ferric-chelate reductase 1 Antibody - BSA Free

Images

 
Western Blot: ferric-chelate reductase 1 Antibody [NBP1-90668] - Lane 1: Marker [kDa] 230, 130, 95, 72, 56, 36, 28, 17, 11. Lane 2: Human cell line RT-216
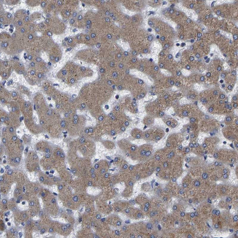
Staining of human liver shows moderate cytoplasmic positivity in hepatocytes.
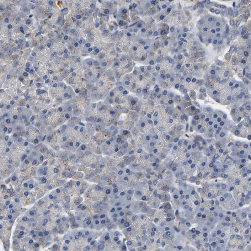
Staining of human pancreas shows no cytoplasmic positivity in exocrine glandular cells as expected.
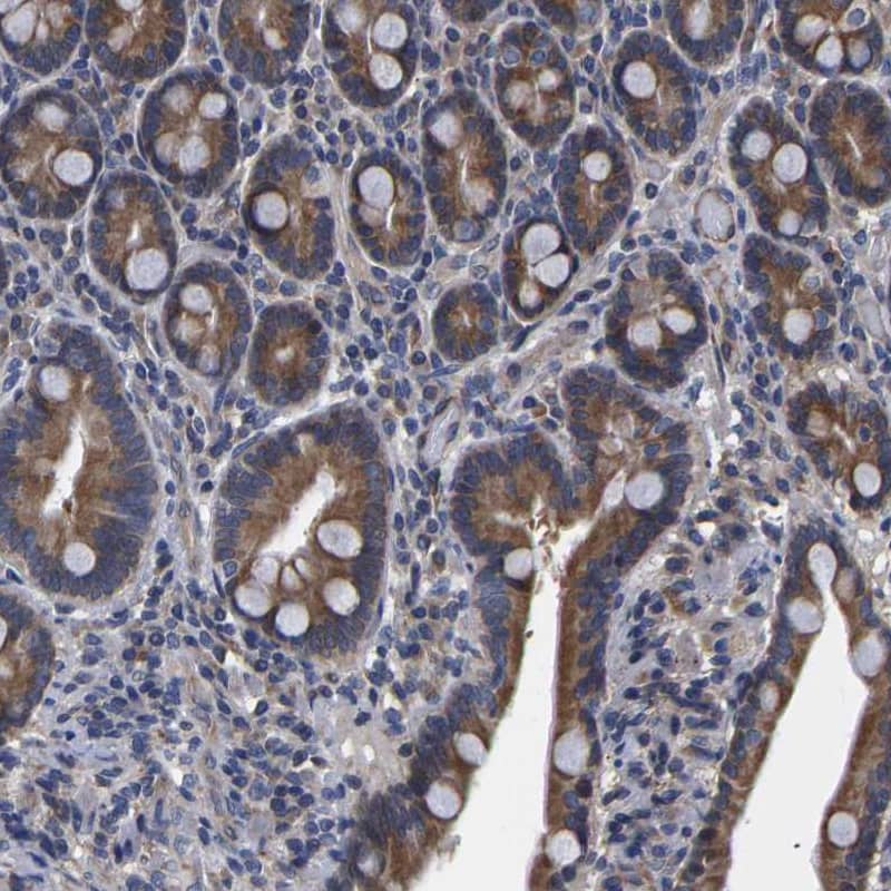
Staining of human duodenum shows moderate cytoplasmic positivity in glandular cells.
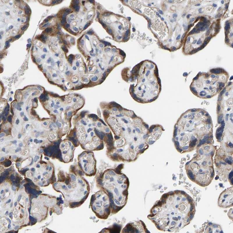
Staining of human placenta shows strong cytoplasmic positivity in trophoblastic cells.

Product Details

Summary
Reactivity HuSpecies Glossary
Applications WB, IHC
Clonality
Polyclonal
Host
Rabbit
Conjugate
Unconjugated
Format
BSA Free

Order Details

View Available Formulations
Catalog# & Formulation Size Price

ferric-chelate reductase 1 Antibody - BSA Free Summary

Description
Novus Biologicals Rabbit ferric-chelate reductase 1 Antibody - BSA Free (NBP1-90668) is a polyclonal antibody validated for use in IHC and WB. All Novus Biologicals antibodies are covered by our 100% guarantee.
Immunogen
This antibody was developed against Recombinant Protein corresponding to amino acids: SHLTKPFSASDCGNKKFCIRSPLNCDPEKEASCVFLSFTRDDQSVMVEMSGPSKGYLSFALSHDQWMGDDDAYLCIHEDQTVYIQPSHLTGRSHPVMDSRDTLEDMAWRLADGVMQCSFRRNITLPGVKNRFDLNTSYYIFLADGAANDG
Isotype
IgG
Clonality
Polyclonal
Host
Rabbit
Gene
FRRS1
Purity
Affinity purified
Innovator's Reward
Test in a species/application not listed above to receive a full credit towards a future purchase.

Applications/Dilutions

Dilutions
  • Immunohistochemistry 1:50 - 1:200
  • Immunohistochemistry-Paraffin 1:50 - 1:200
  • Western Blot 0.04-0.4 ug/ml
Application Notes
For IHC-Paraffin, HIER pH 6 retrieval is recommended.
Control Peptide
ferric-chelate reductase 1 Protein (NBP1-90668PEP)

Reactivity Notes

Immunogen displays the following percentage of sequence identity for non-tested species: Mouse (83%), Rat (85%)

Packaging, Storage & Formulations

Storage
Store at 4C short term. Aliquot and store at -20C long term. Avoid freeze-thaw cycles.
Buffer
PBS (pH 7.2) and 40% Glycerol
Preservative
0.02% Sodium Azide
Purity
Affinity purified

Alternate Names for ferric-chelate reductase 1 Antibody - BSA Free

  • ferric-chelate reductase 1
  • SDR2
  • stromal cell derived factor receptor 2 homolog
  • stromal cell-derived receptor 2

Limitations

This product is for research use only and is not approved for use in humans or in clinical diagnosis. Primary Antibodies are guaranteed for 1 year from date of receipt.

Customers Who Viewed This Item Also Viewed...

NB300-914
Species: Hu, Mu
Applications: IHC,  IHC-P, PEP-ELISA
NBP1-83422
Species: Hu
Applications: IHC,  IHC-P
NBP1-31386
Species: Hu, Mu, Rt
Applications: IHC,  IHC-P, WB
NBP2-01506
Species: Hu
Applications: Flow, ICC/IF, IHC,  IHC-P, WB
NBP2-02623
Species: Ca, Hu, Mu, Rt
Applications: Flow, ICC/IF, IHC,  IHC-P, WB
2914-HT
Species: Hu
Applications: BA
AF7007
Species: Mu
Applications: IHC, WB
AF5360
Species: Hu, Mu
Applications: IHC, WB
NB300-917
Species: Hu, Mu
Applications: ICC/IF, IHC,  IHC-P
NBP2-38464
Species: Hu
Applications: ICC/IF, IHC,  IHC-P, KD, WB
NBP1-84071
Species: Hu
Applications: IHC,  IHC-P, WB
NBP2-58836
Species: Hu
Applications: IHC,  IHC-P
NBP1-81838
Species: Hu, Mu
Applications: IHC,  IHC-P, WB
NBP1-90095
Species: Hu
Applications: IHC,  IHC-P
NBP1-78977
Species: Hu, Mu, Rt
Applications: Flow-IC, Flow, ICC/IF, IHC,  IHC-P, IM, IP, Simple Western, WB
H00004891-M01
Species: Bv, Hu, Mu, Po
Applications: ELISA, ICC/IF, IHC,  IHC-P, IP, WB
NBP2-48836
Species: Ca, Hu
Applications: ICC/IF, IHC,  IHC-P
H00002176-M01
Species: Hu
Applications: ELISA, ICC/IF, WB
H00008458-M06
Species: Hu, Mu, Rt
Applications: ELISA, ICC/IF, WB
NBP1-90668
Species: Hu
Applications: WB, IHC

Publications for ferric-chelate reductase 1 Antibody (NBP1-90668) (0)

There are no publications for ferric-chelate reductase 1 Antibody (NBP1-90668).
By submitting your publication information earn gift cards and discounts for future purchases.

Reviews for ferric-chelate reductase 1 Antibody (NBP1-90668) (0)

There are no reviews for ferric-chelate reductase 1 Antibody (NBP1-90668). By submitting a review you will receive an Amazon e-Gift Card or Novus Product Discount.
  • Review with no image -- $10/€7/£6/$10 CAD/¥70 Yuan/¥1110 Yen
  • Review with an image -- $25/€18/£15/$25 CAD/¥150 Yuan/¥2500 Yen

Product General Protocols

Find general support by application which include: protocols, troubleshooting, illustrated assays, videos and webinars.

Video Protocols

WB Video Protocol

FAQs for ferric-chelate reductase 1 Antibody (NBP1-90668) (0)

There are no specific FAQs related to this product. Read our general customer & technical service FAQs.

Secondary Antibodies

 

Isotype Controls

Additional ferric-chelate reductase 1 Products

Blogs on ferric-chelate reductase 1

There are no specific blogs for ferric-chelate reductase 1, but you can read our latest blog posts.

Customers Who Bought This Also Bought

Contact Information

Product PDFs

Calculators

Concentration Calculator

The concentration calculator allows you to quickly calculate the volume, mass or concentration of your vial. Simply enter your mass, volume, or concentration values for your reagent and the calculator will determine the rest.

=
÷

Review this Product

Be the first to review our ferric-chelate reductase 1 Antibody - BSA Free and receive a gift card or discount.

Bioinformatics

Gene Symbol FRRS1