DNA Polymerase Kappa Antibody

Images

 
Western Blot: DNA Polymerase Kappa Antibody [NBP2-55247] - Western blot analysis in human cell line RT-4, human cell line U-251 MG and human plasma.
Immunocytochemistry/ Immunofluorescence: DNA Polymerase Kappa Antibody [NBP2-55247] - Staining of human cell line RH-30 shows localization to nucleoplasm. Antibody staining is shown in green.
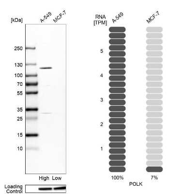
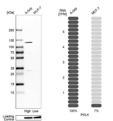
Orthogonal Strategies: Western Blot: DNA Polymerase Kappa Antibody [NBP2-55247] - Analysis in human cell lines A-549 and MCF-7. Corresponding RNA-seq data are presented for the same cell lines. Loading control: ...read more

Product Details

Summary
Product Discontinued
View other related DNA Polymerase Kappa Primary Antibodies
Validated by:
       

Orthogonal Strategies

 

Order Details


    • Catalog Number
      NBP2-55247
    • Availability
      Product Discontinued

    Can't find what you are looking for? Use our Antibody Concierge Service & we will help you locate your antibody!

    Or feel free to contact us for alternative products.

DNA Polymerase Kappa Antibody Summary

Immunogen
This antibody was developed against a recombinant protein corresponding to the following amino acid sequence: AMPGFIAKRLCPQLIIVPPNFDKYRAVSKEVKEILADYDPNFMAMSLDEAYLNITKHLEERQNWPEDKRRYFIKMGSSVENDNPGKEVNKLSEHERSISPLLFEESPSDVQPPGDPFQVNFEEQNNPQILQNS
Isotype
IgG
Clonality
Polyclonal
Host
Rabbit
Gene
POLK
Purity
Affinity purified
Innovator's Reward
Test in a species/application not listed above to receive a full credit towards a future purchase.

Applications/Dilutions

Dilutions
  • Immunocytochemistry/ Immunofluorescence 0.25-2 ug/ml
  • Western Blot 0.04-0.4 ug/ml
Application Notes
ICC/IF Fixation Permeabilization: Use PFA/Triton X-100.

Reactivity Notes

Mouse 82%, Rat 80%

Packaging, Storage & Formulations

Storage
Store at 4C short term. Aliquot and store at -20C long term. Avoid freeze-thaw cycles.
Buffer
PBS (pH 7.2) and 40% Glycerol
Preservative
0.02% Sodium Azide
Purity
Affinity purified

Alternate Names for DNA Polymerase Kappa Antibody

  • DINB protein
  • DINPPOLQDINB1EC 2.7.7.7
  • DNA polymerase kappa
  • polymerase (DNA directed) kappa

Background

DNA polymerase specifically involved in DNA repair. Plays an important role in translesion synthesis, where the normal high-fidelity DNA polymerases cannot proceed and DNA synthesis stalls. Depending on the context, it inserts the correct base, but causes frequent base transitions, transversions and frameshifts. Lacks 3'-5' proofreading exonuclease activity. Forms a Schiff base with 5'-deoxyribose phosphate at abasic sites, but does not have lyase activity

Limitations

This product is for research use only and is not approved for use in humans or in clinical diagnosis. Primary Antibodies are guaranteed for 1 year from date of receipt.

Customers Who Viewed This Item Also Viewed...

NB100-565
Species: Hu, Mu, Rt
Applications: ICC/IF, IHC,  IHC-P, IP, KO, WB
NB100-60424
Species: Hu
Applications: IP, WB
NB500-106
Species: Ch, Dr, Fi, Hu, Mar, Mu, Po, Pm, Rb, Rt, Ye, Ze
Applications: ChIP, ChIP, ELISA, Flow, ICC/IF, IHC-FrFl, IHC, IHC-Fr,  IHC-P, IP, Simple Western, WB
NBP2-46005
Species: Hu, Mu, Rt
Applications: ICC/IF, IHC,  IHC-P, IP, PLA, WB
NBP2-83997
Species: Hu
Applications: IHC,  IHC-P, WB
NBP1-88027
Species: Eq, Hu, Mu, Rt
Applications: IHC,  IHC-P, Simple Western, WB
NBP3-42115
Species: Hu
Applications: WB
NBP2-38600
Species: Hu
Applications: ICC/IF, IHC,  IHC-P, WB
H00007536-M01
Species: Hu, Mu
Applications: ELISA, ICC/IF, IHC,  IHC-P, IP, WB
NBP2-13436
Species: Hu
Applications: ICC/IF, IHC,  IHC-P
NBP1-90324
Species: Hu
Applications: ICC/IF, IHC,  IHC-P
NBP3-47095
Species: Hu, Mu, Rt
Applications: ELISA, IHC, IP, WB
H00005980-Q01
Species: Hu
Applications: ELISA, AP, PA, WB
NB100-128
Species: Hu, Mu, Rt
Applications: ChIP, GS, ICC/IF, IHC,  IHC-P, WB
NBP3-16451
Species: Hu, Mu, Rt
Applications: ELISA, ICC/IF, IHC,  IHC-P, WB
NB100-56603
Species: Ca, Hu, Mu, Pm, Rt
Applications: IHC,  IHC-P, WB
NB200-103
Species: Hu, Mu, Rt, Xp(-), Ye
Applications: CyTOF-ready, ELISA, Flow-IC, Flow, ICC/IF, IHC, IHC-Fr,  IHC-P, IP, WB
NBP2-57664
Species: Hu
Applications: ICC/IF, WB

Publications for DNA Polymerase Kappa Antibody (NBP2-55247) (0)

There are no publications for DNA Polymerase Kappa Antibody (NBP2-55247).
By submitting your publication information earn gift cards and discounts for future purchases.

Reviews for DNA Polymerase Kappa Antibody (NBP2-55247) (0)

There are no reviews for DNA Polymerase Kappa Antibody (NBP2-55247). By submitting a review you will receive an Amazon e-Gift Card or Novus Product Discount.
  • Review with no image -- $10/€7/£6/$10 CAD/¥70 Yuan/¥1110 Yen
  • Review with an image -- $25/€18/£15/$25 CAD/¥150 Yuan/¥2500 Yen

Product General Protocols

Find general support by application which include: protocols, troubleshooting, illustrated assays, videos and webinars.

Video Protocols

WB Video Protocol
ICC/IF Video Protocol

FAQs for DNA Polymerase Kappa Antibody (NBP2-55247) (0)

There are no specific FAQs related to this product. Read our general customer & technical service FAQs.

Contact Information

Product PDFs

Calculators

Concentration Calculator

The concentration calculator allows you to quickly calculate the volume, mass or concentration of your vial. Simply enter your mass, volume, or concentration values for your reagent and the calculator will determine the rest.

=
÷

Review this Product

Be the first to review our DNA Polymerase Kappa Antibody and receive a gift card or discount.

Bioinformatics

Gene Symbol POLK