CPNE7 Antibody - BSA Free

Images

 
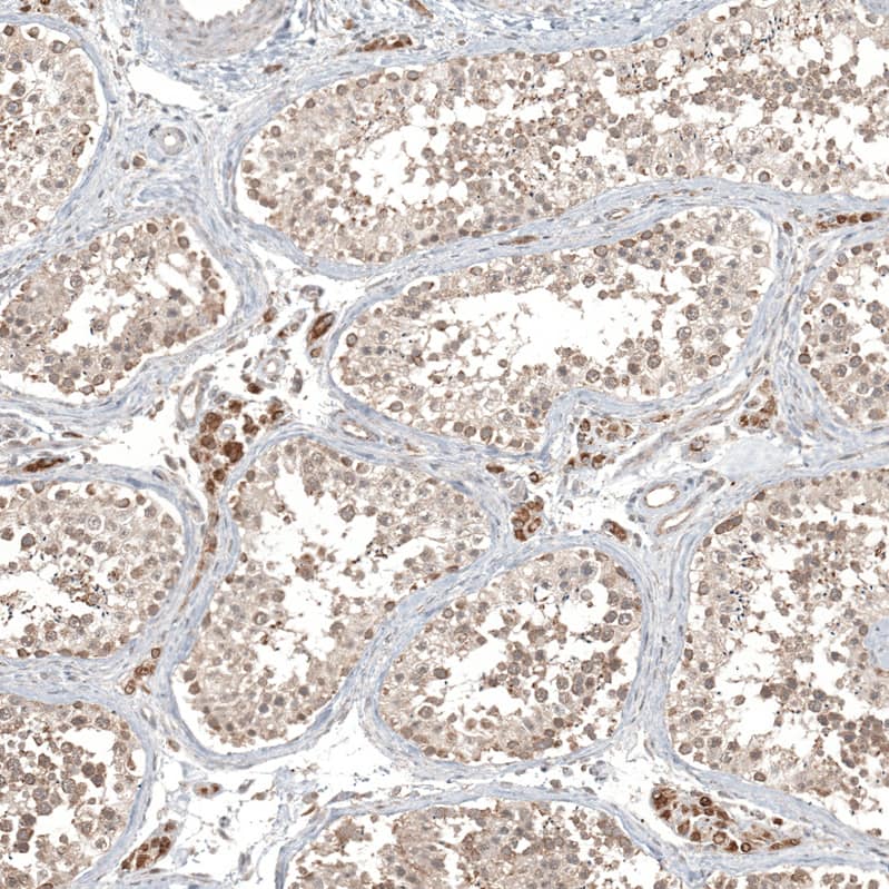
Staining of human testis shows strong cytoplasmic positivity in Leydig cells.
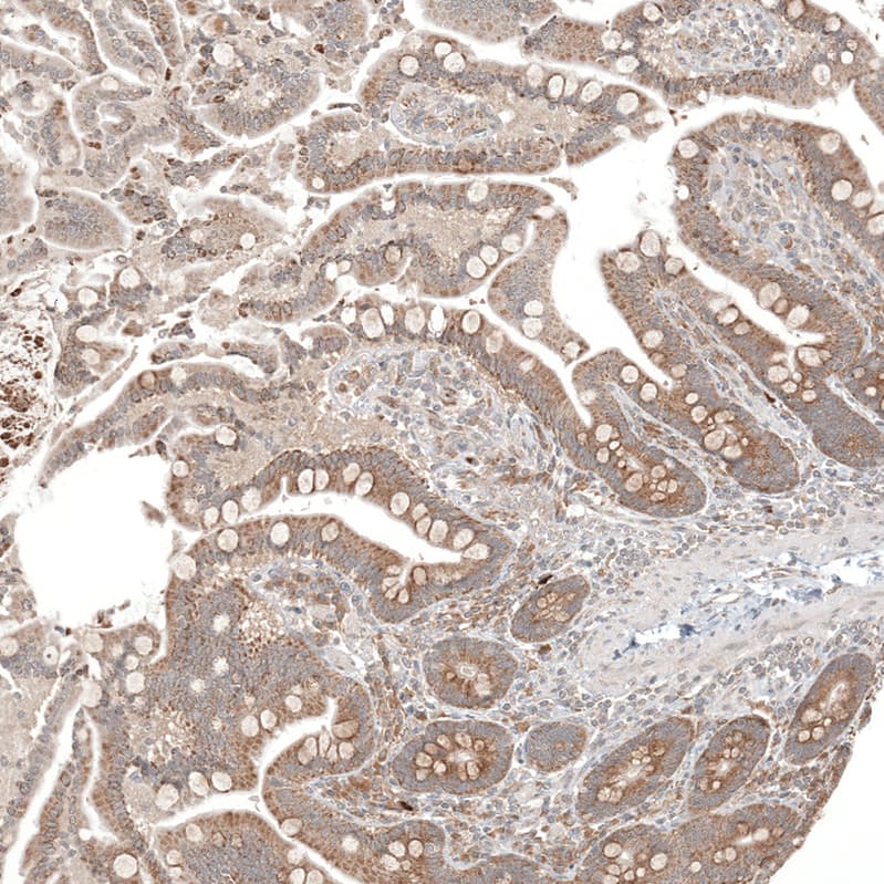
Staining of human small intestine shows strong cytoplasmic positivity in glandular cells.
Staining of human skeletal muscle shows no positivity in myocytes as expected.
Staining of human cerebral cortex shows moderate cytoplasmic positivity in neurons.

Product Details

Summary
Reactivity HuSpecies Glossary
Applications IHC
Clonality
Polyclonal
Host
Rabbit
Conjugate
Unconjugated
Format
BSA Free

Order Details

View Available Formulations
Catalog# & Formulation Size Price

CPNE7 Antibody - BSA Free Summary

Description
Novus Biologicals Rabbit CPNE7 Antibody - BSA Free (NBP1-85827) is a polyclonal antibody validated for use in IHC. All Novus Biologicals antibodies are covered by our 100% guarantee.
Immunogen
This antibody was developed against Recombinant Protein corresponding to amino acids: FSTTFEEMQKAFEEGQAQWDCVNPKYKQKRRSYKNSGVVVLADLKFHRVYSF
Isotype
IgG
Clonality
Polyclonal
Host
Rabbit
Gene
CPNE7
Purity
Immunogen affinity purified
Innovator's Reward
Test in a species/application not listed above to receive a full credit towards a future purchase.

Applications/Dilutions

Dilutions
  • Immunohistochemistry 1:50 - 1:200
  • Immunohistochemistry-Paraffin 1:50 - 1:200
Application Notes
For IHC-Paraffin, HIER pH 6 retrieval is recommended.
Control Peptide
CPNE7 Protein (NBP1-85827PEP)

Reactivity Notes

Immunogen displays the following percentage of sequence identity for non-tested species: Mouse (81%), Rat (83%)

Packaging, Storage & Formulations

Storage
Store at 4C short term. Aliquot and store at -20C long term. Avoid freeze-thaw cycles.
Buffer
PBS (pH 7.2) and 40% Glycerol
Preservative
0.02% Sodium Azide
Purity
Immunogen affinity purified

Alternate Names for CPNE7 Antibody - BSA Free

  • copine 7
  • copine VIIMGC34192
  • copine-7

Limitations

This product is for research use only and is not approved for use in humans or in clinical diagnosis. Primary Antibodies are guaranteed for 1 year from date of receipt.

Customers Who Viewed This Item Also Viewed...

NBP1-85939
Species: Hu
Applications: ICC/IF, IHC,  IHC-P, WB
H00008904-M01
Species: Hu
Applications: ELISA, KD, S-ELISA, WB
NBP1-87521
Species: Hu
Applications: IHC,  IHC-P, WB
NBP2-76559
Species: Hu
Applications: ICC/IF
AF1936
Species: Hu
Applications: IP, WB
NBP2-56601
Species: Hu
Applications: ICC/IF
NBP1-85546
Species: Hu, Mu, Rt
Applications: IHC,  IHC-P, WB
NBP1-87826
Species: Hu, Rt
Applications: ICC/IF, IHC,  IHC-P, Simple Western, WB
NBP1-92581
Species: Hu
Applications: IHC,  IHC-P
NBP2-36776
Species: Hu
Applications: ICC/IF, IHC,  IHC-P, KD, WB
AF1305
Species: Hu
Applications: IHC, Simple Western, WB
NB600-717
Species: Bv
Applications: ELISA, ICC/IF, IHC, IHC-Fr,  IHC-P, RIA, RI, WB
NBP1-85304
Species: Hu
Applications: IHC,  IHC-P, WB
NBP2-29460
Species: Pm, Pm-Cm, Hu, Pm, RM
Applications: Flow, ICC/IF, IHC,  IHC-P, ISH
AF3449
Species: Hu
Applications: CyTOF-ready, ELISA(Cap), ELISA(Det), ELISA(Sta), Flow, WB
NBP1-85827
Species: Hu
Applications: IHC

Publications for CPNE7 Antibody (NBP1-85827) (0)

There are no publications for CPNE7 Antibody (NBP1-85827).
By submitting your publication information earn gift cards and discounts for future purchases.

Reviews for CPNE7 Antibody (NBP1-85827) (0)

There are no reviews for CPNE7 Antibody (NBP1-85827). By submitting a review you will receive an Amazon e-Gift Card or Novus Product Discount.
  • Review with no image -- $10/€7/£6/$10 CAD/¥70 Yuan/¥1110 Yen
  • Review with an image -- $25/€18/£15/$25 CAD/¥150 Yuan/¥2500 Yen

Product General Protocols

Find general support by application which include: protocols, troubleshooting, illustrated assays, videos and webinars.

FAQs for CPNE7 Antibody (NBP1-85827) (0)

There are no specific FAQs related to this product. Read our general customer & technical service FAQs.

Customers Who Bought This Also Bought

Contact Information

Product PDFs

Calculators

Concentration Calculator

The concentration calculator allows you to quickly calculate the volume, mass or concentration of your vial. Simply enter your mass, volume, or concentration values for your reagent and the calculator will determine the rest.

=
÷

Review this Product

Be the first to review our CPNE7 Antibody - BSA Free and receive a gift card or discount.

Bioinformatics

Gene Symbol CPNE7