Cyclin H Antibody (SN20-48)

Images

 
Western Blot: Cyclin H Antibody (SN20-48) [NBP2-67719] - Analysis of Cyclin H on K562 cells lysates using anti-Cyclin H antibody at 1/1,000 dilution.
Immunocytochemistry/ Immunofluorescence: Cyclin H Antibody (SN20-48) [NBP2-67719] - Staining Cyclin H in PC-3M cells (green). The nuclear counter stain is DAPI (blue). Cells were fixed in paraformaldehyde, permeabilised ...read more
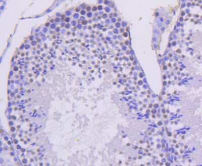
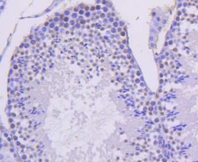
Immunohistochemistry-Paraffin: Cyclin H Antibody (SN20-48) [NBP2-67719] - Analysis of paraffin-embedded mouse testis tissue using anti-Cyclin H antibody. Counter stained with hematoxylin.
Flow Cytometry: Cyclin H Antibody (SN20-48) [NBP2-67719] - Analysis of Hela cells with Cyclin H antibody at 1/50 dilution (red) compared with an unlabelled control (cells without incubation with primary antibody; ...read more
Immunocytochemistry/ Immunofluorescence: Cyclin H Antibody (SN20-48) [NBP2-67719] - Staining Cyclin H in Hela cells (green). The nuclear counter stain is DAPI (blue). Cells were fixed in paraformaldehyde, permeabilised ...read more
Immunocytochemistry/ Immunofluorescence: Cyclin H Antibody (SN20-48) [NBP2-67719] - Staining Cyclin H in MCF-7 cells (green). The nuclear counter stain is DAPI (blue). Cells were fixed in paraformaldehyde, permeabilised ...read more
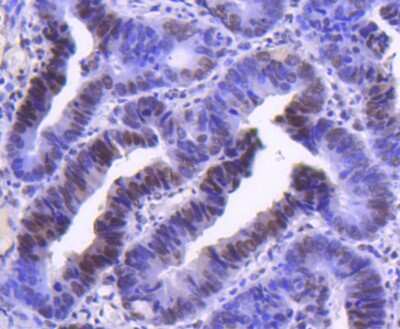
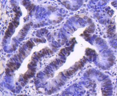
Immunohistochemistry-Paraffin: Cyclin H Antibody (SN20-48) [NBP2-67719] - Analysis of paraffin-embedded human colon cancer tissue using anti-Cyclin H antibody. Counter stained with hematoxylin.

Product Details

Summary
Product Discontinued
View other related Cyclin H Primary Antibodies

Order Details


    • Catalog Number
      NBP2-67719
    • Availability
      Product Discontinued

    Can't find what you are looking for? Use our Antibody Concierge Service & we will help you locate your antibody!

    Or feel free to contact us for alternative products.

Cyclin H Antibody (SN20-48) Summary

Additional Information
Recombinant Monoclonal Antibody.
Immunogen
Recombinant protein within Human Cyclin H aa 230-323 / 323. (SwissProt: P51946 Human; SwissProt: Q61458 Mouse)
Localization
Nucleus.
Isotype
IgG
Clonality
Monoclonal
Host
Rabbit
Gene
CCNH
Purity
Protein A purified
Innovator's Reward
Test in a species/application not listed above to receive a full credit towards a future purchase.

Applications/Dilutions

Dilutions
  • Flow Cytometry 1:50-1:100
  • Immunocytochemistry/ Immunofluorescence 1:100-1:500
  • Immunohistochemistry
  • Immunohistochemistry-Paraffin 1:50-1:200
  • Immunoprecipitation
  • Western Blot 1:1000-1:5000

Packaging, Storage & Formulations

Storage
Store at 4C short term. Aliquot and store at -20C long term. Avoid freeze-thaw cycles.
Buffer
TBS (pH7.4), 0.05% BSA, 40% Glycerol
Preservative
0.05% Sodium Azide
Concentration
1 mg/ml
Purity
Protein A purified

Alternate Names for Cyclin H Antibody (SN20-48)

  • CAK
  • cyclin H
  • cyclin-dependent kinase-activating kinase complex subunit
  • cyclin-H
  • MO15-associated protein
  • p34CAK complex subunit
  • p37CDK-activating kinase complex subunit

Limitations

This product is for research use only and is not approved for use in humans or in clinical diagnosis. Primary Antibodies are guaranteed for 1 year from date of receipt.

Customers Who Viewed This Item Also Viewed...

NBP1-85729
Species: Hu, Mu, Rt
Applications: ICC/IF, IHC,  IHC-P, WB
NBP2-33466
Species: Hu
Applications: ICC/IF, IHC,  IHC-P, WB
NB100-581
Species: Hu, Mu, Rt
Applications: ICC, IHC, IP, WB
NBP2-00776
Species: Ca, Hu, Pm, Mu, Rt
Applications: Flow, ICC/IF, IHC,  IHC-P, WB
NB100-61060
Species: Hu, Mu, Rb, V-Vi
Applications: ChIP, IP, WB
H00002965-M01
Species: Hu
Applications: ELISA, ICC/IF, IHC,  IHC-P, KD, S-ELISA, WB
NBP2-29463
Species: Pm, Hu, Pm, Mu
Applications: Flow, ICC/IF, IHC,  IHC-P, WB
NBP3-07348
Species: Hu
Applications: Flow, ICC/IF, PA
H00002968-B01P
Species: Hu
Applications: ICC/IF, WB
NBP3-06477
Species: Hu
Applications: ICC/IF, IP, WB
NBP3-46159
Species: Hu, Mu, Rt
Applications: ELISA, IHC
NBP2-87539
Species: Hu
Applications: IHC,  IHC-P, WB
AF1230
Species: Hu, Mu, Rt
Applications: IHC, KO, WB
AF5588
Species: Hu, Mu
Applications: IHC, WB
AF6000
Species: Hu, Mu
Applications: IHC, Simple Western, WB
NB500-106
Species: Ch, Dr, Fi, Hu, Mar, Mu, Po, Pm, Rb, Rt, Ye, Ze
Applications: ChIP, ChIP, ELISA, Flow, ICC/IF, IHC-FrFl, IHC, IHC-Fr,  IHC-P, IP, Simple Western, WB
NBP1-31308
Species: Bv, Hu, Mu, Rt
Applications: ICC/IF, IHC,  IHC-P, Simple Western, WB
NB200-106
Species: Mu, Rt
Applications: ELISA, ICC/IF, IHC, IHC-Fr,  IHC-P, WB
NBP2-46085
Species: Hu
Applications: IHC,  IHC-P, WB
NBP2-67719
Species: Hu, Mu
Applications: WB, Flow, ICC/IF, IHC, IP

Publications for Cyclin H Antibody (NBP2-67719) (0)

There are no publications for Cyclin H Antibody (NBP2-67719).
By submitting your publication information earn gift cards and discounts for future purchases.

Reviews for Cyclin H Antibody (NBP2-67719) (0)

There are no reviews for Cyclin H Antibody (NBP2-67719). By submitting a review you will receive an Amazon e-Gift Card or Novus Product Discount.
  • Review with no image -- $10/€7/£6/$10 CAD/¥70 Yuan/¥1110 Yen
  • Review with an image -- $25/€18/£15/$25 CAD/¥150 Yuan/¥2500 Yen

Product General Protocols

Video Protocols

WB Video Protocol
ICC/IF Video Protocol

FAQs for Cyclin H Antibody (NBP2-67719) (0)

There are no specific FAQs related to this product. Read our general customer & technical service FAQs.

Secondary Antibodies

 

Isotype Controls

Additional Cyclin H Products

Research Areas for Cyclin H Antibody (NBP2-67719)

Find related products by research area.

Blogs on Cyclin H

There are no specific blogs for Cyclin H, but you can read our latest blog posts.

Contact Information

Product PDFs

Calculators

Concentration Calculator

The concentration calculator allows you to quickly calculate the volume, mass or concentration of your vial. Simply enter your mass, volume, or concentration values for your reagent and the calculator will determine the rest.

=
÷

Review this Product

Be the first to review our Cyclin H Antibody (SN20-48) and receive a gift card or discount.

Bioinformatics

Gene Symbol CCNH