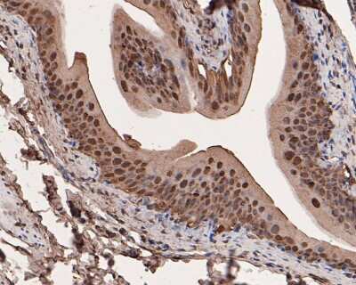
Immunohistochemistry-Paraffin: Galectin-3 Antibody (JF39-10) [NBP2-66857] - Analysis of paraffin-embedded rat bladder tissue with Rabbit anti-Galectin 3 antibody washed with ddH2O and PBS, and then probed with the ...read more
Flow Cytometry: Galectin-3 Antibody (JF39-10) [NBP2-66857] - Analysis of Hela cells with Galectin 3 antibody at 1/50 dilution (red) compared with an unlabelled control (cells without incubation with primary antibody; ...read more
Western Blot: Galectin-3 Antibody (JF39-10) [NBP2-66857] - Analysis of Galectin 3 on different lysates using anti-Galectin 3 antibody at 1/1,000 dilution. Positive control: Lane 1: Hela Lane 2: NIH/3T3 Lane 3: THP-1
Immunocytochemistry/ Immunofluorescence: Galectin-3 Antibody (JF39-10) [NBP2-66857] - Staining Galectin 3 in Hela cells (red). The nuclear counter stain is DAPI (blue). Cells were fixed in paraformaldehyde, ...read more
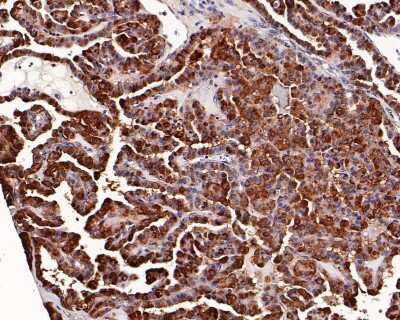
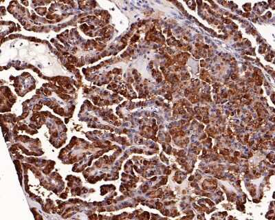
Immunohistochemistry-Paraffin: Galectin-3 Antibody (JF39-10) [NBP2-66857] - Analysis of paraffin-embedded human thyroid carcinoma tissue with Rabbit anti-Galectin-3 antibody washed with ddH2O and PBS, and then probed ...read more
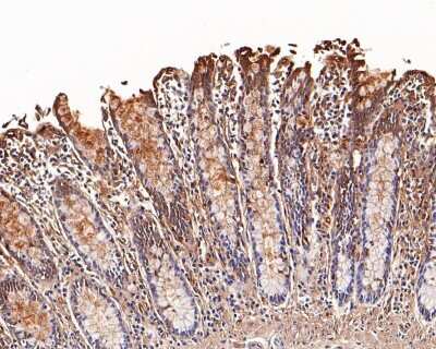
Immunohistochemistry-Paraffin: Galectin-3 Antibody (JF39-10) [NBP2-66857] - Analysis of paraffin-embedded human colon tissue with Rabbit anti-Galectin 3 (1/1,000) antibody. The section was pre-treated using heat ...read more

Product Details

Summary
Product Discontinued
View other related Galectin-3 Primary Antibodies

Order Details


    • Catalog Number
      NBP2-66857
    • Availability
      Product Discontinued

    Can't find what you are looking for? Use our Antibody Concierge Service & we will help you locate your antibody!

    Or feel free to contact us for alternative products.

Galectin-3 Antibody (JF39-10) Summary

Additional Information
Recombinant Monoclonal Antibody.
Immunogen
Synthetic peptide within Human Galectin-3 aa 1-49 / 250. (SwissProt: P17931 Human; SwissProt: P16110 Mouse; SwissProt: P08699 Rat)
Localization
Nucleus, Secreted, Cytoplasm.
Isotype
IgG
Clonality
Monoclonal
Host
Rabbit
Gene
LGALS3
Purity
Protein A purified
Innovator's Reward
Test in a species/application not listed above to receive a full credit towards a future purchase.

Applications/Dilutions

Dilutions
  • Flow Cytometry 1:50-1:100
  • Immunocytochemistry/ Immunofluorescence 1:50-1:200
  • Immunohistochemistry 1:100 - 1:500
  • Immunohistochemistry-Frozen
  • Immunohistochemistry-Paraffin
  • Western Blot 1:500-1:2000

Packaging, Storage & Formulations

Storage
Store at 4C short term. Aliquot and store at -20C long term. Avoid freeze-thaw cycles.
Buffer
TBS (pH7.4), 0.05% BSA, 40% Glycerol
Preservative
0.05% Sodium Azide
Concentration
1 mg/ml
Purity
Protein A purified

Alternate Names for Galectin-3 Antibody (JF39-10)

  • AGE-R3
  • Carbohydrate-binding protein 35
  • CBP 35,35 kDa lectin
  • CBP35
  • GAL3
  • Gal-3
  • galactin-3
  • Galactose-specific lectin 3
  • Galactoside-binding protein
  • GALBPCBP35
  • Galectin3
  • Galectin-3
  • GALIG
  • IgE-binding protein
  • L29
  • L31
  • L-31
  • Laminin-binding protein
  • Lectin L-29
  • lectin, galactoside-binding, soluble, 3
  • LGALS2
  • LGALS3
  • Mac-2 antigen
  • Mac-2
  • MAC2GAL3

Background

Galactose-specific lectin which binds IgE. May mediate with the alpha-3, beta-1 integrin the stimulation by CSPG4 of endothelial cells migration. Together with DMBT1, required for terminal differentiation of columnar epithelial cells during early embryogenesis

Limitations

This product is for research use only and is not approved for use in humans or in clinical diagnosis. Primary Antibodies are guaranteed for 1 year from date of receipt.

Customers Who Viewed This Item Also Viewed...

AF1152
Species: Hu
Applications: CyTOF-ready, IHC, ICFlow, Simple Western, WB
NB100-687
Species: Hu, Mu, Rt
Applications: Flow, ICC/IF, IHC,  IHC-P, Simple Western, WB
NBP2-33582
Species: Hu, Pm
Applications: ICC/IF, IHC,  IHC-P
NBP1-91258
Species: Bv, Ca, Eq, Fe, Hu, Mu, Po, Rt
Applications: ICC/IF, IHC, IHC-Fr,  IHC-P, Simple Western, WB
AF2128
Species: Mu
Applications: IHC, WB
NBP1-82693
Species: Hu
Applications: IHC,  IHC-P, WB
NBP2-53210
Species: Hu
Applications: Flow, ICC/IF, IHC,  IHC-P, WB
AF1339
Species: Hu
Applications: ELISA(Cap), ELISA(Det), ELISA(Sta), IHC, Simple Western, WB
AF482
Species: Mu
Applications: IHC, WB
NB120-22711
Species: Hu, Mu
Applications: ELISA, Flow, ICC/IF, IHC, IHC-Fr,  IHC-P
AF2226
Species: Hu
Applications: ICC, Simple Western, WB
NBP2-79854
Species: Hu
Applications: CyTOF-ready, Flow, ICC/IF, IHC,  IHC-P, PA, WB
7268-CT
Species: Hu
Applications: BA
NBP2-79843
Species: Hu
Applications: CyTOF-ready, ELISA, Flow, ICC/IF, IHC,  IHC-P, PA, WB
NB100-524
Species: Hu, Mu
Applications: Flow-IC, Flow, ICC/IF, IHC, IHC-Fr,  IHC-P, IP, WB
6507-IL/CF
Species: Hu
Applications: BA
NBP1-81853
Species: Hu
Applications: ICC/IF, IHC,  IHC-P, WB

Publications for Galectin-3 Antibody (NBP2-66857) (0)

There are no publications for Galectin-3 Antibody (NBP2-66857).
By submitting your publication information earn gift cards and discounts for future purchases.

Reviews for Galectin-3 Antibody (NBP2-66857) (0)

There are no reviews for Galectin-3 Antibody (NBP2-66857). By submitting a review you will receive an Amazon e-Gift Card or Novus Product Discount.
  • Review with no image -- $10/€7/£6/$10 CAD/¥70 Yuan/¥1110 Yen
  • Review with an image -- $25/€18/£15/$25 CAD/¥150 Yuan/¥2500 Yen

Product General Protocols

Video Protocols

WB Video Protocol
ICC/IF Video Protocol

FAQs for Galectin-3 Antibody (NBP2-66857) (0)

There are no specific FAQs related to this product. Read our general customer & technical service FAQs.

Contact Information

Product PDFs

Calculators

Concentration Calculator

The concentration calculator allows you to quickly calculate the volume, mass or concentration of your vial. Simply enter your mass, volume, or concentration values for your reagent and the calculator will determine the rest.

=
÷

Review this Product

Be the first to review our Galectin-3 Antibody (JF39-10) and receive a gift card or discount.

Bioinformatics

Gene Symbol LGALS3