EIG121 Antibody - BSA Free

Images

 
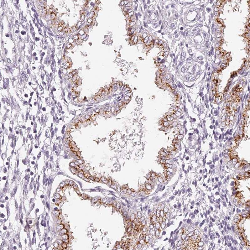
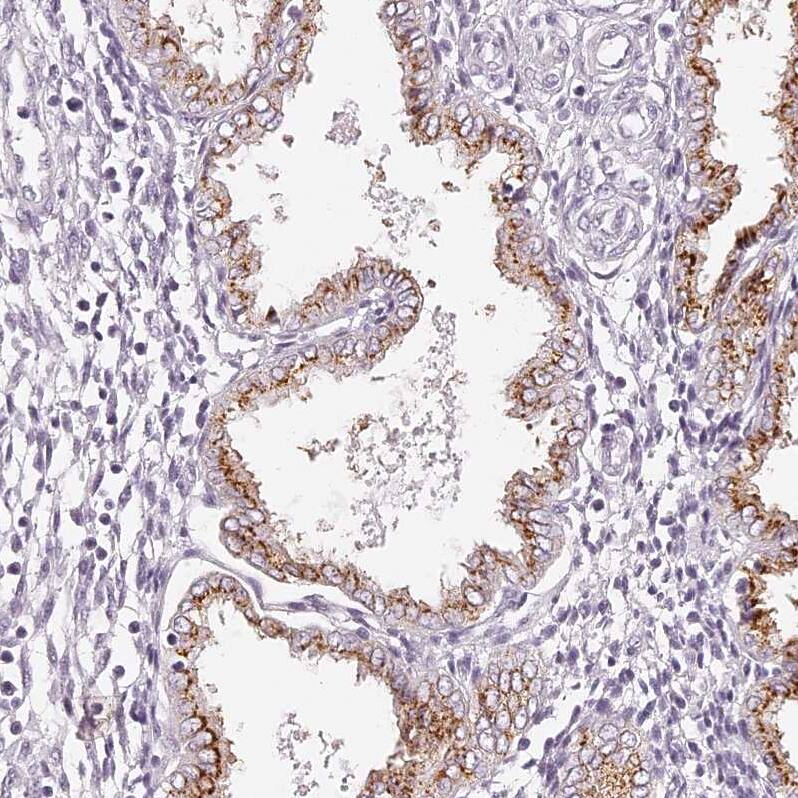
Staining of human endometrium).
Orthogonal Strategies: Analysis in human pancreas and liver tissues using NBP1-90479 antibody. Corresponding KIAA1324 RNA-seq data are presented for the same tissues.
Staining of human liver shows no positivity as expected.
Staining of human endometrium shows strong cytoplasm granular positivity in glandular cells.
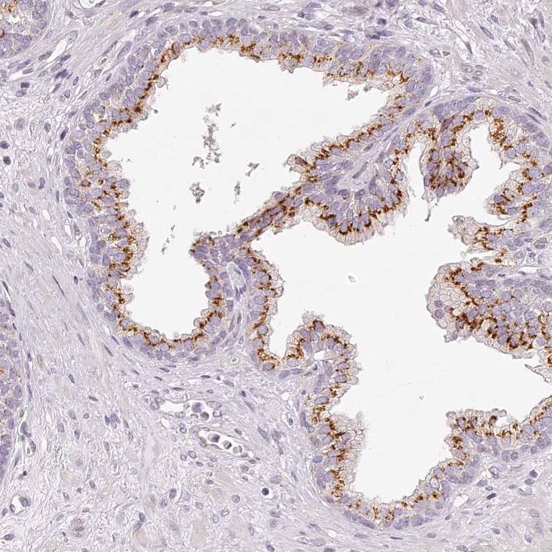
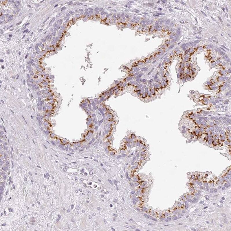
Staining of human prostate shows strong cytoplasm granular positivity in glandular cells.

Product Details

Summary
Reactivity HuSpecies Glossary
Applications IHC
Clonality
Polyclonal
Host
Rabbit
Conjugate
Unconjugated
Format
BSA Free
Validated by:
       

Orthogonal Strategies

 

Order Details

View Available Formulations
Catalog# & Formulation Size Price

EIG121 Antibody - BSA Free Summary

Description
Novus Biologicals Rabbit EIG121 Antibody - BSA Free (NBP1-90479) is a polyclonal antibody validated for use in IHC. All Novus Biologicals antibodies are covered by our 100% guarantee.
Immunogen
This antibody was developed against Recombinant Protein corresponding to amino acids: SLCYNDCTFSRNTPTRTFNYNFSALANTVTLAGGPSFTSKGLKYFHHFTLSLCGNQGRKMSVCTDNVTDLRIPEGESGFSKSITAYVCQAVIIPPEVTGYKAGVSSQPVSLADRLIGVTTDMTLDGITSPAELFHLESLGIPDVIF
Isotype
IgG
Clonality
Polyclonal
Host
Rabbit
Gene
ELAPOR1
Purity
Immunogen affinity purified
Innovator's Reward
Test in a species/application not listed above to receive a full credit towards a future purchase.

Applications/Dilutions

Dilutions
  • Immunohistochemistry 1:500 - 1:1000
  • Immunohistochemistry-Paraffin 1:500 - 1:1000
Application Notes
For IHC-Paraffin, HIER pH 6 retrieval is recommended.
Control Peptide
EIG121 Protein (NBP1-90479PEP)

Reactivity Notes

Immunogen displays the following percentage of sequence identity for non-tested species: Mouse (84%), Rat (86%)

Packaging, Storage & Formulations

Storage
Store at 4C short term. Aliquot and store at -20C long term. Avoid freeze-thaw cycles.
Buffer
PBS (pH 7.2) and 40% Glycerol
Preservative
0.02% Sodium Azide
Purity
Immunogen affinity purified

Alternate Names for EIG121 Antibody - BSA Free

  • estrogen-induced gene 121 protein
  • hypothetical protein LOC57535
  • KIAA1324
  • MGC150624

Limitations

This product is for research use only and is not approved for use in humans or in clinical diagnosis. Primary Antibodies are guaranteed for 1 year from date of receipt.

Customers Who Viewed This Item Also Viewed...

NB300-560
Species: Av, Bv, Ma, Hu, Mu, Pm, Rt
Applications: IF, IHC, IHC-Fr,  IHC-P, WB
H00005555-P01
Species: Hu
Applications: ELISA, AP, PA, PAGE, WB
NB100-2331
Species: Am, Ca, Fi, Hu, Mu, Pl, Rt, Ze
Applications: ChIP, ChIP, ELISA, Flow, IB, ICC/IF, IHC-WhMt, IHC, IHC-Fr,  IHC-P, IP, Simple Western, SB, WB
NBP1-26612
Species: Hu
Applications: IP (-), WB
5396-SF
Species: Hu
Applications: BA
NBP2-47602
Species: Hu
Applications: ICC/IF, IHC,  IHC-P
AF5415
Species: Hu
Applications: ICC, IHC, Simple Western, WB
NBP1-87158
Species: Hu
Applications: IHC,  IHC-P, Simple Western, WB
1827-SF/CF
Species: Hu
Applications: BA
NBP1-87511
Species: Hu
Applications: ICC/IF, IHC,  IHC-P, WB
NBP2-47583
Species: Hu
Applications: ICC/IF, IHC,  IHC-P, WB
NBP1-90479
Species: Hu
Applications: IHC

Publications for EIG121 Antibody (NBP1-90479) (0)

There are no publications for EIG121 Antibody (NBP1-90479).
By submitting your publication information earn gift cards and discounts for future purchases.

Reviews for EIG121 Antibody (NBP1-90479) (0)

There are no reviews for EIG121 Antibody (NBP1-90479). By submitting a review you will receive an Amazon e-Gift Card or Novus Product Discount.
  • Review with no image -- $10/€7/£6/$10 CAD/¥70 Yuan/¥1110 Yen
  • Review with an image -- $25/€18/£15/$25 CAD/¥150 Yuan/¥2500 Yen

Product General Protocols

Find general support by application which include: protocols, troubleshooting, illustrated assays, videos and webinars.

FAQs for EIG121 Antibody (NBP1-90479) (0)

There are no specific FAQs related to this product. Read our general customer & technical service FAQs.

Secondary Antibodies

 

Isotype Controls

Additional EIG121 Products

Research Areas for EIG121 Antibody (NBP1-90479)

Find related products by research area.

Blogs on EIG121

There are no specific blogs for EIG121, but you can read our latest blog posts.

Customers Who Bought This Also Bought

Contact Information

Product PDFs

Calculators

Concentration Calculator

The concentration calculator allows you to quickly calculate the volume, mass or concentration of your vial. Simply enter your mass, volume, or concentration values for your reagent and the calculator will determine the rest.

=
÷

Review this Product

Be the first to review our EIG121 Antibody - BSA Free and receive a gift card or discount.

Bioinformatics

Gene Symbol ELAPOR1