Cytokeratin 17 Antibody (KRT17/8320R) - Azide and BSA Free

Images

 
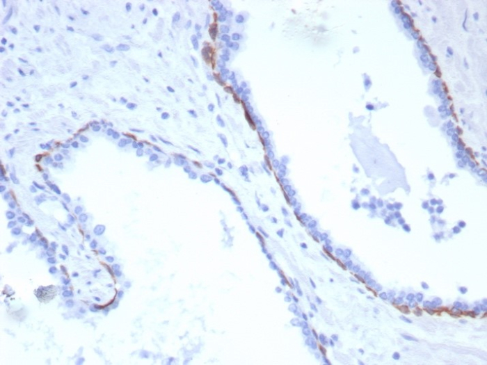
Formalin-fixed, paraffin-embedded human prostate carcinoma stained with Cytokeratin 17 antibody (KRT17/8320R). HIER: Tris/EDTA, pH9.0, 45min. Secondary: HRP-polymer, 30min. DAB, 5min.

Product Details

Summary
Reactivity HuSpecies Glossary
Applications IHC
Clone
KRT17/8320R
Clonality
Monoclonal
Host
Rabbit
Conjugate
Unconjugated
Format
Azide and BSA Free
Concentration
1 mg/ml

Order Details

Cytokeratin 17 Antibody (KRT17/8320R) - Azide and BSA Free Summary

Description
Positive Controls: T24 cells. Human skin, bladder or cervix.

Antibody with azide - store at 2 to 8C. Antibody without azide - store at -20 to -80C. Non-hazardous. No MSDS required.
Additional Information
Recombinant Monoclonal Antibody
Immunogen
Recombinant fragment of human Cytokeratin 17 protein (exact sequence is proprietary)
Localization
Cytoplasm.
Specificity
Antibody to CK17 is an excellent tool to distinguish myoepithelial cells from luminal epithelium of various glands such as mammary, sweat and salivary CK17 is expressed in epithelial cells of various origins, such as bronchial epithelial cells and skin appendages It may be considered as epithelial stem cell marker because CK17 Ab marks basal cell differentiation CK17 is expressed in SCLC much higher than in LADC Eighty-five percent of the triple negative breast carcinomas immunoreact with basal cytokeratins including anti-CK17 Also important is that cases of triple negative breast carcinoma with expression of CK17 show an aggressive clinical course Additionally, anti-CK17 and anti-MUC1 immunoreactivity represents pancreatobiliary subtype whereas anti-MUC2 and anti-CDX-2 positivity defines intestinal subtype
Isotype
IgG Kappa
Clonality
Monoclonal
Host
Rabbit
Gene
KRT17
Purity
Protein A or G purified
Innovator's Reward
Test in a species/application not listed above to receive a full credit towards a future purchase.

Applications/Dilutions

Dilutions
  • Immunohistochemistry-Paraffin 1-2 ug/ml
Application Notes
Immunohistochemistry (Formalin-fixed): 1-2ug/ml for 30 minutes. at RT. Staining of formalin-fixed tissues requires heating tissue sections in 10mM Tris with 1mM EDTA, pH 9.0, for 45 min at 95C followed by cooling at RT for 20 minutes.

Optimal dilution for a specific application should be determined.

Packaging, Storage & Formulations

Storage
Store at -20 to -70C. Avoid freeze-thaw cycles.
Buffer
10mM PBS
Preservative
No Preservative
Concentration
1 mg/ml
Purity
Protein A or G purified

Alternate Names for Cytokeratin 17 Antibody (KRT17/8320R) - Azide and BSA Free

  • 39.1
  • CK-17
  • Cytokeratin 17
  • cytokeratin-17
  • K17
  • keratin 17
  • keratin 17, type I
  • keratin, type I cytoskeletal 17
  • keratin-17
  • PC
  • PC2
  • PCHC1

Background

Among the members of the cytokeratin (CK) subfamily of intermediate filament (IF) proteins, CK 17 is normally expressed in the basal cells of complex epithelia but not in stratified or simple epithelia. It has an unusual expression pattern in normal and diseased states and has potential importance in tumor diagnosis. CK 17 synthesis seems to be a marker of basal cell differentiation in complex epithelia and therefore indicative of a certain type of epithelial "stem cells" (1). It has been shown that CK 17 regulates cell growth through binding to the adaptor protein 14-3-3sigma. These findings reveal a new and unexpected role for the intermediate filament cytoskeleton in influencing cell growth and size by regulating protein synthesis (2). CK 17 is expressed in the nail bed, hair follicle, sebaceous glands, and other epidermal appendages (3).

Limitations

This product is for research use only and is not approved for use in humans or in clinical diagnosis. Primary Antibodies are guaranteed for 1 year from date of receipt.

Customers Who Viewed This Item Also Viewed...

H00005122-M02
Species: Hu, Mu, Rt
Applications: ELISA, ICC/IF, IHC,  IHC-P, S-ELISA, WB
NBP2-27561
Species: Ch, Hu, Rt
Applications: IHC,  IHC-P, PEP-ELISA, WB
NB100-1533
Species: Hu, Mu, Po, Rt, Sh
Applications: Flow, ICC/IF, IHC,  IHC-P, PEP-ELISA, WB
NB100-1903
Species: Ca, Ha, Hu, Mu, Po, Pm, Rt
Applications: B/N, Flow, ICC/IF, IHC,  IHC-P, IP, WB
NBP1-83224
Species: Hu
Applications: ICC/IF, IHC,  IHC-P, WB
NBP2-46587
Species: Hu, Mu, Rt
Applications: IHC,  IHC-P, WB
NBP2-15275
Species: Hu, Mu
Applications: ICC/IF, IHC,  IHC-P, WB
MAB1417
Species: Bv, Hu, Mu
Applications: ICC, IHC
NBP2-67559
Species: Hu
Applications: Flow, ICC/IF, IHC,  IHC-P, WB
NBP1-80944
Species: Hu
Applications: ICC/IF, IHC,  IHC-P
NBP2-34270
Species: Hu, Mu, Rt
Applications: Flow, ICC/IF, IHC, IHC-Fr,  IHC-P, Simple Western
NBP1-87326
Species: Hu
Applications: ICC/IF, IHC,  IHC-P
AF6018
Species: Hu, Mu
Applications: ICC, IP, WB
NBP1-88010
Species: Hu
Applications: IHC,  IHC-P
NBP1-82454
Species: Hu, Mu
Applications: ICC/IF, IHC,  IHC-P, WB
NBP2-24679
Species: Bv, Ca, Hu, Po, Pm
Applications: IHC,  IHC-P, WB
NBP2-61931
Species: Hu, Rt
Applications: Flow, ICC/IF, IHC,  IHC-P, WB
NBP3-20908
Species: Hu
Applications: IHC

Publications for Cytokeratin 17 Antibody (NBP3-20908) (0)

There are no publications for Cytokeratin 17 Antibody (NBP3-20908).
By submitting your publication information earn gift cards and discounts for future purchases.

Reviews for Cytokeratin 17 Antibody (NBP3-20908) (0)

There are no reviews for Cytokeratin 17 Antibody (NBP3-20908). By submitting a review you will receive an Amazon e-Gift Card or Novus Product Discount.
  • Review with no image -- $10/€7/£6/$10 CAD/¥70 Yuan/¥1110 Yen
  • Review with an image -- $25/€18/£15/$25 CAD/¥150 Yuan/¥2500 Yen

Product General Protocols

Find general support by application which include: protocols, troubleshooting, illustrated assays, videos and webinars.

FAQs for Cytokeratin 17 Antibody (NBP3-20908) (0)

There are no specific FAQs related to this product. Read our general customer & technical service FAQs.

Secondary Antibodies

 

Isotype Controls

Additional Cytokeratin 17 Products

Research Areas for Cytokeratin 17 Antibody (NBP3-20908)

Find related products by research area.

Blogs on Cytokeratin 17

There are no specific blogs for Cytokeratin 17, but you can read our latest blog posts.

Customers Who Bought This Also Bought

Contact Information

Product PDFs

Calculators

Concentration Calculator

The concentration calculator allows you to quickly calculate the volume, mass or concentration of your vial. Simply enter your mass, volume, or concentration values for your reagent and the calculator will determine the rest.

=
÷

Review this Product

Be the first to review our Cytokeratin 17 Antibody (KRT17/8320R) - Azide and BSA Free and receive a gift card or discount.

Bioinformatics

Gene Symbol KRT17