CTRP6 Antibody

Images

 
Western Blot: CTRP6 Antibody [NBP1-03121] - Mouse brain cell lysate with CTRP6 antibody at (A) 0.5, (B) 1 and (C) 2 ug/ml.
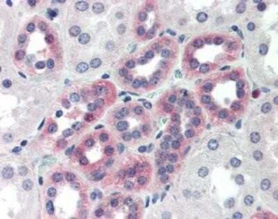
Immunohistochemistry-Paraffin: CTRP6 Antibody [NBP1-03121] - Staining of human kidney tissue after heat-induced antigen retrieval. Antibody concentration 10 ug/ml.
Immunofluorescence: CTRP6 Antibody [NBP1-03121] - Human Brain cells with CTRP6 antibody at 20 ug/ml.

Product Details

Summary
Product Discontinued
View other related CTRP6 Primary Antibodies

Order Details


    • Catalog Number
      NBP1-03121
    • Availability
      Product Discontinued

    Can't find what you are looking for? Use our Antibody Concierge Service & we will help you locate your antibody!

    Or feel free to contact us for alternative products.

CTRP6 Antibody Summary

Immunogen
A 15 amino acid synthetic peptide near the center of human CTRP6. The immunogen is located within amino acids 80 - 130 of CTRP6.
Epitope
Near the center
Isotype
IgG
Clonality
Polyclonal
Host
Rabbit
Gene
C1QTNF6
Purity
Peptide affinity purified
Innovator's Reward
Test in a species/application not listed above to receive a full credit towards a future purchase.

Applications/Dilutions

Dilutions
  • ELISA
  • Immunocytochemistry/ Immunofluorescence
  • Immunohistochemistry 10 ug/ml
  • Immunohistochemistry-Paraffin 10 ug/ml
  • Western Blot 1 ug/ml

Packaging, Storage & Formulations

Storage
Store at 4C short term. Aliquot and store at -20C long term. Avoid freeze-thaw cycles.
Buffer
PBS
Preservative
0.02% Sodium Azide
Concentration
1.0 mg/ml
Purity
Peptide affinity purified

Alternate Names for CTRP6 Antibody

  • C1q and tumor necrosis factor related protein 6
  • C1qTNF6
  • complement C1q tumor necrosis factor-related protein 6
  • complement-c1q tumor necrosis factor-related protein 6
  • CTRP6
  • CTRP6ZACRP6
  • ZACRP6

Limitations

This product is for research use only and is not approved for use in humans or in clinical diagnosis. Primary Antibodies are guaranteed for 1 year from date of receipt.

Customers Who Viewed This Item Also Viewed...

AF3145
Species: Hu
Applications: WB
DRP300
Species: Hu
Applications: ELISA
MAB3167
Species: Hu
Applications: CyTOF-ready, IHC, ICFlow, WB
NBP2-67232
Species: Hu, Mu
Applications: ICC/IF, IHC,  IHC-P, WB
NBP2-22203
Species: Hu, Pm, Mu, Rt
Applications: ELISA, Flow, ICC/IF, IHC,  IHC-P, WB
MAB1417
Species: Bv, Hu, Mu
Applications: ICC, IHC
AF3428
Species: Hu
Applications: ICC, Simple Western, WB
NBP2-22106
Species: Hu, Mu, Rt
Applications: IHC,  IHC-P, IP, WB
AF887
Species: Hu, Mu, Rt
Applications: CyTOF-ready, IHC, ICFlow, Simple Western, WB
NBP1-87492
Species: Hu
Applications: IHC,  IHC-P, WB
NB200-540
Species: Ec, Mu
Applications: CyTOF-ready, Flow-IC, Flow, IA, ICC/IF, IHC, IHC-Fr,  IHC-P, IP
DY417
Species: Mu
Applications: ELISA
NBP2-34167
Species: Hu
Applications: IHC,  IHC-P
NBP1-88826
Species: Hu
Applications: IHC,  IHC-P, WB
NBP1-90214
Species: Hu
Applications: ICC/IF, IHC,  IHC-P, WB
H00005706-M02
Species: Hu, Mu, Rt
Applications: ELISA, ICC/IF, KD, WB
NBP3-23662
Species: Hu
Applications: Flow, ICC/IF,  IHC-P
AF2067
Species: Ca, Hu, Po
Applications: CyTOF-ready, Flow, ICC, IHC, WB
NBP1-31165
Species: Hu
Applications: IHC,  IHC-P, WB
AF594
Species: Mu
Applications: ELISA(Cap), ELISA(Det), ELISA(Sta), ICC, Neut, WB

Publications for CTRP6 Antibody (NBP1-03121) (0)

There are no publications for CTRP6 Antibody (NBP1-03121).
By submitting your publication information earn gift cards and discounts for future purchases.

Reviews for CTRP6 Antibody (NBP1-03121) (0)

There are no reviews for CTRP6 Antibody (NBP1-03121). By submitting a review you will receive an Amazon e-Gift Card or Novus Product Discount.
  • Review with no image -- $10/€7/£6/$10 CAD/¥70 Yuan/¥1110 Yen
  • Review with an image -- $25/€18/£15/$25 CAD/¥150 Yuan/¥2500 Yen

Product General Protocols

Find general support by application which include: protocols, troubleshooting, illustrated assays, videos and webinars.

Video Protocols

WB Video Protocol
ICC/IF Video Protocol

FAQs for CTRP6 Antibody (NBP1-03121) (0)

There are no specific FAQs related to this product. Read our general customer & technical service FAQs.

Secondary Antibodies

 

Isotype Controls

Additional CTRP6 Products

Research Areas for CTRP6 Antibody (NBP1-03121)

Find related products by research area.

Blogs on CTRP6

There are no specific blogs for CTRP6, but you can read our latest blog posts.

Contact Information

Product PDFs

Calculators

Concentration Calculator

The concentration calculator allows you to quickly calculate the volume, mass or concentration of your vial. Simply enter your mass, volume, or concentration values for your reagent and the calculator will determine the rest.

=
÷

Review this Product

Be the first to review our CTRP6 Antibody and receive a gift card or discount.

Bioinformatics

Gene Symbol C1QTNF6
Entrez
Uniprot