DAZL Antibody (JA10-36)

Images

 
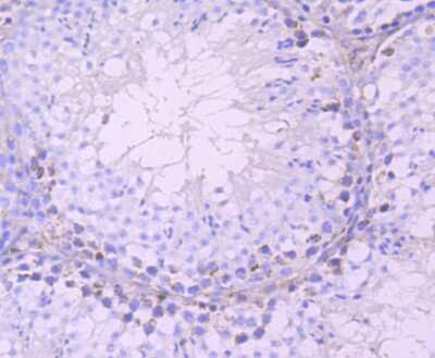
Immunohistochemistry-Paraffin: DAZL Antibody (JA10-36) [NBP2-67028] - Analysis of paraffin-embedded rat testes tissue using anti-DAZL antibody. Counter stained with hematoxylin.
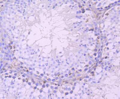
Immunohistochemistry-Paraffin: DAZL Antibody (JA10-36) [NBP2-67028] - Analysis of paraffin-embedded mouse testes tissue using anti-DAZL antibody. Counter stained with hematoxylin.

Product Details

Summary
Product Discontinued
View other related DAZL Primary Antibodies

Order Details


    • Catalog Number
      NBP2-67028
    • Availability
      Product Discontinued

    Can't find what you are looking for? Use our Antibody Concierge Service & we will help you locate your antibody!

    Or feel free to contact us for alternative products.

DAZL Antibody (JA10-36) Summary

Additional Information
Recombinant Monoclonal Antibody.
Immunogen
Synthetic peptide within DAZL aa 10-59 / 295. (SwissProt: Q92904 Human; SwissProt: Q64368 Mouse)
Localization
Cytoplasm. Nucleus. Predominantly cytoplasmic.
Isotype
IgG
Clonality
Monoclonal
Host
Rabbit
Gene
DAZL
Purity
Protein A purified
Innovator's Reward
Test in a species/application not listed above to receive a full credit towards a future purchase.

Applications/Dilutions

Dilutions
  • Immunohistochemistry
  • Immunohistochemistry-Paraffin 1:50
  • Western Blot 1:500

Packaging, Storage & Formulations

Storage
Store at 4C short term. Aliquot and store at -20C long term. Avoid freeze-thaw cycles.
Buffer
TBS (pH7.4), 0.05% BSA, 40% Glycerol
Preservative
0.05% Sodium Azide
Concentration
1 mg/ml
Purity
Protein A purified

Alternate Names for DAZL Antibody (JA10-36)

  • DAZHSPGY-like-autosomal
  • DAZL1DAZ-like autosomal
  • DAZLA
  • Deleted in azoospermia-like 1
  • deleted in azoospermia-like
  • germline specific RNA binding protein
  • MGC26406
  • spermatogenesis gene on the Y-like autosomal
  • SPGYLADAZ homolog

Background

DAZL is a RNA-binding protein, which is essential for gametogenesis. Plays a central role during spermatogenesis. May act by binding to the 3'-UTR of mRNA and thereby regulating the translation of key transcripts

Limitations

This product is for research use only and is not approved for use in humans or in clinical diagnosis. Primary Antibodies are guaranteed for 1 year from date of receipt.

Customers Who Viewed This Item Also Viewed...

H00001617-M01
Species: Hu
Applications: ELISA, ICC/IF, IHC,  IHC-P, S-ELISA, WB
AF1759
Species: Hu, Mu
Applications: ChIP, ICC, IP, Simple Western, WB
NBP2-33538
Species: Hu
Applications: IHC,  IHC-P, WB
AF2030
Species: Hu
Applications: IHC, WB
NB300-232
Species: Bv, Ch, Fe, Hu, Mu, Pa, Po, Rt, RM
Applications: IB, ICC/IF, IHC, IHC-Fr,  IHC-P, IP, WB
NB100-387
Species: Hu, Mu, Rt
Applications: IP, WB
NBP1-98492
Species: Hu, Mu
Applications: ICC/IF, KO, WB
H00388112-B01P
Species: Hu
Applications: WB
AF1997
Species: Hu
Applications: ChIP, ICC, IHC, Simple Western, WB
AF1356
Species: Hu, Mu
Applications: CyTOF-ready, Dual ISH-IHC, Flow, IHC, Simple Western, WB
739-G9
Species: Mu
Applications: BA
NBP1-76365
Species: Hu, Mu, Rt
Applications: ELISA, WB
NBP1-32887
Species: Hu
Applications: IHC,  IHC-P, WB
AF2566
Species: Mu
Applications: IHC, WB
NBP1-91011
Species: Hu
Applications: IHC, IHC-Fr,  IHC-P, WB
NBP1-20903
Species: Hu
Applications: Flow, ICC/IF, PEP-ELISA
212-GD
Species: Hu
Applications: Bind, BA
NB600-235
Species: Hu, Mu, Po
Applications: ChIP, ELISA, Flow, ICC/IF, IHC, IHC-Fr,  IHC-P, IP, WB

Publications for DAZL Antibody (NBP2-67028) (0)

There are no publications for DAZL Antibody (NBP2-67028).
By submitting your publication information earn gift cards and discounts for future purchases.

Reviews for DAZL Antibody (NBP2-67028) (0)

There are no reviews for DAZL Antibody (NBP2-67028). By submitting a review you will receive an Amazon e-Gift Card or Novus Product Discount.
  • Review with no image -- $10/€7/£6/$10 CAD/¥70 Yuan/¥1110 Yen
  • Review with an image -- $25/€18/£15/$25 CAD/¥150 Yuan/¥2500 Yen

Product General Protocols

Find general support by application which include: protocols, troubleshooting, illustrated assays, videos and webinars.

Video Protocols

WB Video Protocol

FAQs for DAZL Antibody (NBP2-67028) (0)

There are no specific FAQs related to this product. Read our general customer & technical service FAQs.

Contact Information

Product PDFs

Calculators

Concentration Calculator

The concentration calculator allows you to quickly calculate the volume, mass or concentration of your vial. Simply enter your mass, volume, or concentration values for your reagent and the calculator will determine the rest.

=
÷

Review this Product

Be the first to review our DAZL Antibody (JA10-36) and receive a gift card or discount.

Bioinformatics

Gene Symbol DAZL