epithelial Sodium Channel gamma Antibody

Images

 
Western Blot: epithelial Sodium Channel gamma Antibody [NBP2-76964] - Western blot analysis of SCNN1G on A431 cell lysate using anti-SCNN1G antibody at 1/1,000 dilution.
Immunocytochemistry/ Immunofluorescence: epithelial Sodium Channel gamma Antibody [NBP2-76964] - ICC staining SCNN1G in A431 cells (green). The nuclear counter stain is DAPI (blue). Cells were fixed in paraformaldehyde, ...read more
Immunohistochemistry: epithelial Sodium Channel gamma Antibody [NBP2-76964] - Immunohistochemical analysis of paraffin-embedded mouse brain tissue using anti-SCNN1G antibody. Counter stained with hematoxylin.
Flow Cytometry: epithelial Sodium Channel gamma Antibody [NBP2-76964] - Flow cytometric analysis of 293T cells with SCNN1G antibody at 1/100 dilution (red) compared with an unlabelled control (cells without incubation ...read more
Immunocytochemistry/ Immunofluorescence: epithelial Sodium Channel gamma Antibody [NBP2-76964] - ICC staining SCNN1G in 293T cells (green). The nuclear counter stain is DAPI (blue). Cells were fixed in paraformaldehyde, ...read more
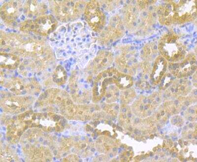
Immunohistochemistry: epithelial Sodium Channel gamma Antibody [NBP2-76964] - Immunohistochemical analysis of paraffin-embedded rat kidney tissue using anti-SCNN1G antibody. Counter stained with hematoxylin.

Order Details


    • Catalog Number
      NBP2-76964
    • Availability
      Product Discontinued

    Can't find what you are looking for? Use our Antibody Concierge Service & we will help you locate your antibody!

    Or feel free to contact us for alternative products.

epithelial Sodium Channel gamma Antibody Summary

Immunogen
Recombinant protein within Human epithelial Sodium Channel gamma aa 160-342 / 649. (SwissProt: P51170 Human; SwissProt: Q9WU39 Mouse; SwissProt: P37091 Rat)
Localization
Plasma membrane.
Isotype
IgG
Clonality
Polyclonal
Host
Rabbit
Gene
SCNN1G
Purity
Immunogen affinity purified
Innovator's Reward
Test in a species/application not listed above to receive a full credit towards a future purchase.

Applications/Dilutions

Dilutions
  • Flow Cytometry 1:50-1:100
  • Immunocytochemistry/ Immunofluorescence 1:50-1:200
  • Immunohistochemistry
  • Immunohistochemistry-Paraffin 1:50-1:200
  • Western Blot 1:500-1:2000
Theoretical MW
74 kDa.
Disclaimer note: The observed molecular weight of the protein may vary from the listed predicted molecular weight due to post translational modifications, post translation cleavages, relative charges, and other experimental factors.

Packaging, Storage & Formulations

Storage
Store at 4C short term. Aliquot and store at -20C long term. Avoid freeze-thaw cycles.
Buffer
PBS (pH7.4), 0.2% BSA, 50% Glycerol
Preservative
0.05% Sodium Azide
Concentration
1 mg/ml
Purity
Immunogen affinity purified

Alternate Names for epithelial Sodium Channel gamma Antibody

  • amiloride-sensitive epithelial sodium channel gamma subunit
  • amiloride-sensitive sodium channel gamma-subunit
  • BESC3
  • ENaC gamma subunit
  • ENaCG
  • ENaCgamma
  • Epithelial Na(+) channel subunit gamma
  • gamma-ENaC
  • gamma-NaCH
  • Nonvoltage-gated sodium channel 1 subunit gamma
  • PHA1
  • SCNEGamiloride-sensitive sodium channel subunit gamma
  • sodium channel, nonvoltage-gated 1, gamma

Background

Nonvoltage-gated, amiloride-sensitive, sodium channels control fluid and electrolyte transport across epithelia in many organs. These channels are heteromeric complexes consisting of 3 subunits: alpha, beta, and gamma. This gene encodes the gamma subunit, and mutations in this gene have been associated with Liddle syndrome. [provided by RefSeq]

Limitations

This product is for research use only and is not approved for use in humans or in clinical diagnosis. Primary Antibodies are guaranteed for 1 year from date of receipt.

Customers Who Viewed This Item Also Viewed...

NBP3-18257
Species: Ha, Hu, Mu, Rt, Xp
Applications: ICC/IF, IHC, IP, WB
NB100-74357
Species: Hu, Mu, Rt
Applications: ICC/IF, WB
NBP1-44270
Species: Ca, Hu, Mu, Rt
Applications: EM, ICC/IF, IHC,  IHC-P, WB
NB300-562
Species: Ch, Hu, Mu, Rb, Rt, Sh
Applications: B/N, Flow, ICC/IF, IHC,  IHC-P, WB
NBP1-80993
Species: Hu
Applications: ICC/IF, IHC,  IHC-P, WB
AF3200
Species: Hu
Applications: IHC, WB
NB110-74682
Species: Hu, Mu, Rt
Applications: ICC/IF, IHC, IHC-Fr,  IHC-P, WB
NBP1-82574
Species: Hu, Mu, Po
Applications: ICC/IF, IHC, IHC-Fr,  IHC-P, PAGE, WB
NBP1-83258
Species: Hu
Applications: IHC,  IHC-P
NBP1-82874
Species: Hu, Mu, Rt
Applications: ICC/IF, IHC,  IHC-P
NBP2-22203
Species: Hu, Pm, Mu, Rt
Applications: ELISA, Flow, ICC/IF, IHC,  IHC-P, WB
AF4090
Species: Hu
Applications: IHC, IP, Neut, WB
H00023327-P01
Species: Hu
Applications: ELISA, AP, PA, WB
NBP1-30027
Species: Hu, Mu, Rt
Applications: ICC/IF, IHC,  IHC-P, WB
AF4928
Species: Hu
Applications: CyTOF-ready, Flow, WB
NBP2-76964
Species: Hu, Mu, Rt
Applications: WB, Flow, ICC/IF, IHC

Publications for epithelial Sodium Channel gamma Antibody (NBP2-76964) (0)

There are no publications for epithelial Sodium Channel gamma Antibody (NBP2-76964).
By submitting your publication information earn gift cards and discounts for future purchases.

Reviews for epithelial Sodium Channel gamma Antibody (NBP2-76964) (0)

There are no reviews for epithelial Sodium Channel gamma Antibody (NBP2-76964). By submitting a review you will receive an Amazon e-Gift Card or Novus Product Discount.
  • Review with no image -- $10/€7/£6/$10 CAD/¥70 Yuan/¥1110 Yen
  • Review with an image -- $25/€18/£15/$25 CAD/¥150 Yuan/¥2500 Yen

Product General Protocols

Find general support by application which include: protocols, troubleshooting, illustrated assays, videos and webinars.

Video Protocols

WB Video Protocol
ICC/IF Video Protocol

FAQs for epithelial Sodium Channel gamma Antibody (NBP2-76964) (0)

There are no specific FAQs related to this product. Read our general customer & technical service FAQs.

Contact Information

Product PDFs

Calculators

Concentration Calculator

The concentration calculator allows you to quickly calculate the volume, mass or concentration of your vial. Simply enter your mass, volume, or concentration values for your reagent and the calculator will determine the rest.

=
÷

Review this Product

Be the first to review our epithelial Sodium Channel gamma Antibody and receive a gift card or discount.

Bioinformatics

Gene Symbol SCNN1G