Cytochrome P450 3A4 Antibody (JA11-33)

Images

 
Western Blot: Cytochrome P450 3A4 Antibody (JA11-33) [NBP2-67022] - Analysis of Cytochrome P450 3A4 on human liver tissue lysate using anti-Cytochrome P450 3A4 antibody at 1/1,000 dilution.
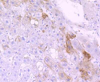
Immunohistochemistry-Paraffin: Cytochrome P450 3A4 Antibody (JA11-33) [NBP2-67022] - Analysis of paraffin-embedded human liver tissue using anti-Cytochrome P450 3A4 antibody. Counter stained with hematoxylin.

Product Details

Summary
Product Discontinued
View other related Cytochrome P450 3A4 Primary Antibodies

Order Details


    • Catalog Number
      NBP2-67022
    • Availability
      Product Discontinued

    Can't find what you are looking for? Use our Antibody Concierge Service & we will help you locate your antibody!

    Or feel free to contact us for alternative products.

Cytochrome P450 3A4 Antibody (JA11-33) Summary

Additional Information
Recombinant Monoclonal Antibody.
Immunogen
Synthetic peptide within Human Cytochrome P450 3A4 aa 454-503 / 503. (SwissProt: P08684 Human)
Localization
Endoplasmic reticulum membrane. Microsome membrane.
Isotype
IgG
Clonality
Monoclonal
Host
Rabbit
Gene
CYP3A4
Purity
Protein A purified
Innovator's Reward
Test in a species/application not listed above to receive a full credit towards a future purchase.

Applications/Dilutions

Dilutions
  • Immunohistochemistry
  • Immunohistochemistry-Paraffin 1:50-1:200
  • Immunoprecipitation
  • Western Blot 1:500-1:1000

Packaging, Storage & Formulations

Storage
Store at 4C short term. Aliquot and store at -20C long term. Avoid freeze-thaw cycles.
Buffer
TBS (pH7.4), 0.05% BSA, 40% Glycerol
Preservative
0.05% Sodium Azide
Concentration
1 mg/ml
Purity
Protein A purified

Alternate Names for Cytochrome P450 3A4 Antibody (JA11-33)

  • Albendazole Monooxygenase
  • Albendazole Sulfoxidase
  • CP33
  • CP34
  • CYP3A
  • CYP3A3
  • CYP3A4
  • CYPIIIA3
  • CYPIIIA4
  • Cytochrome P450 3A3
  • cytochrome P450 3A4
  • Cytochrome P450 HLp
  • Cytochrome P450 NF-25
  • cytochrome P450, family 3, subfamily A, polypeptide 4
  • cytochrome P450, subfamily IIIA (niphedipine oxidase), polypeptide 3
  • cytochrome P450, subfamily IIIA (niphedipine oxidase), polypeptide 4
  • Cytochrome P450-PCN1
  • EC 1.14.13.32
  • EC 1.14.13.67
  • EC 1.14.13.97
  • EC 1.14.14.1
  • glucocorticoid-inducible P450
  • HLP
  • MGC126680
  • NF-25
  • Nifedipine oxidase
  • P450C3
  • P450-III, steroid inducible
  • P450PCN1
  • Quinine 3-Monooxygenase
  • Taurochenodeoxycholate 6-Alpha-Hydroxylase

Limitations

This product is for research use only and is not approved for use in humans or in clinical diagnosis. Primary Antibodies are guaranteed for 1 year from date of receipt.

Customers Who Viewed This Item Also Viewed...

NBP1-91818
Species: Hu
Applications: IHC,  IHC-P, WB
NBP2-02563
Species: Hu
Applications: Flow, ICC/IF, IHC,  IHC-P, WB
NBP2-01397
Species: Hu
Applications: Flow, ICC/IF, IHC,  IHC-P, WB
NBP3-10546
Species: Hu
Applications: WB
PP-H4417-00
Species: Hu
Applications: DirELISA, IP, WB
NBP1-68885
Species: Hu
Applications: IHC, WB
NBP2-01800
Species: Ca, Hu, Pm, Mu, Rt
Applications: Flow, ICC/IF, IHC,  IHC-P, WB
NBP2-67667
Species: Hu, Mu, Rt
Applications: ICC/IF, IHC, IHC-Fr,  IHC-P, WB
NBP1-85367
Species: Hu, Mu, Rt
Applications: ICC/IF, IHC,  IHC-P, WB
NB100-74398
Species: Hu, Mu, Pm, Rt
Applications: ICC/IF, IHC,  IHC-P, WB
NBP2-01437
Species: Hu, Pm, Mu, Pm, Rt
Applications: Flow, IHC,  IHC-P, WB
NBP1-88054
Species: Hu
Applications: IHC,  IHC-P, WB
PP-N4111-00
Species: Hu
Applications: IHC, IP, WB
NBP2-92808
Species: Hu, Mu, Rt
Applications: WB
H00001556-P01
Species: Hu
Applications: ELISA, AP, PA, PAGE, WB
NBP2-13415
Species: Hu
Applications: ICC/IF, IHC,  IHC-P
H00004595-M01
Species: Hu, Mu
Applications: ELISA, ICC/IF, IHC,  IHC-P, IP, KD, WB
NBP3-11914
Species: Hu
Applications: ELISA, IHC, WB
NB120-19347
Species: Bv, Hu, Mu, Po, Rt
Applications: ELISA, ICC/IF, IHC, IHC-Fr,  IHC-P, WB
NBP2-67022
Species: Hu
Applications: WB, IHC, IP

Publications for Cytochrome P450 3A4 Antibody (NBP2-67022) (0)

There are no publications for Cytochrome P450 3A4 Antibody (NBP2-67022).
By submitting your publication information earn gift cards and discounts for future purchases.

Reviews for Cytochrome P450 3A4 Antibody (NBP2-67022) (0)

There are no reviews for Cytochrome P450 3A4 Antibody (NBP2-67022). By submitting a review you will receive an Amazon e-Gift Card or Novus Product Discount.
  • Review with no image -- $10/€7/£6/$10 CAD/¥70 Yuan/¥1110 Yen
  • Review with an image -- $25/€18/£15/$25 CAD/¥150 Yuan/¥2500 Yen

Product General Protocols

Find general support by application which include: protocols, troubleshooting, illustrated assays, videos and webinars.

Video Protocols

WB Video Protocol

FAQs for Cytochrome P450 3A4 Antibody (NBP2-67022) (0)

There are no specific FAQs related to this product. Read our general customer & technical service FAQs.

Secondary Antibodies

 

Isotype Controls

Additional Cytochrome P450 3A4 Products

Research Areas for Cytochrome P450 3A4 Antibody (NBP2-67022)

Find related products by research area.

Blogs on Cytochrome P450 3A4

There are no specific blogs for Cytochrome P450 3A4, but you can read our latest blog posts.

Contact Information

Product PDFs

Calculators

Concentration Calculator

The concentration calculator allows you to quickly calculate the volume, mass or concentration of your vial. Simply enter your mass, volume, or concentration values for your reagent and the calculator will determine the rest.

=
÷

Review this Product

Be the first to review our Cytochrome P450 3A4 Antibody (JA11-33) and receive a gift card or discount.

Bioinformatics

Gene Symbol CYP3A4