Ferritin Heavy Chain Antibody (FTH/8700R) - Azide and BSA Free

Images

 
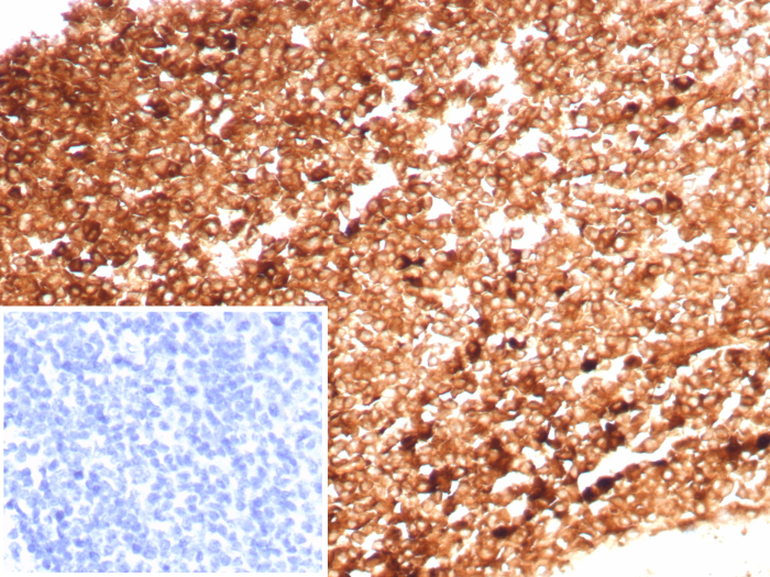
Formalin-fixed, paraffin-embedded human tonsil stained with Ferritin Heavy Chain antibody (FTH/8700R). HIER: Tris/EDTA, pH9.0, 45min. Secondary: HRP-polymer, 30min. DAB, 5min.
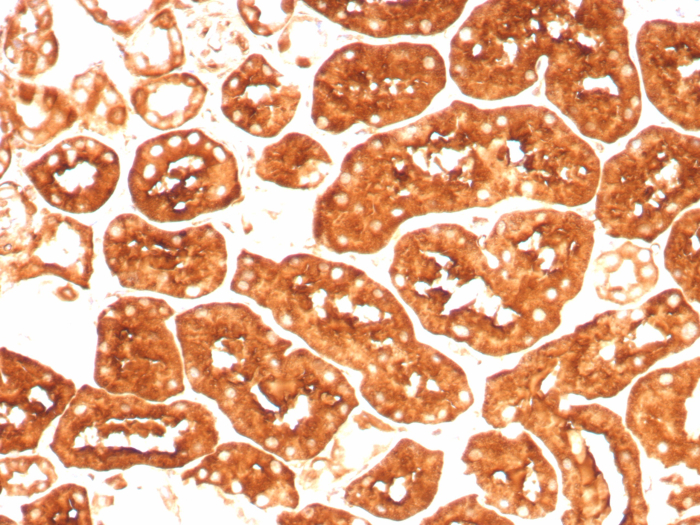
Formalin-fixed, paraffin-embedded human kidney stained with Ferritin Heavy Chain antibody (FTH/8700R). HIER: Tris/EDTA, pH9.0, 45min. Secondary: HRP-polymer, 30min. DAB, 5min.
Western Blot Analysis of Human Brain, Mouse Brain, Rat Brain, Human Kidney, Mouse Kidney, Rat Kidney, Human Lungs, Mouse Lungs and Rat Lungs tissue lysates using Ferritin Heavy Chain Antibody (FTH/8700R) - Azide and BSA ...read more
Western Blot Analysis of A-549 and A-431 lysate using Ferritin Heavy Chain Antibody (FTH/8700R) - Azide and BSA Free.

Product Details

Summary
Reactivity HuSpecies Glossary
Applications IHC
Clone
FTH/8700R
Clonality
Monoclonal
Host
Rabbit
Conjugate
Unconjugated
Format
Azide and BSA Free
Concentration
1 mg/ml

Order Details

Ferritin Heavy Chain Antibody (FTH/8700R) - Azide and BSA Free Summary

Description
Positive Controls: Human liver tissue. Liver tissue lysate.

Antibody with azide - store at 2 to 8C. Antibody without azide - store at -20 to -80C. Non-hazardous. No MSDS required.
Additional Information
Recombinant Monoclonal Antibody
Immunogen
Recombinant human Ferritin Heavy Chain protein fragment (around aa 58-180) (exact sequence is proprietary)
Localization
Cytoplasm.
Isotype
IgG Kappa
Clonality
Monoclonal
Host
Rabbit
Gene
FTH1
Purity
Protein A or G purified
Innovator's Reward
Test in a species/application not listed above to receive a full credit towards a future purchase.

Applications/Dilutions

Dilutions
  • Immunohistochemistry-Paraffin 1-2 ug/ml
Application Notes
Immunohistochemistry (Formalin-fixed): 1-2ug/ml for 30 minutes. at RT. Staining of formalin-fixed tissues requires heating tissue sections in 10mM Tris with 1mM EDTA, pH 9.0, for 45 min at 95C followed by cooling at RT for 20 minutes.

Optimal dilution for a specific application should be determined.

Packaging, Storage & Formulations

Storage
Store at -20 to -70C. Avoid freeze-thaw cycles.
Buffer
10mM PBS
Preservative
No Preservative
Concentration
1 mg/ml
Purity
Protein A or G purified

Alternate Names for Ferritin Heavy Chain Antibody (FTH/8700R) - Azide and BSA Free

  • apoferritin
  • Cell proliferation-inducing gene 15 protein
  • Ferritin H subunit
  • ferritin heavy chain
  • ferritin, heavy polypeptide 1
  • FHC
  • FTHEC 1.16.3.1
  • FTHL6MGC104426
  • PIG15
  • placenta immunoregulatory factor
  • PLIF
  • proliferation-inducing protein 15

Background

This gene encodes the heavy subunit of ferritin, the major intracellular iron storage protein in prokaryotes and eukaryotes. It is composed of 24 subunits of the heavy and light ferritin chains. Variation in ferritin subunit composition may affect the rates of iron uptake and release in different tissues. A major function of ferritin is the storage of iron in a soluble and nontoxic state. Defects in ferritin proteins are associated with several neurodegenerative diseases. This gene has multiple pseudogenes. Several alternatively spliced transcript variants have been observed, but their biological validity has not been determined. [provided by RefSeq, Jul 2008]

Limitations

This product is for research use only and is not approved for use in humans or in clinical diagnosis. Primary Antibodies are guaranteed for 1 year from date of receipt.

Customers Who Viewed This Item Also Viewed...

NBP3-15868
Species: Hu, Mu, Rt
Applications: ELISA, ICC/IF, IHC,  IHC-P, WB
2914-HT
Species: Hu
Applications: BA
NB200-540
Species: Ec, Mu
Applications: CyTOF-ready, Flow-IC, Flow, IA, ICC/IF, IHC, IHC-Fr,  IHC-P, IP
NBP1-97507
Species: Bv, Ca, Hu, Mu, Rt
Applications: Flow, ICC/IF, IHC,  IHC-P, Simple Western, WB
MAB1455
Species: Hu
Applications: CyTOF-ready, Dual ISH-IHC, ICC, IHC, ICFlow, Simple Western, WB
NBP1-06986
Species: Hu, Mu, Rt
Applications: IHC, PEP-ELISA, WB
H00006124-M01
Species: Hu, Mu, Rt
Applications: ELISA, ICC/IF, S-ELISA, WB
H00058516-B02P
Species: Hu
Applications: ICC/IF, IHC,  IHC-P, KD, WB
DY417
Species: Mu
Applications: ELISA
AF3398
Species: Hu, Mu, Rt
Applications: ICC, KO, Simple Western, WB
NBP2-20486
Species: Hu, Mu
Applications: ICC/IF, IHC,  IHC-P, IP, WB
NBP2-34294
Species: Hu, Mu, Rt
Applications: Flow, IHC,  IHC-P
NBP1-87677
Species: Hu, Mu, Rt
Applications: ICC/IF, IHC,  IHC-P, WB
NB100-56583
Species: Hu, Rb, Rt
Applications: Flow, IHC,  IHC-P, KO, Simple Western, WB
NBP1-31413
Species: Hu, Mu, Rt
Applications: ICC/IF, IHC,  IHC-P, KD, WB

Publications for Ferritin Heavy Chain Antibody (NBP3-20850) (0)

There are no publications for Ferritin Heavy Chain Antibody (NBP3-20850).
By submitting your publication information earn gift cards and discounts for future purchases.

Reviews for Ferritin Heavy Chain Antibody (NBP3-20850) (0)

There are no reviews for Ferritin Heavy Chain Antibody (NBP3-20850). By submitting a review you will receive an Amazon e-Gift Card or Novus Product Discount.
  • Review with no image -- $10/€7/£6/$10 CAD/¥70 Yuan/¥1110 Yen
  • Review with an image -- $25/€18/£15/$25 CAD/¥150 Yuan/¥2500 Yen

Product General Protocols

Find general support by application which include: protocols, troubleshooting, illustrated assays, videos and webinars.

FAQs for Ferritin Heavy Chain Antibody (NBP3-20850) (0)

There are no specific FAQs related to this product. Read our general customer & technical service FAQs.

Secondary Antibodies

 

Isotype Controls

Additional Ferritin Heavy Chain Products

Research Areas for Ferritin Heavy Chain Antibody (NBP3-20850)

Find related products by research area.

Blogs on Ferritin Heavy Chain

There are no specific blogs for Ferritin Heavy Chain, but you can read our latest blog posts.

Customers Who Bought This Also Bought

Contact Information

Product PDFs

Calculators

Concentration Calculator

The concentration calculator allows you to quickly calculate the volume, mass or concentration of your vial. Simply enter your mass, volume, or concentration values for your reagent and the calculator will determine the rest.

=
÷

Review this Product

Be the first to review our Ferritin Heavy Chain Antibody (FTH/8700R) - Azide and BSA Free and receive a gift card or discount.

Bioinformatics

Gene Symbol FTH1