Crk Antibody (3G11C1)

Images

 
Western Blot: Crk Antibody (3G11C1) [NBP2-37569] - Western blot analysis using CRK mAb against HEK293 (1) and CRK(AA: 1-204)-hIgGFc transfected HEK293 (2) cell lysate.
Immunocytochemistry/ Immunofluorescence: Crk Antibody (3G11C1) [NBP2-37569] - Immunofluorescence analysis of 3T3-L1 cells using CRK mouse mAb (green). Blue: DRAQ5 fluorescent DNA dye. Red: Actin filaments have been ...read more
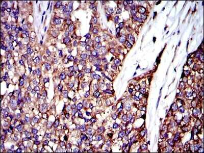
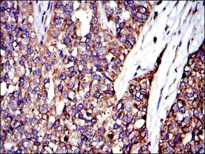
Immunohistochemistry: Crk Antibody (3G11C1) [NBP2-37569] - Immunohistochemical analysis of paraffin-embedded bladder cancer tissues using CRK mouse mAb with DAB staining.
Flow Cytometry: Crk Antibody (3G11C1) [NBP2-37569] - Flow cytometric analysis of MCF-7 cells using CRK mouse mAb (blue) and negative control (red).
Western Blot: Crk Antibody (3G11C1) [NBP2-37569] - Western blot analysis using CRK mAb against human CRK (AA: 1-204) recombinant protein. (Expected MW is 48.4 kDa)
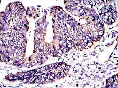
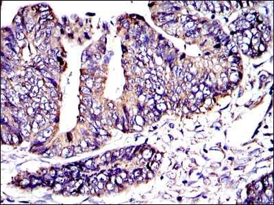
Immunohistochemistry: Crk Antibody (3G11C1) [NBP2-37569] - Immunohistochemical analysis of paraffin-embedded rectum cancer tissues using CRK mouse mAb with DAB staining.
ELISA: Crk Antibody (3G11C1) [NBP2-37569] - Red: Control Antigen (100ng); Purple: Antigen (10ng); Green: Antigen (50ng); Blue: Antigen (100ng);

Product Details

Summary
Product Discontinued
View other related Crk Primary Antibodies

Order Details


    • Catalog Number
      NBP2-37569
    • Availability
      Product Discontinued

    Can't find what you are looking for? Use our Antibody Concierge Service & we will help you locate your antibody!

    Or feel free to contact us for alternative products.

Crk Antibody (3G11C1) Summary

Immunogen
Purified recombinant fragment of human CRK expressed in E. Coli.
Isotype
IgG2b
Clonality
Monoclonal
Host
Mouse
Gene
CRK
Purity
Unpurified
Innovator's Reward
Test in a species/application not listed above to receive a full credit towards a future purchase.

Applications/Dilutions

Dilutions
  • ELISA 1:10000
  • Flow Cytometry 1:200 - 1:400
  • Immunocytochemistry/ Immunofluorescence 1:200 - 1:1000
  • Immunohistochemistry 1:200 - 1:1000
  • Immunohistochemistry-Paraffin 1:200 - 1:1000
  • Western Blot 1:500 - 1:2000
Theoretical MW
42 kDa.
Disclaimer note: The observed molecular weight of the protein may vary from the listed predicted molecular weight due to post translational modifications, post translation cleavages, relative charges, and other experimental factors.

Packaging, Storage & Formulations

Storage
Store at 4C short term. Aliquot and store at -20C long term. Avoid freeze-thaw cycles.
Buffer
Ascites
Preservative
0.03% Sodium Azide
Purity
Unpurified

Alternate Names for Crk Antibody (3G11C1)

  • adapter molecule crk
  • avian sarcoma virus CT10 (v-crk) oncogene homolog
  • Crk
  • CRKII
  • p38
  • Proto-oncogene c-Crk
  • v-crk avian sarcoma virus CT10 oncogene homolog
  • v-crk sarcoma virus CT10 oncogene homolog (avian)

Limitations

This product is for research use only and is not approved for use in humans or in clinical diagnosis. Primary Antibodies are guaranteed for 1 year from date of receipt.

Customers Who Viewed This Item Also Viewed...

NBP1-48284
Species: Hu, Mu, Rt
Applications: ICC/IF, IHC,  IHC-P, WB
AF1230
Species: Hu, Mu, Rt
Applications: IHC, KO, WB
DYC1825-2
Species: Hu, Mu, Rt
Applications: ELISA
AF467
Species: Hu, Mu
Applications: CyTOF-ready, Flow, ICC, IHC, Simple Western, WB
NBP2-67471
Species: Hu, Mu, Rt
Applications: ICC/IF, IHC,  IHC-P, WB
NBP2-13304
Species: Hu
Applications: ICC/IF, IHC,  IHC-P, WB
AF887
Species: Hu, Mu, Rt
Applications: CyTOF-ready, IHC, ICFlow, Simple Western, WB
NB100-56583
Species: Hu, Rb, Rt
Applications: Flow, IHC,  IHC-P, KO, Simple Western, WB
M6000B
Species: Mu
Applications: ELISA
AF1347
Species: Hu, Mu, Rt
Applications: ICC, IHC, Simple Western, WB
NBP2-50037
Species: Hu, Mu, Rt
Applications: ICC/IF, IHC, KO, WB
NBP2-72710
Species: Ca, Hu, Mu, Rt
Applications: CyTOF-ready, Flow, ICC/IF, IHC,  IHC-P, IP, WB
H00005706-M02
Species: Hu, Mu, Rt
Applications: ELISA, ICC/IF, KD, WB
AF8691
Species: Hu, Mu, Rt
Applications: IHC, KO, Simple Western, WB
AF2214
Species: Hu
Applications: ICC, IHC, WB
NBP3-16602
Species: Hu, Mu, Rt
Applications: IHC,  IHC-P, IP, WB
NBP1-89544
Species: Hu
Applications: ChIP-EXO-SEQ, ICC/IF, IHC,  IHC-P, WB
MAB1846
Species: Hu, Mu, Rt
Applications: ICC, KO, WB
NBP2-37569
Species: Hu
Applications: WB, ELISA, Flow, ICC/IF, IHC

Publications for Crk Antibody (NBP2-37569) (0)

There are no publications for Crk Antibody (NBP2-37569).
By submitting your publication information earn gift cards and discounts for future purchases.

Reviews for Crk Antibody (NBP2-37569) (0)

There are no reviews for Crk Antibody (NBP2-37569). By submitting a review you will receive an Amazon e-Gift Card or Novus Product Discount.
  • Review with no image -- $10/€7/£6/$10 CAD/¥70 Yuan/¥1110 Yen
  • Review with an image -- $25/€18/£15/$25 CAD/¥150 Yuan/¥2500 Yen

Product General Protocols

Find general support by application which include: protocols, troubleshooting, illustrated assays, videos and webinars.

Video Protocols

WB Video Protocol
ICC/IF Video Protocol

FAQs for Crk Antibody (NBP2-37569) (0)

There are no specific FAQs related to this product. Read our general customer & technical service FAQs.

Secondary Antibodies

 

Isotype Controls

Additional Crk Products

Research Areas for Crk Antibody (NBP2-37569)

Find related products by research area.

Blogs on Crk

There are no specific blogs for Crk, but you can read our latest blog posts.

Contact Information

Product PDFs

Calculators

Concentration Calculator

The concentration calculator allows you to quickly calculate the volume, mass or concentration of your vial. Simply enter your mass, volume, or concentration values for your reagent and the calculator will determine the rest.

=
÷

Review this Product

Be the first to review our Crk Antibody (3G11C1) and receive a gift card or discount.

Bioinformatics

Gene Symbol CRK