Cytokeratin 4 Antibody (SN2001)

Images

 
Western Blot: Cytokeratin 4 Antibody (SN2001) [NBP2-67727] - Analysis of Cytokeratin 4 on 293T cells lysates using anti-Cytokeratin 4 antibody at 1/1,000 dilution.
Immunocytochemistry/ Immunofluorescence: Cytokeratin 4 Antibody (SN2001) [NBP2-67727] - Staining Cytokeratin 4 in MCF-7 cells (green). The nuclear counter stain is DAPI (blue). Cells were fixed in paraformaldehyde, ...read more
Immunohistochemistry-Paraffin: Cytokeratin 4 Antibody (SN2001) [NBP2-67727] - Immunohistochemical analysis of paraffin-embedded rat esophagus tissue using anti-Cytokeratin 4 antibody. The section was pre-treated using ...read more
Immunocytochemistry/ Immunofluorescence: Cytokeratin 4 Antibody (SN2001) [NBP2-67727] - Staining Cytokeratin 4 in A431 cells (green). The nuclear counter stain is DAPI (blue). Cells were fixed in paraformaldehyde, ...read more
Immunocytochemistry/ Immunofluorescence: Cytokeratin 4 Antibody (SN2001) [NBP2-67727] - Staining Cytokeratin 4 in Hela cells (green). The nuclear counter stain is DAPI (blue). Cells were fixed in paraformaldehyde, ...read more
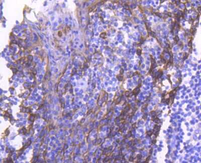
Immunohistochemistry-Paraffin: Cytokeratin 4 Antibody (SN2001) [NBP2-67727] - Analysis of paraffin-embedded human tonsil tissue using anti-Cytokeratin 4 antibody. Counter stained with hematoxylin.
Immunohistochemistry-Paraffin: Cytokeratin 4 Antibody (SN2001) [NBP2-67727] - Immunohistochemical analysis of paraffin-embedded human esophagus tissue using anti-Cytokeratin 4 antibody. The section was pre-treated using ...read more
Immunohistochemistry-Paraffin: Cytokeratin 4 Antibody (SN2001) [NBP2-67727] - Immunohistochemical analysis of paraffin-embedded human skin tissue using anti-Cytokeratin 4 antibody. The section was pre-treated using heat ...read more
Immunohistochemistry-Paraffin: Cytokeratin 4 Antibody (SN2001) [NBP2-67727] - Immunohistochemical analysis of paraffin-embedded human tonsil tissue using anti-Cytokeratin 4 antibody. The section was pre-treated using ...read more

Product Details

Summary
Product Discontinued
View other related Cytokeratin 4 Primary Antibodies

Order Details


    • Catalog Number
      NBP2-67727
    • Availability
      Product Discontinued

    Can't find what you are looking for? Use our Antibody Concierge Service & we will help you locate your antibody!

    Or feel free to contact us for alternative products.

Cytokeratin 4 Antibody (SN2001) Summary

Additional Information
Recombinant Monoclonal Antibody.
Immunogen
Synthetic peptide within Human Cytokeratin 4 aa 1-50 / 520. (SwissProt: P19013 Human; SwissProt: Q6IG00 Rat)
Localization
Cell surface, intermediate filament, nucleus.
Isotype
IgG
Clonality
Monoclonal
Host
Rabbit
Gene
KRT4
Purity
Protein A purified
Innovator's Reward
Test in a species/application not listed above to receive a full credit towards a future purchase.

Applications/Dilutions

Dilutions
  • Immunocytochemistry/ Immunofluorescence 1:50-1:200
  • Immunohistochemistry
  • Immunohistochemistry-Paraffin 1:50-1:200
  • Western Blot 1:500-1:2000

Packaging, Storage & Formulations

Storage
Store at 4C short term. Aliquot and store at -20C long term. Avoid freeze-thaw cycles.
Buffer
TBS (pH7.4), 0.05% BSA, 40% Glycerol
Preservative
0.05% Sodium Azide
Concentration
1 mg/ml
Purity
Protein A purified

Alternate Names for Cytokeratin 4 Antibody (SN2001)

  • CK4
  • CK-4
  • CYK4cytokeratin-4
  • Cytokeratin-4
  • FLJ31692
  • K4cytokeratin 4
  • keratin 4
  • keratin, type II cytoskeletal 4
  • Keratin-4
  • Type-II keratin Kb4

Background

Keratins are a family of structurally related proteins that form the intermediate filament cytoskeleton in epithelial cells. White sponge nevus (WSN) is a benign autosomal dominant disorder which affects non-cornifying stratified squamous epithelial. Keratins are expressed in pairs by epithelial cells in a tissue and cell specific manner. The major differentiation specific keratins of the buccal mucosa, nasal, esophageal and anogenital epithelia are CK-4 and CK-13. The tissue distribution and nature of the lesions in patients affected by WSN suggested that mutations in CK-4 and/or CK-13 might be responsible for this disorder (1). K4 and K13 form heterodimers in normal epithelial cells. In humans, K4 is present in all layers of the epidermis at 10 weeks and gradually disappears, starting from the basal layers at 15 weeks and becoming totally absent at around 20 weeks. This period corresponds to the early fetal period when melanoblasts derived from the neural crest migrate through the dermis into the basal layer of the epidermis (2)

Limitations

This product is for research use only and is not approved for use in humans or in clinical diagnosis. Primary Antibodies are guaranteed for 1 year from date of receipt.

Customers Who Viewed This Item Also Viewed...

NB500-171
Species: Hu, I, Mu, Rt, Xp, Ye
Applications: ChIP, IB, ICC/IF, IHC,  IHC-P, Single-Cell Western, WB
NBP3-15261
Species: Hu, Mu, Rt
Applications: ICC/IF, IHC,  IHC-P, WB
NBP2-29429
Species: Bv, Ca, Ch, Hu, Pm, Mu, Rb, Rt, Re, Ze
Applications: COMET, CyTOF-reported, Dual ISH-IHC, Flow-IC, Flow, ICC/IF, IHC, IHC-Fr,  IHC-P, mIF, Single-Cell Western, WB
NBP2-61931
Species: Hu, Rt
Applications: Flow, ICC/IF, IHC,  IHC-P, WB
NBP2-34270
Species: Hu, Mu, Rt
Applications: Flow, ICC/IF, IHC, IHC-Fr,  IHC-P, Simple Western
NBP1-81572
Species: Hu, Mu, Rt
Applications: ICC/IF, IHC,  IHC-P, WB
NBP2-79718
Species: Hu
Applications: ICC/IF, IHC,  IHC-P, PA, WB
NBP2-16094
Species: Hu, Mu, Ze
Applications: ICC/IF, IHC-WhMt, IHC,  IHC-P, KO, WB
NB100-687
Species: Hu, Mu, Rt
Applications: Flow, ICC/IF, IHC,  IHC-P, Simple Western, WB
NBP2-61736
Species: Hu, Pm, Mu, Rt
Applications: ELISA, Flow, IHC,  IHC-P, WB
NBP2-37477
Species: Hu
Applications: ELISA, ICC/IF, IHC,  IHC-P, WB
NBP2-85137
Species: Hu, Pm, Mu
Applications: IHC,  IHC-P, WB
NB600-930
Species: Hu, Rt
Applications: ELISA, WB
NBP2-07996
Species: Hu
Applications: WB
NBP2-52486
Species: Hu
Applications: CyTOF-ready, ELISA, Flow, ICC/IF, IHC,  IHC-P, WB
NBP1-85630
Species: Hu
Applications: IHC,  IHC-P, WB
NBP1-85632
Species: Hu
Applications: ICC/IF, IHC,  IHC-P
NBP3-13937
Species: Hu
Applications: ELISA, Flow, ICC/IF,  IHC-P, IP, PA, WB
NBP2-47940
Species: Hu
Applications: CyTOF-ready, Flow, ICC/IF, IF, IHC,  IHC-P, Simple Western, WB
NBP2-67727
Species: Hu, Rt
Applications: WB, ICC/IF, IHC

Publications for Cytokeratin 4 Antibody (NBP2-67727) (0)

There are no publications for Cytokeratin 4 Antibody (NBP2-67727).
By submitting your publication information earn gift cards and discounts for future purchases.

Reviews for Cytokeratin 4 Antibody (NBP2-67727) (0)

There are no reviews for Cytokeratin 4 Antibody (NBP2-67727). By submitting a review you will receive an Amazon e-Gift Card or Novus Product Discount.
  • Review with no image -- $10/€7/£6/$10 CAD/¥70 Yuan/¥1110 Yen
  • Review with an image -- $25/€18/£15/$25 CAD/¥150 Yuan/¥2500 Yen

Product General Protocols

Find general support by application which include: protocols, troubleshooting, illustrated assays, videos and webinars.

Video Protocols

WB Video Protocol
ICC/IF Video Protocol

FAQs for Cytokeratin 4 Antibody (NBP2-67727) (0)

There are no specific FAQs related to this product. Read our general customer & technical service FAQs.

Secondary Antibodies

 

Isotype Controls

Additional Cytokeratin 4 Products

Research Areas for Cytokeratin 4 Antibody (NBP2-67727)

Find related products by research area.

Blogs on Cytokeratin 4

There are no specific blogs for Cytokeratin 4, but you can read our latest blog posts.

Contact Information

Product PDFs

Calculators

Concentration Calculator

The concentration calculator allows you to quickly calculate the volume, mass or concentration of your vial. Simply enter your mass, volume, or concentration values for your reagent and the calculator will determine the rest.

=
÷

Review this Product

Be the first to review our Cytokeratin 4 Antibody (SN2001) and receive a gift card or discount.

Bioinformatics

Gene Symbol KRT4