Cytokeratin 19 Antibody (A53-B/A2.26) [Janelia Fluor® 549]

Images

 
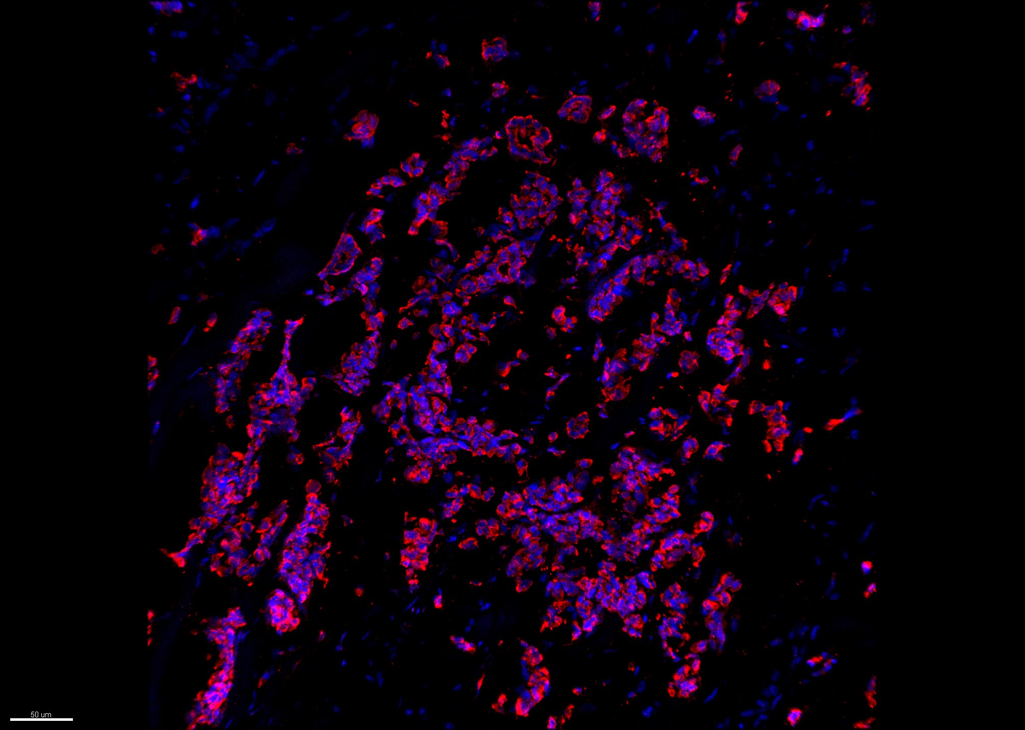
Immunohistochemistry-Frozen: Cytokeratin 19 Antibody (A53-B/A2.26) [Janelia Fluor® 549] [NBP2-33134JF549] - Breast cancer tissue stained for Cytokeratin 19 (red) and counter stained with DAPI (blue). IHC-Fr image ...read more

Product Details

Summary
Reactivity Hu, Ma(-), Rt(-)Species Glossary
Applications WB, Flow, ICC/IF, IHC, CyTOF-ready
Clone
A53-B/A2.26
Clonality
Monoclonal
Host
Mouse
Conjugate
Janelia Fluor 549

Order Details

Cytokeratin 19 Antibody (A53-B/A2.26) [Janelia Fluor® 549] Summary

Immunogen
Human breast cancer MCF-7 cells
Epitope
aa 312-335
Localization
Cytoplasmic
Marker
Pancreatic Stem Cell Marker
Specificity
This monoclonal antibody reacts with the rod domain of human cytokeratin-19 (CK19), a polypeptide of 40kDa. Its epitope maps between amino acid 312-335. CK19 is expressed in sweat gland, mammary gland ductal and secretory cells, bile ducts, gastrointestinal tract, bladder urothelium, oral epithelia, esophagus, and ectocervical epithelium. Anti-CK19 reacts with a wide variety of epithelial malignancies including adenocarcinomas of the colon, stomach, pancreas, biliary tract, liver, and breast. Perhaps the most useful application is the identification of thyroid carcinoma of the papillary type, although 50%-60% of follicular carcinomas are also labeled. Anti-CK19 is a useful marker for detection of tumor cells in lymph nodes, peripheral blood, bone marrow and breast cancer.
Isotype
IgG2a Lambda
Clonality
Monoclonal
Host
Mouse
Gene
KRT19
Purity
Protein A or G purified
Innovator's Reward
Test in a species/application not listed above to receive a full credit towards a future purchase.

Applications/Dilutions

Dilutions
  • CyTOF-ready
  • Flow Cytometry
  • Immunocytochemistry/ Immunofluorescence
  • Immunohistochemistry
  • Immunohistochemistry-Frozen
  • Immunohistochemistry-Paraffin
  • Western Blot
Application Notes
Optimal dilution of this antibody should be experimentally determined.
Reviewed Applications
Read 1 Review rated 5
using
NBP2-33134JF549 in the following applications:

Reactivity Notes

Does not react with Rat or Ferret.

Packaging, Storage & Formulations

Storage
Store at 4C in the dark.
Buffer
50mM Sodium Borate
Preservative
0.05% Sodium Azide
Purity
Protein A or G purified

Notes

Sold under license from the Howard Hughes Medical Institute, Janelia Research Campus.

Alternate Names for Cytokeratin 19 Antibody (A53-B/A2.26) [Janelia Fluor® 549]

  • 40-kDa keratin intermediate filament
  • CK19
  • CK-19
  • Cytokeratin 19
  • EndoC
  • K19
  • K1CS
  • keratin 19
  • keratin, type I cytoskeletal 19
  • keratin, type I, 40-kd
  • keratin-19
  • Krt19
  • MGC15366

Background

Cytokeratin 19 (also known as Keratin, type I cytoskeletal 19) belongs to the keratin family which consists of fibrous proteins that make up the framework of epithelial cells. Cytokeratin 19 plays a role in the organization of myofibers. This protein is known to have interactions with ZNF638, FANCG, FAM107A, KRT15 and EXOC8. Cytokeratin 19 has been studied in relation to several disorders and diseases including chordoma, adenoma, hamartoma, adenoiditis, carcinoma, and liver disease.

Limitations

This product is for research use only and is not approved for use in humans or in clinical diagnosis. Primary Antibodies are guaranteed for 1 year from date of receipt.

Customers Who Viewed This Item Also Viewed...

NBP2-47940
Species: Hu
Applications: CyTOF-ready, Flow, ICC/IF, IF, IHC,  IHC-P, Simple Western, WB
NBP2-34594
Species: Hu, Pm
Applications: CyTOF-ready, Flow, ICC/IF, IHC,  IHC-P
AF4478
Species: Hu
Applications: IHC, WB
NBP3-41306
Species: Hu, Mu, Rt
Applications: WB
NBP2-67309
Species: Hu, Rt
Applications: Flow, ICC/IF, IHC,  IHC-P, IP, WB
NBP2-16094
Species: Hu, Mu, Ze
Applications: ICC/IF, IHC-WhMt, IHC,  IHC-P, KO, WB
MAB1368
Species: Hu, Mu
Applications: CyTOF-ready, ICC, ICFlow, KO, Simple Western, WB
NBP2-34270
Species: Hu, Mu, Rt
Applications: Flow, ICC/IF, IHC, IHC-Fr,  IHC-P, Simple Western
NB300-223
Species: Bv, Ca, Ch, Eq, Hu, Mu, Po, Rt
Applications: ICC/IF, IHC, IHC-Fr,  IHC-P, WB
NBP1-85632
Species: Hu
Applications: ICC/IF, IHC,  IHC-P
NBP1-85630
Species: Hu
Applications: IHC,  IHC-P, WB
NB120-22711
Species: Hu, Mu
Applications: ELISA, Flow, ICC/IF, IHC, IHC-Fr,  IHC-P
MAB7619
Species: Hu
Applications: ICC, IHC, Simple Western, WB
MAB1455
Species: Hu
Applications: CyTOF-ready, Dual ISH-IHC, ICC, IHC, ICFlow, Simple Western, WB
NB110-58870
Species: Hu, Mu, Rt
Applications: ICC/IF, IHC, KD, Simple Western, WB
NBP2-61736
Species: Hu, Pm, Mu, Rt
Applications: ELISA, Flow, IHC,  IHC-P, WB
1129-ER
Species: Hu
Applications: BA
AF7355
Species: Hu
Applications: ICC, Simple Western, WB

Publications for Cytokeratin 19 Antibody (NBP2-33134JF549) (0)

There are no publications for Cytokeratin 19 Antibody (NBP2-33134JF549).
By submitting your publication information earn gift cards and discounts for future purchases.

Review for Cytokeratin 19 Antibody (NBP2-33134JF549) (1) 51

Average Rating: 5
(Based on 1 review)
We have 1 review tested in 1 species: Human.

Reviews using NBP2-33134JF549:
Filter by Applications
IHC-Fr
(1)
All Applications
Filter by Species
Human
(1)
All Species
Images Ratings Applications Species Date Details
Immunohistochemistry-Frozen Cytokeratin 19 NBP2-33134JF549
Enlarge
5
reviewed by:
Jan Martinek
IHC-Fr Human 12/20/2019
View

Summary

ApplicationImmunohistochemistry-Frozen
Sample TestedBreast cancer tissue
SpeciesHuman
Lot3880-1PABX181213-111319-JF549

Product General Protocols

Video Protocols

WB Video Protocol
ICC/IF Video Protocol

FAQs for Cytokeratin 19 Antibody (NBP2-33134JF549) (0)

There are no specific FAQs related to this product. Read our general customer & technical service FAQs.

Secondary Antibodies

 

Isotype Controls

Additional Cytokeratin 19 Products

Research Areas for Cytokeratin 19 Antibody (NBP2-33134JF549)

Find related products by research area.

Blogs on Cytokeratin 19

There are no specific blogs for Cytokeratin 19, but you can read our latest blog posts.

Customers Who Bought This Also Bought

Contact Information

Product PDFs

Calculators

Concentration Calculator

The concentration calculator allows you to quickly calculate the volume, mass or concentration of your vial. Simply enter your mass, volume, or concentration values for your reagent and the calculator will determine the rest.

=
÷

Recent Reviews

5
5
1
4
0
3
0
2
0
1
0

Jan Martinek
12/20/2019
Application: IHC-Fr
Species: Human

Bioinformatics

Gene Symbol KRT19