CPS1 Antibody (CPS1/8416) - Azide and BSA Free

Images

 
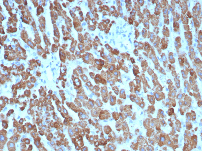
Formalin-fixed, paraffin-embedded human hepatocellular carcinoma stained with CPS1 antibody (CPS1/8416). HIER: Tris/EDTA, pH9.0, 45min. Secondary: HRP-polymer, 30min. DAB, 5min.

Product Details

Summary
Reactivity Hu, CaSpecies Glossary
Applications IHC
Clone
CPS1/8416
Clonality
Monoclonal
Host
Mouse
Conjugate
Unconjugated
Format
Azide and BSA Free
Concentration
1 mg/ml

Order Details

CPS1 Antibody (CPS1/8416) - Azide and BSA Free Summary

Description
Positive Controls: HeLa cells. Liver or Hepatocellular Carcinoma (HCC).

Antibody with azide - store at 2 to 8C. Antibody without azide - store at -20 to -80C. Non-hazardous. No MSDS required.
Immunogen
Recombinant human CPS1 protein
Localization
Finely granular cytoplasmic
Isotype
IgG1 Kappa
Clonality
Monoclonal
Host
Mouse
Gene
CPS1
Purity
Protein A or G purified
Innovator's Reward
Test in a species/application not listed above to receive a full credit towards a future purchase.

Applications/Dilutions

Dilutions
  • Immunohistochemistry-Paraffin 1-2 ug/ml
Application Notes
Immunohistochemistry (Formalin-fixed): 1-2ug/ml for 30 minutes. at RT. Staining of formalin-fixed tissues requires heating tissue sections in 10mM Tris with 1mM EDTA, pH 9.0, for 45 min at 95C followed by cooling at RT for 20 minutes.

Optimal dilution for a specific application should be determined.

Packaging, Storage & Formulations

Storage
Store at -20 to -70C. Avoid freeze-thaw cycles.
Buffer
10mM PBS
Preservative
No Preservative
Concentration
1 mg/ml
Purity
Protein A or G purified

Alternate Names for CPS1 Antibody (CPS1/8416) - Azide and BSA Free

  • carbamoyl-phosphate synthase [ammonia], mitochondrial
  • carbamoyl-phosphate synthase 1, mitochondrial
  • carbamoyl-phosphate synthetase 1, mitochondrial
  • carbamoylphosphate synthetase I
  • Carbamoyl-phosphate synthetase I
  • CPSase I
  • CPSASE1
  • EC 6.3.4.16

Background

The protein encoded by the CPS1 gene is an enzyme that catalyzes the first committed step of the hepatic urea cycle, which is important in the removal of excess urea from cells. There are two isozymes of this enzyme, and the encoded protein is the mitochondrial form. Three transcript variants encoding different isoforms have been found for this gene. The shortest isoform may not be localized to the mitochondrion.

Limitations

This product is for research use only and is not approved for use in humans or in clinical diagnosis. Primary Antibodies are guaranteed for 1 year from date of receipt.

Customers Who Viewed This Item Also Viewed...

NBP1-87408
Species: Hu, Mu
Applications: ICC/IF, IHC,  IHC-P, Simple Western, WB
NB110-41404
Species: Bv, Hu, Mu, Rt
Applications: ICC/IF, IHC, WB
NBP3-46949
Species: Hu, Mu, Rt
Applications: ELISA, ICC/IF, IHC, WB
NBP1-00153
Species: Bv, Hu, Rt
Applications: Flow, ICC/IF, IHC,  IHC-P, PEP-ELISA, WB
NB100-91662
Species: Hu, Mu, Rt
Applications: Flow, ICC/IF, IHC,  IHC-P, Simple Western, WB
MAB1368
Species: Hu, Mu
Applications: CyTOF-ready, ICC, ICFlow, KO, Simple Western, WB
AF2400
Species: Hu
Applications: ChIP, ICC, IHC, WB
MAB1455
Species: Hu
Applications: CyTOF-ready, Dual ISH-IHC, ICC, IHC, ICFlow, Simple Western, WB
NBP1-87462
Species: Ca, Hu
Applications: IHC,  IHC-P, WB
H00023327-P01
Species: Hu
Applications: ELISA, AP, PA, WB
AF1049
Species: Hu
Applications: IHC, WB
NBP2-36776
Species: Hu
Applications: ICC/IF, IHC,  IHC-P, KD, WB
H00152503-M01
Species: Hu, Mu
Applications: ELISA, ICC/IF, IHC,  IHC-P, WB
NBP2-45731
Species: Ca, Hu, Pm
Applications: IHC,  IHC-P, WB

Publications for CPS1 Antibody (NBP3-21108) (0)

There are no publications for CPS1 Antibody (NBP3-21108).
By submitting your publication information earn gift cards and discounts for future purchases.

Reviews for CPS1 Antibody (NBP3-21108) (0)

There are no reviews for CPS1 Antibody (NBP3-21108). By submitting a review you will receive an Amazon e-Gift Card or Novus Product Discount.
  • Review with no image -- $10/€7/£6/$10 CAD/¥70 Yuan/¥1110 Yen
  • Review with an image -- $25/€18/£15/$25 CAD/¥150 Yuan/¥2500 Yen

Product General Protocols

Find general support by application which include: protocols, troubleshooting, illustrated assays, videos and webinars.

FAQs for CPS1 Antibody (NBP3-21108) (0)

There are no specific FAQs related to this product. Read our general customer & technical service FAQs.

Secondary Antibodies

 

Isotype Controls

Additional CPS1 Products

Research Areas for CPS1 Antibody (NBP3-21108)

Find related products by research area.

Blogs on CPS1

There are no specific blogs for CPS1, but you can read our latest blog posts.

Customers Who Bought This Also Bought

Contact Information

Product PDFs

Calculators

Concentration Calculator

The concentration calculator allows you to quickly calculate the volume, mass or concentration of your vial. Simply enter your mass, volume, or concentration values for your reagent and the calculator will determine the rest.

=
÷

Review this Product

Be the first to review our CPS1 Antibody (CPS1/8416) - Azide and BSA Free and receive a gift card or discount.

Bioinformatics

Gene Symbol CPS1