DUSP23 Antibody

Images

 
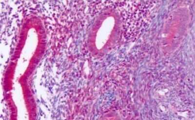
Immunohistochemistry-Paraffin: DUSP23 Antibody [NLS6803] - Anti-DUSP23 antibody IHC of human uterus, endometrium. Immunohistochemistry of formalin-fixed, paraffin-embedded tissue after heat-induced antigen retrieval. ...read more
Immunohistochemistry-Paraffin: DUSP23 Antibody [NLS6803] - Analysis of anti-DUSP23 antibody with human brain, hippocampus.
Immunohistochemistry-Paraffin: DUSP23 Antibody [NLS6803] - Anti-DUSP23 antibody IHC of human Skin, Melanoma. Immunohistochemistry of formalin-fixed, paraffin-embedded tissue after heat-induced antigen retrieval.
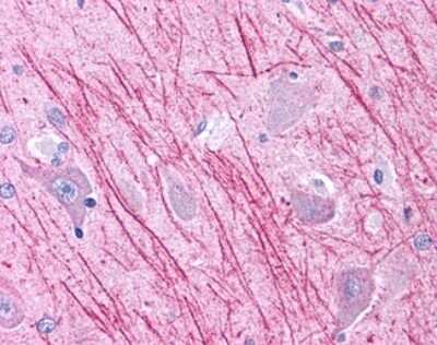
Immunohistochemistry-Paraffin: DUSP23 Antibody [NLS6803] - Anti-DUSP23 antibody IHC of human brain, substantia nigra. Immunohistochemistry of formalin-fixed, paraffin-embedded tissue after heat-induced antigen retrieval.
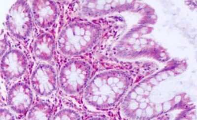
Immunohistochemistry-Paraffin: DUSP23 Antibody [NLS6803] - Anti-DUSP23 antibody IHC of human colon, epithelium. Immunohistochemistry of formalin-fixed, paraffin-embedded tissue after heat-induced antigen retrieval. ...read more

Product Details

Summary
Product Discontinued
View other related DUSP23 Primary Antibodies

Order Details


    • Catalog Number
      NLS6803
    • Availability
      Product Discontinued

    Can't find what you are looking for? Use our Antibody Concierge Service & we will help you locate your antibody!

    Or feel free to contact us for alternative products.

DUSP23 Antibody Summary

Immunogen
Synthetic 18 amino acid peptide from internal region of human DUSP23.
Specificity
Human DUSP23. BLAST analysis of the peptide immunogen showed no homology with other human proteins.
Predicted Species
Equine (94%), Primate (94%), Monkey (100%), Rabbit (94%). Backed by our 100% Guarantee.
Isotype
IgG
Clonality
Polyclonal
Host
Rabbit
Gene
DUSP23
Purity
Immunogen affinity purified
Innovator's Reward
Test in a species/application not listed above to receive a full credit towards a future purchase.

Applications/Dilutions

Dilutions
  • Immunohistochemistry
  • Immunohistochemistry-Paraffin 10-20 ug/ml
Control
DUSP23 Overexpression Lysate

Reactivity Notes

Predicted cross-reactivity based on sequence identity: Gorilla (100%), Gibbon (100%), Marmoset (94%), Bat (89%), Rat (83%), Hamster (83%), Bovine (83%).

Packaging, Storage & Formulations

Storage
Store at 4C short term. Aliquot and store at -20C long term. Avoid freeze-thaw cycles.
Buffer
PBS
Preservative
0.1% Sodium Azide
Concentration
1.0 mg/ml
Purity
Immunogen affinity purified

Alternate Names for DUSP23 Antibody

  • dual specificity phosphatase 23
  • dual specificity protein phosphatase 23
  • DUSP25
  • EC 3.1.3.16
  • EC 3.1.3.48
  • FLJ20442
  • LDP3
  • LDP-3
  • Low molecular mass dual specificity phosphatase 3
  • low-molecular-mass dual-specificity phosphatase 3
  • MOSP
  • RP11-190A12.1
  • VH1-like member Z
  • VH1-like phosphatase Z
  • VHZ

Background

DUSP23 is a dual substrate specificity phosphatase that mediates dephosphorylation of proteins phosphorylated on Tyr and Ser/Thr residues. It is widely expressed and highly conserved. Most of dual-specificity protein phosphatases (DSPs) play an important role in the regulation of mitogenic signal transduction and controlling the cell cycle in response to extracellular stimuli. Reverse transcription-PCR (RT-PCR) revealed that the DUSP23 was expressed in most fetal tissues and two adult tissues: testis and colon.

Limitations

This product is for research use only and is not approved for use in humans or in clinical diagnosis. Primary Antibodies are guaranteed for 1 year from date of receipt.

Customers Who Viewed This Item Also Viewed...

AF2439
Species: Mu
Applications: IHC, WB
AF1230
Species: Hu, Mu, Rt
Applications: IHC, KO, WB
H00010598-M01
Species: Hu, Mu, Rt
Applications: ELISA, ICC/IF, S-ELISA, WB
NBP2-37568
Species: Hu
Applications: ELISA, Flow, ICC/IF, IHC,  IHC-P, WB
NBP2-00764
Species: Hu, Mu, Rt
Applications: Flow, IHC,  IHC-P, WB
NBP1-68874
Species: Hu, Mu, Rt
Applications: PEP-ELISA, WB
AF8691
Species: Hu, Mu, Rt
Applications: IHC, KO, Simple Western, WB
NBP1-81575
Species: Hu, Mu, Rt
Applications: ICC/IF, IHC,  IHC-P, WB
538-MG
Species: Rt
Applications: BA
MAB17761
Species: Hu, Mu, Rt
Applications: ICC, WB
DYC1825-2
Species: Hu, Mu, Rt
Applications: ELISA
NBP1-82470
Species: Hu, Mu
Applications: IHC,  IHC-P, WB
NBP1-47839
Species: Ca, Hu, Mu, Rt
Applications: Flow, ICC/IF, IHC,  IHC-P, IP, WB
MAB1654
Species: Hu, Mu, Rt
Applications: WB
MAB4937
Species: Hu
Applications: CyTOF-ready, ICFlow, WB
NBP1-83078
Species: Hu
Applications: ICC/IF, IHC,  IHC-P, WB
NBP2-57320
Species: Hu
Applications: ICC/IF, IHC,  IHC-P
H00005250-B02P
Species: Hu
Applications: ICC/IF, WB
MAB7475
Species: Hu, Rt
Applications: WB
AF467
Species: Hu, Mu
Applications: CyTOF-ready, Flow, ICC, IHC, Simple Western, WB

Publications for DUSP23 Antibody (NLS6803) (0)

There are no publications for DUSP23 Antibody (NLS6803).
By submitting your publication information earn gift cards and discounts for future purchases.

Reviews for DUSP23 Antibody (NLS6803) (0)

There are no reviews for DUSP23 Antibody (NLS6803). By submitting a review you will receive an Amazon e-Gift Card or Novus Product Discount.
  • Review with no image -- $10/€7/£6/$10 CAD/¥70 Yuan/¥1110 Yen
  • Review with an image -- $25/€18/£15/$25 CAD/¥150 Yuan/¥2500 Yen

Product General Protocols

View specific protocols for DUSP23 Antibody (NLS6803): Find general support by application which include: protocols, troubleshooting, illustrated assays, videos and webinars.

FAQs for DUSP23 Antibody (NLS6803) (0)

There are no specific FAQs related to this product. Read our general customer & technical service FAQs.

Control Lysate(s)

Secondary Antibodies

 

Isotype Controls

Additional DUSP23 Products

Research Areas for DUSP23 Antibody (NLS6803)

Find related products by research area.

Blogs on DUSP23

There are no specific blogs for DUSP23, but you can read our latest blog posts.

Contact Information

Product PDFs

Calculators

Concentration Calculator

The concentration calculator allows you to quickly calculate the volume, mass or concentration of your vial. Simply enter your mass, volume, or concentration values for your reagent and the calculator will determine the rest.

=
÷

Review this Product

Be the first to review our DUSP23 Antibody and receive a gift card or discount.

Bioinformatics

Gene Symbol DUSP23
Entrez