Dopamine D3R/DRD3 Antibody - BSA Free

Images

 
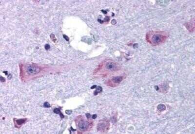
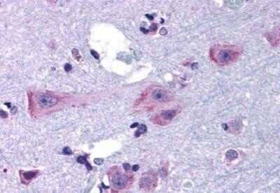
Immunohistochemistry-Paraffin: Dopamine D3R/DRD3 Antibody [NBP1-02398] - Staining of human brain, cortex tissue after heat-induced antigen retrieval. Antibody concentration 20 ug/ml.

Product Details

Summary
Product Discontinued
View other related Dopamine D3R/DRD3 Primary Antibodies

Order Details


    • Catalog Number
      NBP1-02398
    • Availability
      Product Discontinued

    Can't find what you are looking for? Use our Antibody Concierge Service & we will help you locate your antibody!

    Or feel free to contact us for alternative products.

Dopamine D3R/DRD3 Antibody - BSA Free Summary

Immunogen
Synthetic 16 amino acid peptide from 3rd cytoplasmic domain of human Dopamine D3R/DRD3.
Epitope
3rd cytoplasmic domain
Specificity
Human Dopamine D3R/DRD3. BLAST analysis of the peptide immunogen showed no homology with other human proteins.
Predicted Species
Mouse (94%), Bovine (94%), Rabbit (94%), Canine (94%), Hamster (94%), Bat (94%), Equine (94%). Backed by our 100% Guarantee.
Isotype
IgG
Clonality
Polyclonal
Host
Rabbit
Gene
DRD3
Purity
Immunogen affinity purified
Innovator's Reward
Test in a species/application not listed above to receive a full credit towards a future purchase.

Applications/Dilutions

Dilutions
  • ELISA
  • Immunohistochemistry
  • Immunohistochemistry-Paraffin 20 ug/ml

Reactivity Notes

Predicted cross-reactivity based on sequence identity: Chimpanzee (100%), Gorilla (100%), Marmoset (100%), Gibbon (94%), Elephant (94%), Panda (94%), Rat (88%), Porcine (88%), Opossum (88%).

Packaging, Storage & Formulations

Storage
Store at 4C short term. Aliquot and store at -20C long term. Avoid freeze-thaw cycles.
Buffer
PBS
Preservative
0.1% Sodium Azide
Concentration
1.0 mg/ml
Purity
Immunogen affinity purified

Alternate Names for Dopamine D3R/DRD3 Antibody - BSA Free

  • D(3) dopamine receptor
  • D3DR
  • Dopamine D3 R
  • Dopamine D3 receptor
  • Dopamine D3R
  • dopamine receptor D3
  • DRD3
  • essential tremor 1
  • ETM1
  • FET1
  • MGC149204
  • MGC149205

Background

The DRD3 Dopamine Receptor is expressed in brain regions associated with cognitive, emotional, and endocrine functions. DRD3 mediates the effects of drugs used in the treatment of schizophrenia and Parkinson's disease. DRD3 also binds BP897, a potent inhibitor of drug-craving and cocaine-seeking behaviors. Mutations in DRD3 lead to sodium retention in the kidney, resulting in hypertension and increased locomotor activity in mice. Multiple isoforms of DRD3 are produced by alternative splicing.

Limitations

This product is for research use only and is not approved for use in humans or in clinical diagnosis. Primary Antibodies are guaranteed for 1 year from date of receipt.

Customers Who Viewed This Item Also Viewed...

NBP1-00178
Species: Hu, Mu, Sh
Applications: Flow, ICC/IF, IHC, IHC-Fr, PEP-ELISA, WB
NBP3-25443
Species: Hu, Mu, Rt
Applications: Func, ICC/IF, IHC,  IHC-P, WB
NBP1-05767
Species: Ha, Hu, Mu, Rb, Rt
Applications: Flow, ICC/IF, IHC, IHC-Fr,  IHC-P, WB
NBP3-48739
Species: Hu
Applications: ICC/IF, IHC,  IHC-P, WB
NBP1-89396
Species: Hu
Applications: ICC/IF, IHC,  IHC-P, WB
NBP1-88927
Species: Hu, Mu
Applications: ICC/IF, IHC,  IHC-P, WB
NBP2-22164
Species: Hu(-), Mu, Rt
Applications: ELISA, ICC/IF, IHC,  IHC-P, IP, WB
NB100-56725
Species: Hu, Mu
Applications: Flow-IC, Flow, IHC,  IHC-P, IP, WB
NB100-1780
Species: Hu, Mu
Applications: Flow, PEP-ELISA, WB
DBD00
Species: Hu
Applications: ELISA
NBP2-16213
Species: Hu, Mu, Rt
Applications: ICC/IF, IHC, IHC-Fr,  IHC-P, WB
NB300-109
Species: Ch, Dr, Hu, I, Ma, Mu, Rt
Applications: Dual ISH-IHC, ICC/IF, IHC-FrFl, IHC-WhMt, IHC, IHC-Fr,  IHC-P, KO, Simple Western, WB
H00006532-D01P
Species: Hu, Mu
Applications: WB
MAB8286
Species: Hu
Applications: IHC
NBP2-26091
Species: Hu
Applications: Flow, ICC/IF, IHC,  IHC-P, PEP-ELISA
NBP2-50037
Species: Hu, Mu, Rt
Applications: ICC/IF, IHC, KO, WB
NBP1-87757
Species: Hu, Mu, Rt
Applications: ICC/IF, IHC,  IHC-P, IP, KD, WB
NBP1-02398
Species: Hu, Pm, Mu, Bt, Bv, Ca, Eq, Ha, Rb
Applications: ELISA, IHC

Publications for Dopamine D3R/DRD3 Antibody (NBP1-02398) (0)

There are no publications for Dopamine D3R/DRD3 Antibody (NBP1-02398).
By submitting your publication information earn gift cards and discounts for future purchases.

Reviews for Dopamine D3R/DRD3 Antibody (NBP1-02398) (0)

There are no reviews for Dopamine D3R/DRD3 Antibody (NBP1-02398). By submitting a review you will receive an Amazon e-Gift Card or Novus Product Discount.
  • Review with no image -- $10/€7/£6/$10 CAD/¥70 Yuan/¥1110 Yen
  • Review with an image -- $25/€18/£15/$25 CAD/¥150 Yuan/¥2500 Yen

Product General Protocols

Find general support by application which include: protocols, troubleshooting, illustrated assays, videos and webinars.

FAQs for Dopamine D3R/DRD3 Antibody (NBP1-02398) (0)

There are no specific FAQs related to this product. Read our general customer & technical service FAQs.

Secondary Antibodies

 

Isotype Controls

Additional Dopamine D3R/DRD3 Products

Research Areas for Dopamine D3R/DRD3 Antibody (NBP1-02398)

Find related products by research area.

Blogs on Dopamine D3R/DRD3

There are no specific blogs for Dopamine D3R/DRD3, but you can read our latest blog posts.

Contact Information

Product PDFs

Calculators

Concentration Calculator

The concentration calculator allows you to quickly calculate the volume, mass or concentration of your vial. Simply enter your mass, volume, or concentration values for your reagent and the calculator will determine the rest.

=
÷

Review this Product

Be the first to review our Dopamine D3R/DRD3 Antibody - BSA Free and receive a gift card or discount.

Bioinformatics

Gene Symbol DRD3
Entrez
Uniprot