DUS2L Antibody

Images

 
Western Blot: DUS2L Antibody [NBP2-16234] - Sample (30 ug of whole cell lysate) A: A549 7. 5% SDS PAGE gel, diluted at 1:1000.
Immunocytochemistry/ Immunofluorescence: DUS2L Antibody [NBP2-16234] - Analysis of methanol-fixed HeLa, using antibody at 1:500 dilution.
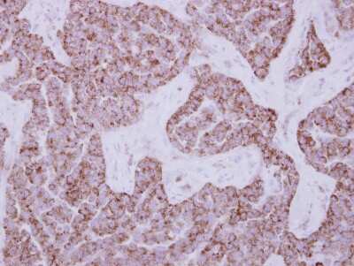
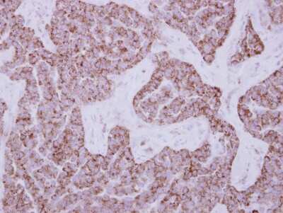
Immunohistochemistry-Paraffin: DUS2L Antibody [NBP2-16234] - Immunohistochemical analysis of paraffin-embedded Lung ca, using antibody at 1:500 dilution.

Product Details

Summary
Reactivity HuSpecies Glossary
Applications WB, ICC/IF, IHC
Clonality
Polyclonal
Host
Rabbit
Conjugate
Unconjugated

Order Details

DUS2L Antibody Summary

Description
Novus Biologicals Rabbit DUS2L Antibody (NBP2-16234) is a polyclonal antibody validated for use in IHC, WB and ICC/IF. All Novus Biologicals antibodies are covered by our 100% guarantee.
Immunogen
Recombinant protein encompassing a sequence within the center region of human DUS2L. The exact sequence is proprietary.
Localization
Cytoplasm; Endoplasmic reticulum
Isotype
IgG
Clonality
Polyclonal
Host
Rabbit
Gene
DUS2
Purity
Antigen Affinity-purified
Innovator's Reward
Test in a species/application not listed above to receive a full credit towards a future purchase.

Applications/Dilutions

Dilutions
  • Immunocytochemistry/ Immunofluorescence 1:100-1:1000
  • Immunohistochemistry 10 - 1:500
  • Immunohistochemistry-Paraffin 1:100-1:1000
  • Western Blot 1:500-1:3000
Theoretical MW
55 kDa.
Disclaimer note: The observed molecular weight of the protein may vary from the listed predicted molecular weight due to post translational modifications, post translation cleavages, relative charges, and other experimental factors.

Packaging, Storage & Formulations

Storage
Aliquot and store at -20C or -80C. Avoid freeze-thaw cycles.
Buffer
PBS, 1% BSA, 20% Glycerol
Preservative
0.01% Thimerosal
Purity
Antigen Affinity-purified

Alternate Names for DUS2L Antibody

  • dihydrouridine synthase 2-like, SMM1 homolog (S. cerevisiae)

Background

Dihydrouridine synthase catalyzes reduction of the 5,6-double bond of a uridine residue on the displacement loop of tRNA. The resultant modified base, 5,6-dihydrouridine, appears to increase the conformational flexibility and dynamic motion of tRNA (Kato et al., 2005 [PubMed 15994936]).[supplied by OMIM]

Limitations

This product is for research use only and is not approved for use in humans or in clinical diagnosis. Primary Antibodies are guaranteed for 1 year from date of receipt.

Customers Who Viewed This Item Also Viewed...

NBP3-17176
Species: Hu
Applications: ICC/IF
NB100-1936
Species: Hu, Mu, Pm, Rt, Xp, Ze
Applications: ELISA, Flow, ICC/IF, IHC,  IHC-P, IP, WB
H00006607-M01
Species: Hu
Applications: ELISA, ICC/IF, IHC,  IHC-P, WB
NBP2-92880
Species: Hu, Mu, Rt
Applications: ICC/IF, IHC,  IHC-P, WB
NBP2-02710
Species: Hu, Rt
Applications: Flow, ICC/IF, IHC,  IHC-P, WB
NB200-540
Species: Ec, Mu
Applications: CyTOF-ready, Flow-IC, Flow, IA, ICC/IF, IHC, IHC-Fr,  IHC-P, IP
NBP2-02433
Species: Hu, Mu, Rt
Applications: ICC/IF, IHC,  IHC-P, WB
NBP2-36751
Species: Hu, Rt
Applications: ICC/IF, IHC,  IHC-P, IP, KD, WB
NBP1-22439
Species: Ha, Hu, Mu, Rb, Rt
Applications: ICC/IF, IHC,  IHC-P, IP, MiAr, WB
NBP2-36776
Species: Hu
Applications: ICC/IF, IHC,  IHC-P, KD, WB
NBP3-47106
Species: Hu, Mu, Rt
Applications: ELISA, ICC/IF, IHC, WB
NBP3-25721
Species: Ca, Fe, Hu, Mu, Rt
Applications: ICC/IF, IHC,  IHC-P, WB
NBP1-88527
Species: Hu, Mu, Rt
Applications: IHC,  IHC-P, WB
NBP1-86139
Species: Hu
Applications: ICC/IF, IHC,  IHC-P
H00005306-M01
Species: Hu, Mu, Rt
Applications: ELISA, S-ELISA, WB
H00026469-B01P
Species: Hu, Mu
Applications: ICC/IF, WB
NBP2-93935
Species: Hu, Mu, Rt
Applications: ICC/IF, WB
NBP2-16234
Species: Hu
Applications: WB, ICC/IF, IHC
⚠ WARNING: This product can expose you to chemicals including mercury, which is known to the State of California to cause reproductive toxicity with developmental effects.  For more information go to www.P65Warnings.ca.gov.

Publications for DUS2L Antibody (NBP2-16234) (0)

There are no publications for DUS2L Antibody (NBP2-16234).
By submitting your publication information earn gift cards and discounts for future purchases.

Reviews for DUS2L Antibody (NBP2-16234) (0)

There are no reviews for DUS2L Antibody (NBP2-16234). By submitting a review you will receive an Amazon e-Gift Card or Novus Product Discount.
  • Review with no image -- $10/€7/£6/$10 CAD/¥70 Yuan/¥1110 Yen
  • Review with an image -- $25/€18/£15/$25 CAD/¥150 Yuan/¥2500 Yen

Product General Protocols

Find general support by application which include: protocols, troubleshooting, illustrated assays, videos and webinars.

Video Protocols

WB Video Protocol
ICC/IF Video Protocol

FAQs for DUS2L Antibody (NBP2-16234) (0)

There are no specific FAQs related to this product. Read our general customer & technical service FAQs.

Customers Who Bought This Also Bought

Contact Information

Product PDFs

Calculators

Concentration Calculator

The concentration calculator allows you to quickly calculate the volume, mass or concentration of your vial. Simply enter your mass, volume, or concentration values for your reagent and the calculator will determine the rest.

=
÷

Review this Product

Be the first to review our DUS2L Antibody and receive a gift card or discount.

Bioinformatics

Gene Symbol DUS2
Uniprot