COL4A3 Antibody (COL4A3/9395R) - Azide and BSA Free

Images

 
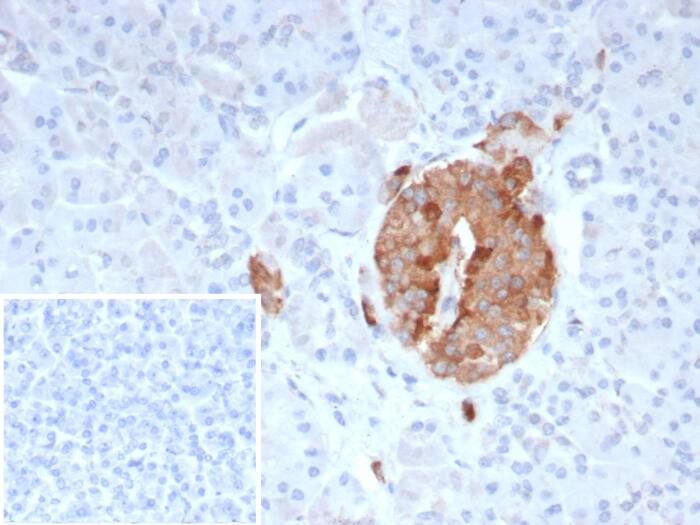
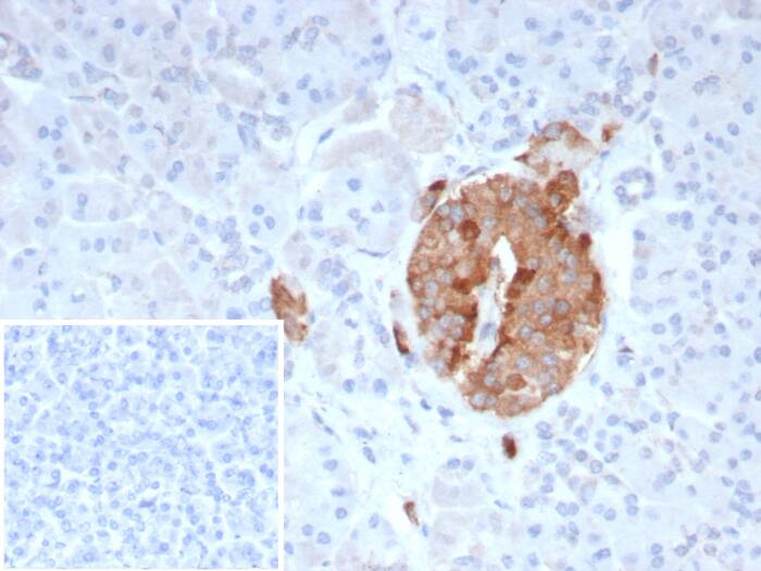
Formalin-fixed, paraffin-embedded human pancreas stained with COL4A3 Antibody (COL4A3/9395R) - Azide and BSA Free. Inset: PBS instead of primary antibody; secondary only negative control.

Product Details

Summary
Reactivity HuSpecies Glossary
Applications IHC
Clone
COL4A3/9395R
Clonality
Monoclonal
Host
Rabbit
Conjugate
Unconjugated
Format
Azide and BSA Free
Concentration
1 mg/ml

Order Details

View Available Formulations
Catalog# & Formulation Size Price

COL4A3 Antibody (COL4A3/9395R) - Azide and BSA Free Summary

Description
1.0 mg/ml of Ab produced in HEK293 cell mammalian-based expression system. Prepared in 10 mM PBS WITHOUT BSA & azide. Also available at 200 ug/ml WITH BSA & azide (NBP3-44590).

Antibody with azide - store at 2 to 8C. Antibody without azide - store at -20 to -80C. Non-hazardous. No MSDS required.
Additional Information
Recombinant Monoclonal Antibody
Immunogen
Recombinant fragment (around aa1400-1670) of human COL4A3 protein (Uniprot: P02462, P08572, P29400, P53420). Exact sequence is proprietary)
Localization
Secreted. Extracellular matrix.
Isotype
IgG Kappa
Clonality
Monoclonal
Host
Rabbit
Gene
COL4A3
Purity
Protein A or G purified
Innovator's Reward
Test in a species/application not listed above to receive a full credit towards a future purchase.

Applications/Dilutions

Dilutions
  • Immunohistochemistry : 1-2ug/ml
Application Notes
Immunohistochemistry: 30 min at RT. Staining of formalin-fixed tissues requires heating tissue sections in 10mM Tris with 1mM EDTA, pH 9.0, for 45 min at 95C followed by cooling at RT for 20 minutes.
Theoretical MW
161 kDa.
Disclaimer note: The observed molecular weight of the protein may vary from the listed predicted molecular weight due to post translational modifications, post translation cleavages, relative charges, and other experimental factors.

Packaging, Storage & Formulations

Storage
Store at -20 to -80C. Avoid freeze-thaw cycles.
Buffer
10 mM PBS
Preservative
No Preservative
Concentration
1 mg/ml
Purity
Protein A or G purified

Alternate Names for COL4A3 Antibody (COL4A3/9395R) - Azide and BSA Free

  • ATS2
  • ATS3
  • collagen alpha-3(IV) chain
  • collagen IV, alpha-3 polypeptide
  • collagen, type IV, alpha 3 (Goodpasture antigen)
  • tumstatin

Limitations

This product is for research use only and is not approved for use in humans or in clinical diagnosis. Primary Antibodies are guaranteed for 1 year from date of receipt.

Customers Who Viewed This Item Also Viewed...

NBP3-43374
Species: Hu
Applications: ELISA
NBP3-41417
Species: Hu, Mu, Po, Rt
Applications: ICC/IF, WB
DVE00
Species: Hu
Applications: ELISA
DNST0
Species: Hu
Applications: ELISA
DTSP10
Species: Hu
Applications: ELISA
NBP3-47563
Species: Hu, Mu, Rt
Applications: ELISA, IHC, WB
NB120-6586
Species: Bv, Fe, Hu, Mu, Rt
Applications: ELISA, ICC/IF, IHC-FrFl, IHC, IHC-Fr,  IHC-P, IP, KO, mIF, Simple Western, SR Microscopy, WB
H00001288-P02
Species: Hu
Applications: ELISA, AP, PA, WB
AF887
Species: Hu, Mu, Rt
Applications: CyTOF-ready, IHC, ICFlow, Simple Western, WB
DMP900
Species: Hu
Applications: ELISA
MAB2528
Species: Hu
Applications: AdBlk, CyTOF-ready, Flow, ICC, IP
NB600-607
Species: Hu, Rt
Applications: ELISA, IHC,  IHC-P, WB
NBP1-91258
Species: Bv, Ca, Eq, Fe, Hu, Mu, Po, Rt
Applications: ICC/IF, IHC, IHC-Fr,  IHC-P, Simple Western, WB
NBP2-67327
Species: Hu, Mu, Rt
Applications: Flow, ICC/IF, IHC,  IHC-P, IP, WB
DANG20
Species: Hu
Applications: ELISA
NBP3-45074
Species: Hu
Applications: IHC

Publications for COL4A3 Antibody (NBP3-45074) (0)

There are no publications for COL4A3 Antibody (NBP3-45074).
By submitting your publication information earn gift cards and discounts for future purchases.

Reviews for COL4A3 Antibody (NBP3-45074) (0)

There are no reviews for COL4A3 Antibody (NBP3-45074). By submitting a review you will receive an Amazon e-Gift Card or Novus Product Discount.
  • Review with no image -- $10/€7/£6/$10 CAD/¥70 Yuan/¥1110 Yen
  • Review with an image -- $25/€18/£15/$25 CAD/¥150 Yuan/¥2500 Yen

FAQs for COL4A3 Antibody (NBP3-45074) (0)

There are no specific FAQs related to this product. Read our general customer & technical service FAQs.

Customers Who Bought This Also Bought

Contact Information

Product PDFs

Calculators

Concentration Calculator

The concentration calculator allows you to quickly calculate the volume, mass or concentration of your vial. Simply enter your mass, volume, or concentration values for your reagent and the calculator will determine the rest.

=
÷

Review this Product

Be the first to review our COL4A3 Antibody (COL4A3/9395R) - Azide and BSA Free and receive a gift card or discount.

Bioinformatics

Gene Symbol COL4A3