Desmocollin-2 Antibody (7G6) - Azide and BSA Free

Images

 
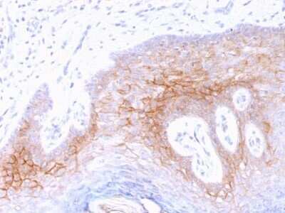
Immunohistochemistry-Paraffin: Desmocollin-2 Antibody (7G6) - Azide and BSA Free [NBP2-54519] - Formalin-fixed, paraffin-embedded human Skin stained with Desmocollin-2 Antibody (7G6).
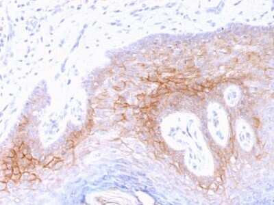
Immunohistochemistry-Paraffin: Desmocollin-2 Antibody (7G6) - Azide and BSA Free [NBP2-54519] - Formalin-fixed, paraffin-embedded human Skin stained with Desmocollin-2/3 Monoclonal Antibody (7G6).

Product Details

Summary
Reactivity Hu, Mu, RtSpecies Glossary
Applications WB, Flow, ICC/IF, IHC, CyTOF-ready
Clone
7G6
Clonality
Monoclonal
Host
Mouse
Conjugate
Unconjugated
Format
Azide and BSA Free
Concentration
1 mg/ml

Order Details

Desmocollin-2 Antibody (7G6) - Azide and BSA Free Summary

Description
1.0 mg/ml of antibody purified from Bioreactor Concentrate by Protein A/G. Prepared in 10mM PBS WITHOUT BSA & azide. Also available at 200 ug/ml WITH BSA & azide (NBP2-53378).

Antibody with azide - store at 2 to 8C. Antibody without azide - store at -20 to -80C.
Immunogen
Human Desmocollin-2 extracellular domain
Localization
Cell surface
Isotype
IgG1 Kappa
Clonality
Monoclonal
Host
Mouse
Gene
DSC2
Purity
Protein A or G purified
Innovator's Reward
Test in a species/application not listed above to receive a full credit towards a future purchase.

Applications/Dilutions

Dilutions
  • CyTOF-ready
  • Flow Cytometry 0.5 - 1 ug/million cells
  • Immunocytochemistry/ Immunofluorescence 1 - 2 ug/ml
  • Immunohistochemistry
  • Immunohistochemistry-Paraffin 1 - 2 ug/ml
  • Western Blot 0.5 - 1.0 ug/ml
Application Notes
Immunohistochemistry (Formalin-fixed): 1-2ug/ml for 30 minutes at RT. Staining of formalin-fixed tissues requires heating tissue sections in 10mM Tris with 1mM EDTA, pH 9.0, for 45 min at 95C followed by cooling at RT for 20 minutes.
Optimal dilution for a specific application should be determined.

Reactivity Notes

Others not known.

Packaging, Storage & Formulations

Storage
Store at -20 to -80C. Avoid freeze-thaw cycles.
Buffer
10 mM PBS
Preservative
No Preservative
Concentration
1 mg/ml
Purity
Protein A or G purified

Alternate Names for Desmocollin-2 Antibody (7G6) - Azide and BSA Free

  • ARVD11
  • Cadherin family member 2
  • CDHF2
  • CDHF2DGII/III
  • desmocollin 2
  • Desmocollin2
  • Desmocollin-2
  • Desmocollin-3
  • Desmosomal glycoprotein II
  • desmosomal glycoprotein II/III
  • Desmosomal glycoprotein III
  • DG2
  • DSC2
  • DSC3DKFZp686I11137

Background

Desmocollin 2 is encoded by this gene is a calcium-dependent glycoprotein that is a member of the desmocollin subfamily of the cadherin superfamily. These desmosomal family members, along with the desmogleins, are found primarily in epithelial cells where they constitute the adhesive proteins of the desmosome cell-cell junction and are required for cell adhesion and desmosome formation. The desmosomal family members are arranged in two clusters on chromosome 18, occupying less than 650 kb combined. Mutations in this gene are associated with arrhythmogenic right ventricular dysplasia-11. Alternative splicing results in two transcript variants encoding distinct isoforms.

Limitations

This product is for research use only and is not approved for use in humans or in clinical diagnosis. Primary Antibodies are guaranteed for 1 year from date of receipt.

Customers Who Viewed This Item Also Viewed...

AF947
Species: Hu
Applications: Simple Western, WB
NBP2-48836
Species: Ca, Hu
Applications: ICC/IF, IHC,  IHC-P
AF944
Species: Hu
Applications: IHC, WB
NBP1-88099
Species: Hu
Applications: IHC,  IHC-P, Simple Western, WB
NBP1-86078
Species: Hu
Applications: ICC/IF, IHC,  IHC-P, WB
NBP1-46853
Species: Hu, Mu
Applications: ICC/IF, IHC,  IHC-P, WB
NBP1-78984
Species: Hu, Mu
Applications: DB, ICC/IF, IHC,  IHC-P, IP, WB
NBP2-92546
Species: Hu, Mu
Applications: ELISA, ICC/IF, IHC, WB
NBP2-54527
Species: Bv, Ca, Ch, Fe, Hu, Mu, Rt
Applications: CyTOF-ready, Flow, ICC/IF,  IHC-P, WB
AF748
Species: Hu, Mu
Applications: CyTOF-ready, Dual ISH-IHC, Flow, ICC, IHC, Simple Western, WB
243-B3
Species: Hu
Applications: BA
NBP1-84132
Species: Hu
Applications: IHC,  IHC-P
233-FB
Species: Hu
Applications: BA
H00005729-B01P
Species: Hu
Applications: Flow, ICC/IF, WB
AF231
Species: Hu
Applications: CyTOF-ready, Dual ISH-IHC, ELISA(Cap), ELISA(Det), ELISA(Sta), Flow, ICC, IHC, IP, Simple Western, WB
NBP2-24583
Species: Bv, Eq, Hu, Mu, Ma-Op, Pm, Rt
Applications: IHC,  IHC-P, WB
NBP1-90042
Species: Hu, Rt
Applications: ICC/IF, IHC,  IHC-P, WB
NBP2-54519
Species: Hu, Mu, Rt
Applications: WB, Flow, ICC/IF, IHC, CyTOF-ready

Publications for Desmocollin-2 Antibody (NBP2-54519) (0)

There are no publications for Desmocollin-2 Antibody (NBP2-54519).
By submitting your publication information earn gift cards and discounts for future purchases.

Reviews for Desmocollin-2 Antibody (NBP2-54519) (0)

There are no reviews for Desmocollin-2 Antibody (NBP2-54519). By submitting a review you will receive an Amazon e-Gift Card or Novus Product Discount.
  • Review with no image -- $10/€7/£6/$10 CAD/¥70 Yuan/¥1110 Yen
  • Review with an image -- $25/€18/£15/$25 CAD/¥150 Yuan/¥2500 Yen

Product General Protocols

Find general support by application which include: protocols, troubleshooting, illustrated assays, videos and webinars.

Video Protocols

WB Video Protocol
ICC/IF Video Protocol

FAQs for Desmocollin-2 Antibody (NBP2-54519) (0)

There are no specific FAQs related to this product. Read our general customer & technical service FAQs.

Customers Who Bought This Also Bought

Contact Information

Product PDFs

Calculators

Concentration Calculator

The concentration calculator allows you to quickly calculate the volume, mass or concentration of your vial. Simply enter your mass, volume, or concentration values for your reagent and the calculator will determine the rest.

=
÷

Review this Product

Be the first to review our Desmocollin-2 Antibody (7G6) - Azide and BSA Free and receive a gift card or discount.

Bioinformatics

Gene Symbol DSC2