CREB Antibody (SA04-04)

Images

 
Western Blot: CREB Antibody (SA04-04) [NBP2-67274] - Western blot analysis of CREB on zebrafish tissue lysates. Proteins were transferred to a PVDF membrane and blocked with 5% BSA in PBS for 1 hour at room temperature. ...read more
Immunocytochemistry/ Immunofluorescence: CREB Antibody (SA04-04) [NBP2-67274] - Staining CREB in Hela cells (green). The nuclear counter stain is DAPI (blue). Cells were fixed in paraformaldehyde, permeabilised with ...read more
Immunohistochemistry-Paraffin: CREB Antibody (SA04-04) [NBP2-67274] - Immunohistochemical analysis of paraffin-embedded mouse colon tissue using anti-CREB antibody. The section was pre-treated using heat mediated ...read more
Flow Cytometry: CREB Antibody (SA04-04) [NBP2-67274] - Analysis of Hela cells with CREB antibody at 1/50 dilution (blue) compared with an unlabelled control (cells without incubation with primary antibody; red). Alexa ...read more
Western Blot: CREB Antibody (SA04-04) [NBP2-67274] - Analysis of CREB on different cell lysates using anti-CREB antibody at 1/1,000 dilution. Positive control: Lane 1: Hela Lane 2: HepG2 Lane 3: Jurkat Lane 4: ...read more
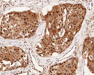
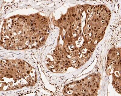
Immunohistochemistry-Paraffin: CREB Antibody (SA04-04) [NBP2-67274] - Analysis of paraffin-embedded human breast carcinoma tissue using anti-CREB antibody. Counter stained with hematoxylin.
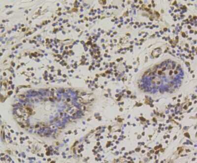
Immunohistochemistry-Paraffin: CREB Antibody (SA04-04) [NBP2-67274] - Analysis of paraffin-embedded human lung cancer tissue using anti-CREB antibody. Counter stained with hematoxylin.
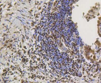
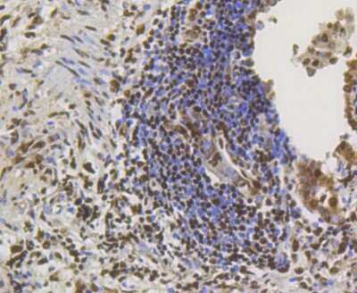
Immunohistochemistry-Paraffin: CREB Antibody (SA04-04) [NBP2-67274] - Analysis of paraffin-embedded human tonsil tissue using anti-CREB antibody. Counter stained with hematoxylin.
Immunohistochemistry-Paraffin: CREB Antibody (SA04-04) [NBP2-67274] - Analysis of paraffin-embedded mouse brain tissue using anti-CREB antibody. Counter stained with hematoxylin.
Immunohistochemistry-Paraffin: CREB Antibody (SA04-04) [NBP2-67274] - Immunohistochemical analysis of paraffin-embedded human breast carcinoma tissue using anti-CREB antibody. The section was pre-treated using heat ...read more
Immunohistochemistry-Paraffin: CREB Antibody (SA04-04) [NBP2-67274] - Immunohistochemical analysis of paraffin-embedded human lung carcinoma tissue using anti-CREB antibody. The section was pre-treated using heat ...read more
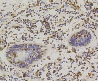
Immunohistochemistry-Paraffin: CREB Antibody (SA04-04) [NBP2-67274] - Immunohistochemical analysis of paraffin-embedded human pancreas tissue using anti-CREB antibody. The section was pre-treated using heat mediated ...read more
Immunohistochemistry-Paraffin: CREB Antibody (SA04-04) [NBP2-67274] - Immunohistochemical analysis of paraffin-embedded human thyroid tissue using anti-CREB antibody. The section was pre-treated using heat mediated ...read more
Immunohistochemistry-Paraffin: CREB Antibody (SA04-04) [NBP2-67274] - Immunohistochemical analysis of paraffin-embedded human tonsil tissue using anti-CREB antibody. The section was pre-treated using heat mediated ...read more

Product Details

Summary
Product Discontinued
View other related CREB Primary Antibodies

Order Details


    • Catalog Number
      NBP2-67274
    • Availability
      Product Discontinued

    Can't find what you are looking for? Use our Antibody Concierge Service & we will help you locate your antibody!

    Or feel free to contact us for alternative products.

CREB Antibody (SA04-04) Summary

Additional Information
Recombinant Monoclonal Antibody.
Immunogen
Synthetic peptide within human CREB aa 250-290. (SwissProt: P16220 Human; SwissProt: Q01147 Mouse; SwissProt: P15337 Rat)
Localization
Nucleus
Isotype
IgG
Clonality
Monoclonal
Host
Rabbit
Gene
CREB1
Purity
Protein A purified
Innovator's Reward
Test in a species/application not listed above to receive a full credit towards a future purchase.

Applications/Dilutions

Dilutions
  • Flow Cytometry 1:50-1:100
  • Immunocytochemistry/ Immunofluorescence 1:50-1:200
  • Immunohistochemistry
  • Immunohistochemistry-Paraffin 1:50-1:500
  • Immunoprecipitation
  • Western Blot 1:500-1:5000
Application Notes
IP-assay-dependent

Packaging, Storage & Formulations

Storage
Store at 4C short term. Aliquot and store at -20C long term. Avoid freeze-thaw cycles.
Buffer
TBS (pH7.4), 0.05% BSA, 40% Glycerol
Preservative
0.05% Sodium Azide
Concentration
1 mg/ml
Purity
Protein A purified

Alternate Names for CREB Antibody (SA04-04)

  • active transcription factor CREB
  • cAMP responsive element binding protein 1
  • cAMP-response element-binding protein-1
  • cAMP-responsive element-binding protein 1
  • CREB
  • CREB1
  • CREB-1
  • cyclic AMP-responsive element-binding protein 1
  • MGC9284
  • transactivator protein

Background

CREB (cAMP responsive element binding protein 1) stimulates transcription. CREB is involved in learning and memory. This protein is known to have interactions with HIST1H3B, HIST1h3A, HIST1H3C, HIST1H3D and HIST1H3E. CREB has been studied in relation to several diseases and disorders including Rubinstein-Taybi syndrome, Alzheimer's disease, leukemia and brain disease.

Limitations

This product is for research use only and is not approved for use in humans or in clinical diagnosis. Primary Antibodies are guaranteed for 1 year from date of receipt.

Customers Who Viewed This Item Also Viewed...

NBP2-67471
Species: Hu, Mu, Rt
Applications: ICC/IF, IHC,  IHC-P, WB
NBP2-50037
Species: Hu, Mu, Rt
Applications: ICC/IF, IHC, KO, WB
AF1230
Species: Hu, Mu, Rt
Applications: IHC, KO, WB
DYC1825-2
Species: Hu, Mu, Rt
Applications: ELISA
NB100-381
Species: Hu
Applications: ChIP, IP, WB
DBD00
Species: Hu
Applications: ELISA
212-GD
Species: Hu
Applications: Bind, BA
AF467
Species: Hu, Mu
Applications: CyTOF-ready, Flow, ICC, IHC, Simple Western, WB
AF2214
Species: Hu
Applications: ICC, IHC, WB
NBP3-16602
Species: Hu, Mu, Rt
Applications: IHC,  IHC-P, IP, WB
NBP1-89544
Species: Hu
Applications: ChIP-EXO-SEQ, ICC/IF, IHC,  IHC-P, WB
AF887
Species: Hu, Mu, Rt
Applications: CyTOF-ready, IHC, ICFlow, Simple Western, WB
NB100-56583
Species: Hu, Rb, Rt
Applications: Flow, IHC,  IHC-P, KO, Simple Western, WB
1310-SE
Species: Hu
Applications: EnzAct
NB500-487
Species: Bv, Hu, Mu, Rt
Applications: IHC,  IHC-P, IP, WB
MAB3228
Species: Hu, Mu, Rt
Applications: ICC, KO, WB
NBP1-76729
Species: Hu
Applications: ELISA, ICC/IF, WB
NBP3-09392
Species: Hu, Mu
Applications: WB

Publications for CREB Antibody (NBP2-67274) (0)

There are no publications for CREB Antibody (NBP2-67274).
By submitting your publication information earn gift cards and discounts for future purchases.

Reviews for CREB Antibody (NBP2-67274) (0)

There are no reviews for CREB Antibody (NBP2-67274). By submitting a review you will receive an Amazon e-Gift Card or Novus Product Discount.
  • Review with no image -- $10/€7/£6/$10 CAD/¥70 Yuan/¥1110 Yen
  • Review with an image -- $25/€18/£15/$25 CAD/¥150 Yuan/¥2500 Yen

Product General Protocols

Video Protocols

WB Video Protocol
ICC/IF Video Protocol

FAQs for CREB Antibody (NBP2-67274). (Showing 1 - 1 of 1 FAQ).

  1. May I know which creb1 antibody is good for ChIP? I found a paper using your rabbit polyclonal creb1 antibody for ChIP but they didn't indicate the catalog number.
    • We are not aware of any of our Creb1 antibodies being used in ChIP at this time. If you can provide us with the PMID of the paper you are referring to I can contact the author. Otherwise, you can use our Innovators Reward Program to try an antibody in a novel species and application.

Secondary Antibodies

 

Isotype Controls

Additional CREB Products

Research Areas for CREB Antibody (NBP2-67274)

Find related products by research area.

Blogs on CREB.

Detecting HIF alpha and beyond: Best controls for hypoxia Western blot analysis
By Rosa Moreno, PhD. Detecting HIF alpha and beyond: Best controls for hypoxia Western blot analysisPhysiological low levels of oxygen induce normal hypoxic events across biological systems. This hypoxic state activ...  Read full blog post.

Exploring the Many Roles of PGC-1 alpha
The peroxisome proliferator-activated receptor gamma, co-activator 1 (PGC-1 alpha or PPARGC1A) gene encodes a 91 kDa nuclear protein that acts as a transcriptional co-activator involved in energy metabolism. Interaction with PPAR gamma allows it to in...  Read full blog post.

Contact Information

Product PDFs

Calculators

Concentration Calculator

The concentration calculator allows you to quickly calculate the volume, mass or concentration of your vial. Simply enter your mass, volume, or concentration values for your reagent and the calculator will determine the rest.

=
÷

Review this Product

Be the first to review our CREB Antibody (SA04-04) and receive a gift card or discount.

Bioinformatics

Gene Symbol CREB1