DUS2L Antibody - BSA Free

Images

 
Immunocytochemistry/ Immunofluorescence: DUS2L Antibody [NBP1-91852] - Immunofluorescent staining of human cell line U-2 OS shows localization to cytosol.
Immunohistochemistry-Paraffin: DUS2L Antibody [NBP1-91852] - Staining of human kidney.
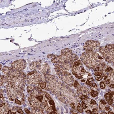
Immunohistochemistry-Paraffin: DUS2L Antibody [NBP1-91852] - Staining of human stomach shows strong cytoplasmic positivity in glandular cells.
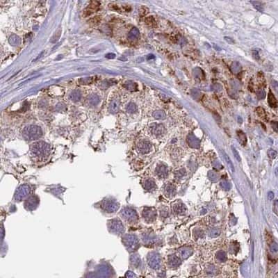
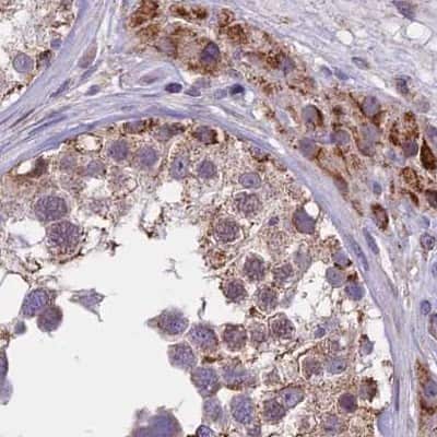
Immunohistochemistry-Paraffin: DUS2L Antibody [NBP1-91852] - Staining of human testis shows distinct staining in Leydig cells.
Independent Antibodies: Immunohistochemistry-Paraffin: DUS2L Antibody [NBP1-91852] - Staining of human cerebral cortex, colon, kidney and testis using Anti-DUS2 antibody NBP1-91852 (A) shows similar protein ...read more
Immunohistochemistry-Paraffin: DUS2L Antibody [NBP1-91852] - Staining of human cerebral cortex.
Immunohistochemistry-Paraffin: DUS2L Antibody [NBP1-91852] - Staining of human testis.
Immunohistochemistry-Paraffin: DUS2L Antibody [NBP1-91852] - Staining of human colon.
Lane 1: Marker [kDa] 250, 130, 95, 72, 55, 36, 28, 17, 10Lane 2: Human cell line RT-4

Product Details

Summary
Reactivity Hu, Mu, RtSpecies Glossary
Applications WB, ICC/IF, IHC
Clonality
Polyclonal
Host
Rabbit
Conjugate
Unconjugated
Format
BSA Free
Validated by:
 

Independent Antibodies

       

Order Details

View Available Formulations
Catalog# & Formulation Size Price

DUS2L Antibody - BSA Free Summary

Description
Novus Biologicals Rabbit DUS2L Antibody - BSA Free (NBP1-91852) is a polyclonal antibody validated for use in IHC, WB and ICC/IF. All Novus Biologicals antibodies are covered by our 100% guarantee.
Immunogen
This antibody was developed against Recombinant Protein corresponding to amino acids: SLCYHNKLILAPMVRVGTLPMRLLALDYGADIVYCEELIDLKMIQCKRVVNEVLSTVDFVAPDDRVVFRTCEREQNRVVFQMGT
Predicted Species
Mouse (98%), Rat (96%). Backed by our 100% Guarantee.
Isotype
IgG
Clonality
Polyclonal
Host
Rabbit
Gene
DUS2
Purity
Affinity purified
Innovator's Reward
Test in a species/application not listed above to receive a full credit towards a future purchase.

Applications/Dilutions

Dilutions
  • Immunocytochemistry/ Immunofluorescence 0.25-2 ug/ml
  • Immunohistochemistry 1:50 - 1:200
  • Immunohistochemistry-Paraffin 1:50 - 1:200
  • Western Blot 0.04-0.4 ug/ml
Application Notes
For IHC-Paraffin, HIER pH 6 retrieval is recommended. Immunocytochemistry/Immunofluorescence Fixation Permeabilization: Use PFA/Triton X-100.
Control Peptide
DUS2L Protein (NBP1-91852PEP)

Packaging, Storage & Formulations

Storage
Store at 4C short term. Aliquot and store at -20C long term. Avoid freeze-thaw cycles.
Buffer
PBS (pH 7.2) and 40% Glycerol
Preservative
0.02% Sodium Azide
Purity
Affinity purified

Alternate Names for DUS2L Antibody - BSA Free

  • dihydrouridine synthase 2-like, SMM1 homolog (S. cerevisiae)

Background

Dihydrouridine synthase catalyzes reduction of the 5,6-double bond of a uridine residue on the displacement loop oftRNA. The resultant modified base, 5,6-dihydrouridine, appears to increase the conformational flexibility and dynamicmotion of tRNA (Kato et al., 2005 (PubMed 15994936)).(supplied by OMIM)

Limitations

This product is for research use only and is not approved for use in humans or in clinical diagnosis. Primary Antibodies are guaranteed for 1 year from date of receipt.

Customers Who Viewed This Item Also Viewed...

NBP3-17176
Species: Hu
Applications: ICC/IF
NB100-1936
Species: Hu, Mu, Pm, Rt, Xp, Ze
Applications: ELISA, Flow, ICC/IF, IHC,  IHC-P, IP, WB
H00006607-M01
Species: Hu
Applications: ELISA, ICC/IF, IHC,  IHC-P, WB
NBP2-92880
Species: Hu, Mu, Rt
Applications: ICC/IF, IHC,  IHC-P, WB
NBP2-02710
Species: Hu, Rt
Applications: Flow, ICC/IF, IHC,  IHC-P, WB
NB200-540
Species: Ec, Mu
Applications: CyTOF-ready, Flow-IC, Flow, IA, ICC/IF, IHC, IHC-Fr,  IHC-P, IP
NBP2-02433
Species: Hu, Mu, Rt
Applications: ICC/IF, IHC,  IHC-P, WB
NBP2-36751
Species: Hu, Rt
Applications: ICC/IF, IHC,  IHC-P, IP, KD, WB
NBP1-22439
Species: Ha, Hu, Mu, Rb, Rt
Applications: ICC/IF, IHC,  IHC-P, IP, MiAr, WB
NBP2-36776
Species: Hu
Applications: ICC/IF, IHC,  IHC-P, KD, WB
NBP3-47106
Species: Hu, Mu, Rt
Applications: ELISA, ICC/IF, IHC, WB
NBP3-25721
Species: Ca, Fe, Hu, Mu, Rt
Applications: ICC/IF, IHC,  IHC-P, WB
NBP1-88527
Species: Hu, Mu, Rt
Applications: IHC,  IHC-P, WB
NBP1-86139
Species: Hu
Applications: ICC/IF, IHC,  IHC-P
H00005306-M01
Species: Hu, Mu, Rt
Applications: ELISA, S-ELISA, WB
H00026469-B01P
Species: Hu, Mu
Applications: ICC/IF, WB
NBP2-93935
Species: Hu, Mu, Rt
Applications: ICC/IF, WB
NBP1-91852
Species: Hu, Mu, Rt
Applications: WB, ICC/IF, IHC

Publications for DUS2L Antibody (NBP1-91852) (0)

There are no publications for DUS2L Antibody (NBP1-91852).
By submitting your publication information earn gift cards and discounts for future purchases.

Reviews for DUS2L Antibody (NBP1-91852) (0)

There are no reviews for DUS2L Antibody (NBP1-91852). By submitting a review you will receive an Amazon e-Gift Card or Novus Product Discount.
  • Review with no image -- $10/€7/£6/$10 CAD/¥70 Yuan/¥1110 Yen
  • Review with an image -- $25/€18/£15/$25 CAD/¥150 Yuan/¥2500 Yen

Product General Protocols

Find general support by application which include: protocols, troubleshooting, illustrated assays, videos and webinars.

Video Protocols

WB Video Protocol
ICC/IF Video Protocol

FAQs for DUS2L Antibody (NBP1-91852) (0)

There are no specific FAQs related to this product. Read our general customer & technical service FAQs.

Customers Who Bought This Also Bought

Contact Information

Product PDFs

Calculators

Concentration Calculator

The concentration calculator allows you to quickly calculate the volume, mass or concentration of your vial. Simply enter your mass, volume, or concentration values for your reagent and the calculator will determine the rest.

=
÷

Review this Product

Be the first to review our DUS2L Antibody - BSA Free and receive a gift card or discount.

Bioinformatics

Gene Symbol DUS2