ELA3A Antibody (CELA3A/12552) - Azide and BSA Free

Images

 
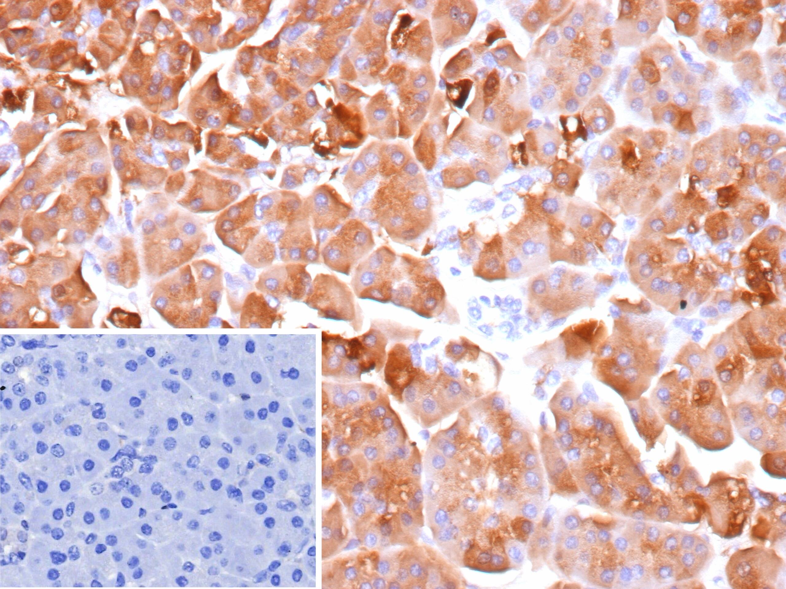
Formalin-fixed, paraffin-embedded human pancreas stained with ELA3A Antibody (CELA3A/12552) - Azide and BSA Free. Inset: PBS instead of primary antibody; secondary only negative control.
Western Blot Analysis of human pancreas lysate using ELA3A Antibody (CELA3A/12552) - Azide and BSA Free.

Product Details

Summary
Reactivity HuSpecies Glossary
Applications WB, IHC
Clone
CELA3A/12552
Clonality
Monoclonal
Host
Mouse
Conjugate
Unconjugated
Format
Azide and BSA Free
Concentration
1 mg/ml

Order Details

View Available Formulations
Catalog# & Formulation Size Price

ELA3A Antibody (CELA3A/12552) - Azide and BSA Free Summary

Description
1.0 mg/ml of antibody purified from Bioreactor Concentrate by Protein A/G. Prepared in 10mM PBS WITHOUT BSA & azide. Also available at 200 ug/ml WITH BSA & azide (NBP3-44582).

Antibody with azide - store at 2 to 8C. Antibody without azide - store at -20 to -80C. Non-hazardous. No MSDS required.
Immunogen
Recombinant fragment (around aa50-250) of human ELA3A protein (Uniprot: P09093). Exact sequence is proprietary.
Localization
Cytoplasm, Extracellular space
Isotype
IgG1 Kappa
Clonality
Monoclonal
Host
Mouse
Gene
CELA3A
Purity
Protein G purified
Innovator's Reward
Test in a species/application not listed above to receive a full credit towards a future purchase.

Applications/Dilutions

Dilutions
  • Immunohistochemistry : 1-2ug/ml
  • Western Blot : 2-4ug/ml
Application Notes
Immunohistochemistry: 30 min at RT. Staining of formalin-fixed tissues requires heating tissue sections in 10mM Tris with 1mM EDTA, pH 9.0, for 45 min at 95C followed by cooling at RT for 20 minutes.
Theoretical MW
29 kDa.
Disclaimer note: The observed molecular weight of the protein may vary from the listed predicted molecular weight due to post translational modifications, post translation cleavages, relative charges, and other experimental factors.

Packaging, Storage & Formulations

Storage
Store at -20 to -80C. Avoid freeze-thaw cycles.
Buffer
10 mM PBS
Preservative
No Preservative
Concentration
1 mg/ml
Purity
Protein G purified

Alternate Names for ELA3A Antibody (CELA3A/12552) - Azide and BSA Free

  • chymotrypsin-like elastase family member 3A
  • chymotrypsin-like elastase family, member 3A
  • EC 3.4.21
  • EC 3.4.21.70
  • ELA3A
  • ELA3elastase 1
  • elastase 3A, pancreatic (protease E)
  • elastase 3A, pancreatic
  • Elastase IIIA
  • elastase-3A
  • Protease E

Background

Elastases form a subfamily of serine proteases that hydrolyze many proteins in addition to elastin. Humans have six elastase genes which encode the structurally similar proteins elastase 1, 2, 2A, 2B, 3A, and 3B. Unlike other elastases, elastase 3A has little elastolytic activity. Like most of the human elastases, elastase 3A is secreted from the pancreas as a zymogen and, like other serine proteases such as trypsin, chymotrypsin and kallikrein, it has a digestive function in the intestine. Elastase 3A preferentially cleaves proteins after alanine residues. Elastase 3A may also function in the intestinal transport and metabolism of cholesterol. Both elastase 3A and elastase 3B have been referred to as protease E and as elastase 1.

Limitations

This product is for research use only and is not approved for use in humans or in clinical diagnosis. Primary Antibodies are guaranteed for 1 year from date of receipt.

Customers Who Viewed This Item Also Viewed...

NBP2-54301
Species: Hu, Mu, Rt
Applications: CyTOF-ready, ELISA, IHC,  IHC-P, WB
H00006690-M01
Species: Hu, Mu
Applications: ELISA, ICC/IF, IHC, IHC-Fr,  IHC-P, IP, WB
H00001990-M02
Species: Hu
Applications: ELISA, ICC/IF, IHC,  IHC-P, S-ELISA, WB
NB100-2076
Species: Bv, Fe, Hu, Rb
Applications: ICC/IF, IHC, IHC-Fr,  IHC-P, WB
MAB5018
Species: Hu
Applications: IP, WB
H00151056-B01P
Species: Hu, Mu
Applications: WB
NBP2-34594
Species: Hu, Pm
Applications: CyTOF-ready, Flow, ICC/IF, IHC,  IHC-P
AF4478
Species: Hu
Applications: IHC, WB
MAB2669
Species: Hu
Applications: IHC, Simple Western, WB
NBP3-41306
Species: Hu, Mu, Rt
Applications: WB
DY4517-05
Species: Mu
Applications: ELISA
NBP3-15533
Species: Mu, Rt
Applications: ICC/IF, IHC, WB
MAB1455
Species: Hu
Applications: CyTOF-ready, Dual ISH-IHC, ICC, IHC, ICFlow, Simple Western, WB
MAB4937
Species: Hu
Applications: CyTOF-ready, ICFlow, WB
AF9024
Species: Mu, Rt
Applications: IHC, WB
DY1707
Species: Hu
Applications: ELISA
AF3848
Species: Hu
Applications: IHC, IP, WB
NBP2-62664
Species: Hu
Applications: IHC,  IHC-P

Publications for ELA3A Antibody (NBP3-45066) (0)

There are no publications for ELA3A Antibody (NBP3-45066).
By submitting your publication information earn gift cards and discounts for future purchases.

Reviews for ELA3A Antibody (NBP3-45066) (0)

There are no reviews for ELA3A Antibody (NBP3-45066). By submitting a review you will receive an Amazon e-Gift Card or Novus Product Discount.
  • Review with no image -- $10/€7/£6/$10 CAD/¥70 Yuan/¥1110 Yen
  • Review with an image -- $25/€18/£15/$25 CAD/¥150 Yuan/¥2500 Yen

Product General Protocols

Find general support by application which include: protocols, troubleshooting, illustrated assays, videos and webinars.

Video Protocols

WB Video Protocol

FAQs for ELA3A Antibody (NBP3-45066) (0)

There are no specific FAQs related to this product. Read our general customer & technical service FAQs.

Secondary Antibodies

 

Isotype Controls

Additional ELA3A Products

Research Areas for ELA3A Antibody (NBP3-45066)

Find related products by research area.

Blogs on ELA3A

There are no specific blogs for ELA3A, but you can read our latest blog posts.

Customers Who Bought This Also Bought

Contact Information

Product PDFs

Calculators

Concentration Calculator

The concentration calculator allows you to quickly calculate the volume, mass or concentration of your vial. Simply enter your mass, volume, or concentration values for your reagent and the calculator will determine the rest.

=
÷

Review this Product

Be the first to review our ELA3A Antibody (CELA3A/12552) - Azide and BSA Free and receive a gift card or discount.

Bioinformatics

Gene Symbol CELA3A