FAM72A Antibody - BSA Free

Images

 
Immunocytochemistry/ Immunofluorescence: FAM72A Antibody [NBP2-59790] - Staining of human cell line A-431 shows localization to cytosol & vesicles. Antibody staining is shown in green.
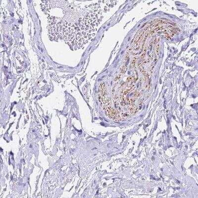
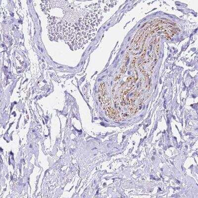
Immunohistochemistry-Paraffin: FAM72A Antibody [NBP2-59790] - Staining of human soft tissue shows moderate cytoplasmic positivity in peripheral nerve.

Product Details

Summary
Reactivity Hu, Mu, RtSpecies Glossary
Applications ICC/IF, IHC
Clonality
Polyclonal
Host
Rabbit
Conjugate
Unconjugated
Format
BSA Free

Order Details

View Available Formulations
Catalog# & Formulation Size Price

FAM72A Antibody - BSA Free Summary

Description
Novus Biologicals Rabbit FAM72A Antibody - BSA Free (NBP2-59790) is a polyclonal antibody validated for use in IHC and ICC/IF. All Novus Biologicals antibodies are covered by our 100% guarantee.
Immunogen
This antibody was developed against a recombinant protein corresponding to the amino acid sequence: CVSILCCKFCKQVLSSRGMKAVLLADTEIDLFSTDIPPTNAVDFTGRCYFT
Predicted Species
Mouse (94%), Rat (92%). Backed by our 100% Guarantee.
Isotype
IgG
Clonality
Polyclonal
Host
Rabbit
Gene
FAM72A
Purity
Affinity purified
Innovator's Reward
Test in a species/application not listed above to receive a full credit towards a future purchase.

Applications/Dilutions

Dilutions
  • Immunocytochemistry/ Immunofluorescence 0.25-2 ug/ml
  • Immunohistochemistry 1:500 - 1:1000
  • Immunohistochemistry-Paraffin 1:500 - 1:1000
Application Notes
For IHC-Paraffin, HIER pH 6 retrieval is recommended. ICC/IF Fixation Permeabilization: Use PFA/Triton X-100.
Control Peptide
FAM72A Recombinant Protein Antigen (NBP2-59790PEP)

Packaging, Storage & Formulations

Storage
Store at 4C short term. Aliquot and store at -20C long term. Avoid freeze-thaw cycles.
Buffer
PBS (pH 7.2) and 40% Glycerol
Preservative
0.02% Sodium Azide
Purity
Affinity purified

Alternate Names for FAM72A Antibody - BSA Free

  • Family With Sequence Similarity 72 Member A
  • Family With Sequence Similarity 72, Member A
  • Latent Membrane Protein 1-Induced Protein
  • LMP1-Induced Protein
  • LMPIP
  • Protein FAM72A
  • Ugene

Limitations

This product is for research use only and is not approved for use in humans or in clinical diagnosis. Primary Antibodies are guaranteed for 1 year from date of receipt.

Customers Who Viewed This Item Also Viewed...

NBP1-84841
Species: Hu
Applications: ICC/IF, IHC,  IHC-P, WB
NBP1-31308
Species: Bv, Hu, Mu, Rt
Applications: ICC/IF, IHC,  IHC-P, Simple Western, WB
NBP2-32840
Species: Hu, Pm, Mu, Rt
Applications: Flow, ICC/IF, IHC,  IHC-P, WB
NBP1-26612
Species: Hu
Applications: IP (-), WB
NB300-812
Species: Hu, Rt
Applications: IHC,  IHC-P, PEP-ELISA, WB
NBP2-88921
Species: Hu
Applications: ICC/IF, IHC,  IHC-P, WB
NB600-1031
Species: Hu, Mu, Rb, Rt
Applications: ICC/IF, IHC,  IHC-P, WB
NBP1-89679
Species: Hu, Mu, Rt
Applications: ChIP-EXO-SEQ, ICC/IF, IHC, IHC-Fr,  IHC-P, WB
H00007536-M01
Species: Hu, Mu
Applications: ELISA, ICC/IF, IHC,  IHC-P, IP, WB

Publications for FAM72A Antibody (NBP2-59790) (0)

There are no publications for FAM72A Antibody (NBP2-59790).
By submitting your publication information earn gift cards and discounts for future purchases.

Reviews for FAM72A Antibody (NBP2-59790) (0)

There are no reviews for FAM72A Antibody (NBP2-59790). By submitting a review you will receive an Amazon e-Gift Card or Novus Product Discount.
  • Review with no image -- $10/€7/£6/$10 CAD/¥70 Yuan/¥1110 Yen
  • Review with an image -- $25/€18/£15/$25 CAD/¥150 Yuan/¥2500 Yen

Product General Protocols

Find general support by application which include: protocols, troubleshooting, illustrated assays, videos and webinars.

Video Protocols

ICC/IF Video Protocol

FAQs for FAM72A Antibody (NBP2-59790) (0)

There are no specific FAQs related to this product. Read our general customer & technical service FAQs.

Customers Who Bought This Also Bought

Contact Information

Product PDFs

Calculators

Concentration Calculator

The concentration calculator allows you to quickly calculate the volume, mass or concentration of your vial. Simply enter your mass, volume, or concentration values for your reagent and the calculator will determine the rest.

=
÷

Review this Product

Be the first to review our FAM72A Antibody - BSA Free and receive a gift card or discount.

Bioinformatics

Gene Symbol FAM72A