DHCR7 Antibody

Images

 
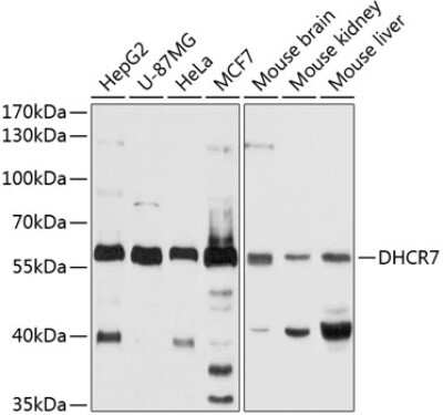
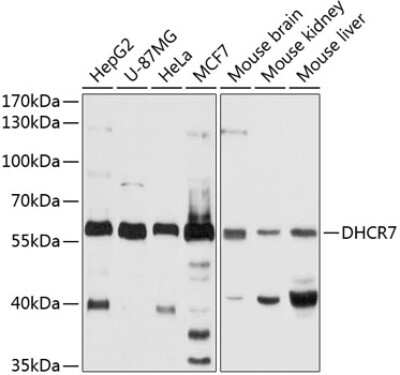
Western Blot: DHCR7 Antibody [NBP3-04053] - Analysis of extracts of various cell lines, using DHCR7 antibody at 1:1000 dilution. Secondary antibody: HRP Goat Anti-Rabbit IgG (H+L) at 1:10000 dilution. Lysates/proteins: ...read more

Product Details

Summary
Product Discontinued
View other related DHCR7 Primary Antibodies

Order Details


    • Catalog Number
      NBP3-04053
    • Availability
      Product Discontinued

    Can't find what you are looking for? Use our Antibody Concierge Service & we will help you locate your antibody!

    Or feel free to contact us for alternative products.

DHCR7 Antibody Summary

Immunogen
A synthetic peptide of human DHCR7
Isotype
IgG
Clonality
Polyclonal
Host
Rabbit
Gene
DHCR7
Purity
Affinity purified
Innovator's Reward
Test in a species/application not listed above to receive a full credit towards a future purchase.

Applications/Dilutions

Dilutions
  • Immunocytochemistry/ Immunofluorescence
  • Immunohistochemistry
  • Immunohistochemistry-Paraffin
  • Western Blot

Packaging, Storage & Formulations

Storage
Store at 4C. Do not freeze.
Buffer
PBS with 50% glycerol, pH7.3.
Preservative
0.02% Sodium Azide
Purity
Affinity purified

Alternate Names for DHCR7 Antibody

  • 7-dehydrocholesterol reductase
  • 7-DHC reductase
  • D7SR
  • delta-7-dehydrocholesterol reductase
  • EC 1.3.1
  • EC 1.3.1.21
  • Putative sterol reductase SR-2
  • SLOS
  • Smith-Lemli-Opitz syndrome
  • Sterol Delta(7)-reductase
  • sterol delta-7-reductase

Background

The DHCR7 gene encodes delta-7-sterol reductase (EC 1.3.1.21), the penultimate enzyme of mammalian sterol biosynthesis that converts 7-dehydrocholesterol (7-DHC) to cholesterol. This enzyme removes the C(7-8) double bond introduced by the sterol delta8-delta7 isomerases. In addition, its role in drug-induced malformations is known: inhibitors of the last step of cholesterol biosynthesis such as AY9944 and BM15766 severely impair brain development (Moebius et al., 1998 [PubMed 9465114]).[supplied by OMIM]

Limitations

This product is for research use only and is not approved for use in humans or in clinical diagnosis. Primary Antibodies are guaranteed for 1 year from date of receipt.

Customers Who Viewed This Item Also Viewed...

NBP2-61616
Species: Hu
Applications: IHC,  IHC-P, KD, WB
NBP1-32883
Species: Hu, Mu, Rt
Applications: ICC/IF, IHC,  IHC-P
NB110-60531
Species: Hu, Mu, Rt(-)
Applications: CyTOF-ready, ELISA, Flow-IC, Flow, ICC/IF, IHC,  IHC-P, IP, WB
AF2255
Species: Mu
Applications: Block, CyTOF-ready, Flow, IHC, WB
NBP2-55973
Species: Hu
Applications: ICC/IF, WB
NBP1-81838
Species: Hu
Applications: IHC,  IHC-P, WB
NBP2-59947
Species: Hu, Mu
Applications: ICC/IF, IHC, IHC-Fr,  IHC-P, WB
NBP2-01170
Species: Hu, Pm, Mu, Pm, Rt
Applications: ICC/IF, IHC,  IHC-P, WB
NB100-1533
Species: Hu, Mu, Po, Rt, Sh
Applications: Flow, ICC/IF, IHC,  IHC-P, PEP-ELISA, WB
NBP2-32433
Species: Hu
Applications: ICC/IF, IHC,  IHC-P, WB
NBP1-85495
Species: Hu
Applications: ICC/IF, IHC,  IHC-P, WB
NBP1-85699
Species: Hu
Applications: ICC/IF, IHC,  IHC-P
NBP3-04509
Species: Hu, Mu, Rt
Applications: ELISA, IHC,  IHC-P, WB
NB400-114
Species: Ch, Fe, Ha, Hu, Mu, Pl, Po, Pm, Rt
Applications: ICC/IF, IHC,  IHC-P, IP, KD, WB
NLS2666
Species: Bt, Bv, Ca, Eq, Ha, Hu, Pm, Mu, Po, Rb, Rt
Applications: ICC/IF, IHC,  IHC-P
NBP1-83250
Species: Hu
Applications: IHC,  IHC-P, WB
H00002523-P01
Species: Hu
Applications: ELISA, AP, PA, WB
NBP3-48775
Species: Hu, Mu, Rt
Applications: ICC/IF, WB
NBP3-04053
Species: Hu, Mu
Applications: WB, ICC/IF, IHC

Publications for DHCR7 Antibody (NBP3-04053) (0)

There are no publications for DHCR7 Antibody (NBP3-04053).
By submitting your publication information earn gift cards and discounts for future purchases.

Reviews for DHCR7 Antibody (NBP3-04053) (0)

There are no reviews for DHCR7 Antibody (NBP3-04053). By submitting a review you will receive an Amazon e-Gift Card or Novus Product Discount.
  • Review with no image -- $10/€7/£6/$10 CAD/¥70 Yuan/¥1110 Yen
  • Review with an image -- $25/€18/£15/$25 CAD/¥150 Yuan/¥2500 Yen

Product General Protocols

Find general support by application which include: protocols, troubleshooting, illustrated assays, videos and webinars.

Video Protocols

WB Video Protocol
ICC/IF Video Protocol

FAQs for DHCR7 Antibody (NBP3-04053) (0)

There are no specific FAQs related to this product. Read our general customer & technical service FAQs.

Secondary Antibodies

 

Isotype Controls

Additional DHCR7 Products

Research Areas for DHCR7 Antibody (NBP3-04053)

Find related products by research area.

Blogs on DHCR7

There are no specific blogs for DHCR7, but you can read our latest blog posts.

Contact Information

Product PDFs

Calculators

Concentration Calculator

The concentration calculator allows you to quickly calculate the volume, mass or concentration of your vial. Simply enter your mass, volume, or concentration values for your reagent and the calculator will determine the rest.

=
÷

Review this Product

Be the first to review our DHCR7 Antibody and receive a gift card or discount.

Bioinformatics

Gene Symbol DHCR7