EIF3M Antibody

Images

 
Western Blot: EIF3M Antibody [NBP1-31045] - Sample(30 ug of whole cell lysate) A:H129910% SDS PAGE, antibody diluted at 1:1500.
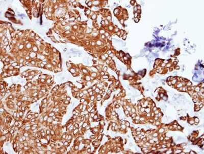
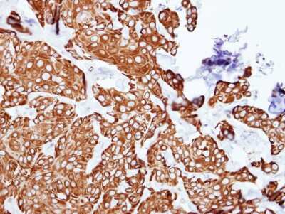
Immunohistochemistry-Paraffin: EIF3M Antibody [NBP1-31045] - Cal27 xenograft, using PCID1 antibody at 1:500 dilution. Antigen Retrieval: Trilogy™ (EDTA based, pH 8.0) buffer, 15min

Product Details

Summary
Product Discontinued
View other related EIF3M Primary Antibodies

Order Details


    • Catalog Number
      NBP1-31045
    • Availability
      Product Discontinued

    Can't find what you are looking for? Use our Antibody Concierge Service & we will help you locate your antibody!

    Or feel free to contact us for alternative products.

EIF3M Antibody Summary

Immunogen
Carrier-protein conjugated synthetic peptide encompassing a sequence within the C-terminus region of human PCID1. The exact sequence is proprietary.
Localization
Cytoplasm
Predicted Species
Mouse (100%), Rat (100%), Bovine (100%). Backed by our 100% Guarantee.
Isotype
IgG
Clonality
Polyclonal
Host
Rabbit
Gene
EIF3M
Purity
Antigen Affinity-purified
Innovator's Reward
Test in a species/application not listed above to receive a full credit towards a future purchase.

Applications/Dilutions

Dilutions
  • Immunohistochemistry 1:100-1:1000
  • Immunohistochemistry-Paraffin 1:100-1:1000
  • Western Blot 1:500-1:3000
Theoretical MW
43 kDa.
Disclaimer note: The observed molecular weight of the protein may vary from the listed predicted molecular weight due to post translational modifications, post translation cleavages, relative charges, and other experimental factors.
Publications
Read Publication using NBP1-31045.

Packaging, Storage & Formulations

Storage
Store at 4C short term. Aliquot and store at -20C long term. Avoid freeze-thaw cycles.
Buffer
PBS (pH 7), 10% Glycerol
Preservative
0.01% Thimerosal
Purity
Antigen Affinity-purified

Alternate Names for EIF3M Antibody

  • B5 receptor
  • dendritic cell protein
  • eIF3m
  • eukaryotic translation initiation factor 3 subunit M
  • eukaryotic translation initiation factor 3, subunit M
  • Fetal lung protein B5
  • FLJ29030
  • GA17
  • HFLB5
  • hfl-B5
  • PCI domain containing 1 (herpesvirus entry mediator)
  • PCI domain-containing protein 1
  • PCID1B5

Background

Gene ID(s): 10480 (human)

Limitations

This product is for research use only and is not approved for use in humans or in clinical diagnosis. Primary Antibodies are guaranteed for 1 year from date of receipt.

Customers Who Viewed This Item Also Viewed...

NBP2-25196
Species: Hu, Mu
Applications: CyTOF-ready, Flow, ICC/IF, In vitro, WB
NBP2-38449
Species: Hu
Applications: ICC/IF, IHC,  IHC-P
NBP2-54591
Species: Hu
Applications: CyTOF-ready, Flow, ICC/IF, IHC,  IHC-P, PA
NBP1-88927
Species: Hu, Mu
Applications: ICC/IF, IHC,  IHC-P, WB
H00728695-B01P
Species: Hu
Applications: ICC/IF, IP, WB
NBP3-17255
Species: Hu
Applications: ICC/IF, WB
NBP2-67150
Species: Hu, Mu, Rt
Applications: IHC, IHC-Fr,  IHC-P, IP, WB
NBP1-59069
Species: Hu
Applications: ICC/IF, IHC,  IHC-P, WB
AF6457
Species: Hu
Applications: WB
NBP1-89342
Species: Hu, Mu
Applications: ICC/IF, IHC,  IHC-P, IP, WB
NBP2-45570
Species: Hu, Mu, Rt
Applications: Flow, IHC,  IHC-P, WB
NBP2-45946
Species: Ca, Hu, Pm, Mu, Rt
Applications: ICC/IF, IHC,  IHC-P, WB
NBP2-61871
Species: Hu
Applications: ELISA, Flow, ICC/IF, IHC,  IHC-P, WB
NBP2-93743
Species: Hu, Mu, Rt
Applications: ICC/IF, WB
NBP2-36776
Species: Hu
Applications: ICC/IF, IHC,  IHC-P, KD, WB
M6000B
Species: Mu
Applications: ELISA
MAB140
Species: Hu
Applications: CyTOF-ready, Dual ISH-IHC, ELISA(Cap), ELISA(Det), ELISA(Sta), Flow, IHC, Neut
NBP3-35541
Species: Hu, Mu, Rt
Applications: ELISA, ICC/IF, IHC,  IHC-P, WB
NBP1-31045
Species: Hu, Mu, Rt, Bv
Applications: WB, IHC
⚠ WARNING: This product can expose you to chemicals including mercury, which is known to the State of California to cause reproductive toxicity with developmental effects.  For more information go to www.P65Warnings.ca.gov.

Publications for EIF3M Antibody (NBP1-31045)(1)

We have publications tested in 1 application: WB.


Filter By Application
WB
(1)
All Applications
Filter By Species
All Species

Reviews for EIF3M Antibody (NBP1-31045) (0)

There are no reviews for EIF3M Antibody (NBP1-31045). By submitting a review you will receive an Amazon e-Gift Card or Novus Product Discount.
  • Review with no image -- $10/€7/£6/$10 CAD/¥70 Yuan/¥1110 Yen
  • Review with an image -- $25/€18/£15/$25 CAD/¥150 Yuan/¥2500 Yen

Product General Protocols

Find general support by application which include: protocols, troubleshooting, illustrated assays, videos and webinars.

Video Protocols

WB Video Protocol

FAQs for EIF3M Antibody (NBP1-31045) (0)

There are no specific FAQs related to this product. Read our general customer & technical service FAQs.

Contact Information

Product PDFs

Calculators

Concentration Calculator

The concentration calculator allows you to quickly calculate the volume, mass or concentration of your vial. Simply enter your mass, volume, or concentration values for your reagent and the calculator will determine the rest.

=
÷

Review this Product

Be the first to review our EIF3M Antibody and receive a gift card or discount.

Bioinformatics

Gene Symbol EIF3M