DKC1 Antibody (JU34-32)

Images

 
Western Blot: DKC1 Antibody (JU34-32) [NBP2-75472] - Analysis of DKC1 on A431 cell lysates with Rabbit anti-DKC1 antibody at 1/500 dilution. Lysates/proteins at 10 ug/Lane. Predicted band size: 58 kDa Observed band ...read more
Immunocytochemistry/ Immunofluorescence: DKC1 Antibody (JU34-32) [NBP2-75472] - Staining DKC1 in A431 cells (green). The nuclear counter stain is DAPI (blue). Cells were fixed in paraformaldehyde, permeabilised with ...read more
Immunohistochemistry-Paraffin: DKC1 Antibody (JU34-32) [NBP2-75472] - Analysis of paraffin-embedded mouse brain tissue with Rabbit anti-DKC1 antibody washed with ddH2O and PBS, and then probed with the primary antibody ...read more
Western Blot: DKC1 Antibody (JU34-32) [NBP2-75472] - Analysis of DKC1 on A431 cell lysate using anti-DKC1 antibody at 1/500 dilution.
Immunohistochemistry-Paraffin: DKC1 Antibody (JU34-32) [NBP2-75472] - Analysis of paraffin-embedded human kidney tissue using anti-DKC1 antibody. Counter stained with hematoxylin.
Immunohistochemistry-Paraffin: DKC1 Antibody (JU34-32) [NBP2-75472] - Analysis of paraffin-embedded mouse testis tissue using anti-DKC1 antibody. Counter stained with hematoxylin.
Immunohistochemistry-Paraffin: DKC1 Antibody (JU34-32) [NBP2-75472] - Analysis of paraffin-embedded rat brain tissue using anti-DKC1 antibody. Counter stained with
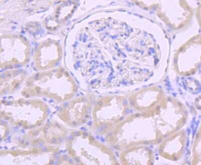
Immunohistochemistry-Paraffin: DKC1 Antibody (JU34-32) [NBP2-75472] - Analysis of paraffin-embedded mouse kidney tissue using DKC1 antibody. Image from verified customer review.
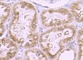
Immunohistochemistry-Paraffin: DKC1 Antibody (JU34-32) [NBP2-75472] - Analysis of paraffin-embedded human kidney tissue with Rabbit anti-DKC1 antibody washed with ddH2O and PBS, and then probed with the primary antibody ...read more
Immunohistochemistry-Paraffin: DKC1 Antibody (JU34-32) [NBP2-75472] - Analysis of paraffin-embedded mouse testis tissue with Rabbit anti-DKC1 antibody washed with ddH2O and PBS, and then probed with the primary antibody ...read more
Immunohistochemistry-Paraffin: DKC1 Antibody (JU34-32) [NBP2-75472] - Analysis of paraffin-embedded rat brain tissue with Rabbit anti-DKC1 antibody washed with ddH2O and PBS, and then probed with the primary antibody ...read more
Immunohistochemistry-Paraffin: DKC1 Antibody (JU34-32) [NBP2-75472] - Analysis of paraffin-embedded mouse hippocampus tissue with Rabbit anti-DKC1 antibody washed with ddH2O and PBS, and then probed with the primary ...read more

Product Details

Summary
Product Discontinued
View other related DKC1 Primary Antibodies

Order Details


    • Catalog Number
      NBP2-75472
    • Availability
      Product Discontinued

    Can't find what you are looking for? Use our Antibody Concierge Service & we will help you locate your antibody!

    Or feel free to contact us for alternative products.

DKC1 Antibody (JU34-32) Summary

Additional Information
Recombinant Monoclonal Antibody.
Immunogen
Synthetic peptide within Human DKC1 aa 353-402 / 514. (SwissProt: O60832 Human; SwissProt: Q9ESX5 Mouse; SwissProt: P40615 Rat)
Localization
Cytoplasm. Nucleus.
Isotype
IgG
Clonality
Monoclonal
Host
Rabbit
Gene
DKC1
Purity
Protein A purified
Innovator's Reward
Test in a species/application not listed above to receive a full credit towards a future purchase.

Applications/Dilutions

Dilutions
  • Immunocytochemistry/ Immunofluorescence 1:50-1:200
  • Immunohistochemistry
  • Immunohistochemistry-Paraffin 1:100-1:400
  • Western Blot 1:500-1:1000
Theoretical MW
57 kDa.
Disclaimer note: The observed molecular weight of the protein may vary from the listed predicted molecular weight due to post translational modifications, post translation cleavages, relative charges, and other experimental factors.
Reviewed Applications
Read 1 Review rated 5
using
NBP2-75472 in the following applications:

Packaging, Storage & Formulations

Storage
Store at 4C short term. Aliquot and store at -20C long term. Avoid freeze-thaw cycles.
Buffer
TBS (pH7.4), 0.05% BSA, 40% Glycerol
Preservative
0.05% Sodium Azide
Concentration
1 mg/ml
Purity
Protein A purified

Alternate Names for DKC1 Antibody (JU34-32)

  • CBF5 homolog
  • CBF5
  • cbf5p homolog
  • DKC
  • dyskeratosis congenita 1, dyskerin
  • Dyskerin
  • EC 5.4.99
  • EC 5.4.99.-
  • FLJ97620
  • H/ACA ribonucleoprotein complex subunit 4
  • NAP57
  • NOLA4dyskerin
  • Nopp140-associated protein of 57 kDa
  • Nucleolar protein family A member 4
  • Nucleolar protein NAP57
  • snoRNP protein DKC1
  • XAP101

Background

DKC1 is a member of the H/ACA snoRNPs (small nucleolar ribonucleoproteins) gene family. snoRNPs are involved in various aspects of rRNA processing and modification and have been classified into two families: C/D and H/ACA. The H/ACA snoRNPs also include the NOLA1, 2 and 3 proteins. The protein encoded by this gene and the three NOLA proteins localize to the dense fibrillar components of nucleoli and to coiled (Cajal) bodies in the nucleus. Both 18S rRNA production and rRNA pseudouridylation are impaired if any one of the four proteins is depleted. These four H/ACA snoRNP proteins are also components of the telomerase complex. The protein encoded by this gene is related to the Saccharomyces cerevisiae Cbf5p and Drosophila melanogaster Nop60B proteins. The gene lies in a tail-to-tail orientation with the palmitoylated erythrocyte membrane protein gene and is transcribed in a telomere to centromere direction. Both nucleotide substitutions and single trinucleotide repeat polymorphisms have been found in this gene. Mutations in this gene cause X-linked dyskeratosis congenita, a disease resulting in reticulate skin pigmentation, mucosal leukoplakia, nail dystrophy, and progressive bone marrow failure in most cases. Mutations in this gene also cause Hoyeraal-Hreidarsson syndrome, which is a more severe form of dyskeratosis congenita. Two transcript variants encoding different isoforms have been found for this gene. [provided by RefSeq]

Limitations

This product is for research use only and is not approved for use in humans or in clinical diagnosis. Primary Antibodies are guaranteed for 1 year from date of receipt.

Customers Who Viewed This Item Also Viewed...

NB100-317
Species: Hu, Mu, Rt
Applications: ChIP, ChIP, Flow, ICC/IF, IHC,  IHC-P, IP, WB
NBP2-32441
Species: Hu
Applications: ICC/IF, IHC,  IHC-P, WB
NBP2-13656
Species: Hu, Mu
Applications: IHC,  IHC-P, WB
NBP2-31742
Species: Hu
Applications: ICC/IF, IHC,  IHC-P, Simple Western, WB
NBP3-12461
Species: Hu, Rt
Applications: ELISA, IP, WB
NBP2-57100
Species: Hu
Applications: ICC/IF
NBP2-55709
Species: Hu
Applications: ICC/IF, WB
NBP3-38210
Species: Hu, Mu, Rt
Applications: ELISA, ICC/IF, IHC,  IHC-P, WB
NBP1-72042
Species: Hu, Mu, Rt
Applications: ICC/IF, IHC,  IHC-P, PEP-ELISA, WB
NBP1-89306
Species: Hu, Mu, Rt
Applications: IHC,  IHC-P, KD, WB
NBP2-81793
Species: Hu
Applications: ELISA, ICC/IF, WB
NB100-68252
Species: Hu
Applications: ChIP, ICC/IF, IHC,  IHC-P, IP, KO, WB
H00004354-M01
Species: Hu
Applications: ELISA, ICC/IF, IP, S-ELISA, WB
NBP1-81680
Species: Hu, Mu, Rt
Applications: ICC/IF, IHC,  IHC-P, WB
NBP1-77306
Species: Hu, Mu, Rt
Applications: ELISA, ICC/IF, IHC,  IHC-P, WB
NBP1-83837
Species: Hu
Applications: ICC/IF, IHC,  IHC-P, WB
NB200-103
Species: Hu, Mu, Rt, Xp(-), Ye
Applications: CyTOF-ready, ELISA, Flow-IC, Flow, ICC/IF, IHC, IHC-Fr,  IHC-P, IP, WB
NBP2-75472
Species: Hu, Mu, Rt
Applications: WB, ICC/IF, IHC

Publications for DKC1 Antibody (NBP2-75472) (0)

There are no publications for DKC1 Antibody (NBP2-75472).
By submitting your publication information earn gift cards and discounts for future purchases.

Review for DKC1 Antibody (NBP2-75472) (1) 51

Average Rating: 5
(Based on 1 review)
We have 1 review tested in 1 species: Mouse.

Reviews using NBP2-75472:
Filter by Applications
 IHC-P
(1)
All Applications
Filter by Species
Mouse
(1)
All Species
Images Ratings Applications Species Date Details
Immunohistochemistry-Paraffin DKC1 NBP2-75472
Enlarge
5
reviewed by:
Verified Customer
 IHC-P Mouse 03/05/2022
View

Summary

ApplicationImmunohistochemistry-Paraffin
Sample TestedKidney tissue
SpeciesMouse
LotJU34-32

Product General Protocols

Find general support by application which include: protocols, troubleshooting, illustrated assays, videos and webinars.

Video Protocols

WB Video Protocol
ICC/IF Video Protocol

FAQs for DKC1 Antibody (NBP2-75472) (0)

There are no specific FAQs related to this product. Read our general customer & technical service FAQs.

Contact Information

Product PDFs

Calculators

Concentration Calculator

The concentration calculator allows you to quickly calculate the volume, mass or concentration of your vial. Simply enter your mass, volume, or concentration values for your reagent and the calculator will determine the rest.

=
÷

Recent Reviews

5
5
1
4
0
3
0
2
0
1
0

Verified Customer
03/05/2022
Application:  IHC-P
Species: Mouse

Bioinformatics

Gene Symbol DKC1