COL19A1 Antibody - BSA Free

Images

 
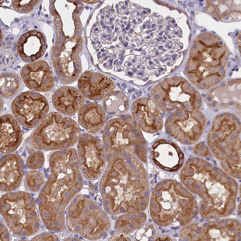
Staining of human kidney shows strong cytoplasmic and membranous positivity in cells in tubules.
Staining of human pancreas shows strong cytoplasmic positivity in exocrine glandular cells.
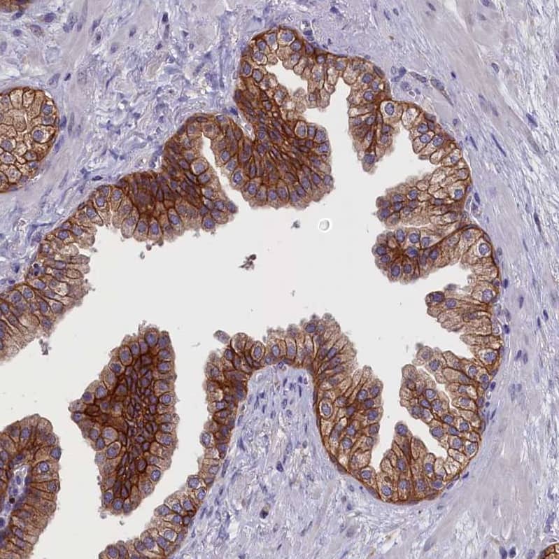
Staining of human prostate shows strong cytoplasmic and membranous positivity in glandular cells.
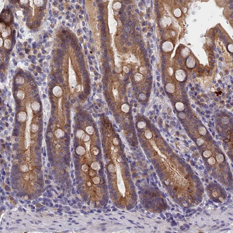
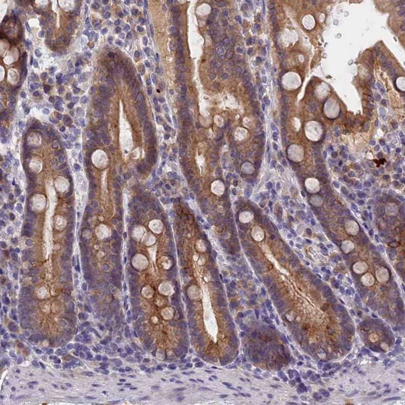
Staining of human duodenum shows strong cytoplasmic positivity in glandular cells.

Product Details

Summary
Reactivity HuSpecies Glossary
Applications IHC
Clonality
Polyclonal
Host
Rabbit
Conjugate
Unconjugated
Format
BSA Free

Order Details

View Available Formulations
Catalog# & Formulation Size Price

COL19A1 Antibody - BSA Free Summary

Description
Novus Biologicals Rabbit COL19A1 Antibody - BSA Free (NBP1-86215) is a polyclonal antibody validated for use in IHC. All Novus Biologicals antibodies are covered by our 100% guarantee.
Immunogen
This antibody was developed against Recombinant Protein corresponding to amino acids: VTVRDKTEESCPILRIEGHQLTYDNINKLEVSGFDLGDSFSLRRAFCESDKTCFKLGSALLIRDTIKIFPKGLPEEYSVAAMFRVRRNAKKERWFLWQVL
Isotype
IgG
Clonality
Polyclonal
Host
Rabbit
Gene
COL19A1
Purity
Affinity purified
Innovator's Reward
Test in a species/application not listed above to receive a full credit towards a future purchase.

Applications/Dilutions

Dilutions
  • Immunohistochemistry 1:200 - 1:500
  • Immunohistochemistry-Paraffin 1:200 - 1:500
Application Notes
For IHC-Paraffin, HIER pH 6 retrieval is recommended. Immunocytochemistry/Immunofluorescence Fixation Permeabilization: Use PFA/Triton X-100.
Control Peptide
COL19A1 Protein (NBP1-86215PEP)

Packaging, Storage & Formulations

Storage
Store at 4C short term. Aliquot and store at -20C long term. Avoid freeze-thaw cycles.
Buffer
PBS (pH 7.2) and 40% Glycerol
Preservative
0.02% Sodium Azide
Purity
Affinity purified

Alternate Names for COL19A1 Antibody - BSA Free

  • a1 chain of type XIX collagen
  • COL9A1L
  • collagen alpha 1 (Y) chain
  • collagen alpha-1(XIX) chain
  • Collagen alpha-1(Y) chain
  • collagen XIX, alpha-1 polypeptide
  • collagen, type XIX, alpha 1
  • D6S228E

Limitations

This product is for research use only and is not approved for use in humans or in clinical diagnosis. Primary Antibodies are guaranteed for 1 year from date of receipt.

Customers Who Viewed This Item Also Viewed...

NBP2-92796
Species: Rt
Applications: WB
NBP2-44245
Species: Hu, Mu, Rt
Applications: IHC,  IHC-P, WB
MAB66861
Species: Hu
Applications: ICC, WB
NB100-91297
Species: Hu, Mu, Pm, Rt
Applications: IHC,  IHC-P, WB
NBP2-50028
Species: Bv, Hu, Mu, Rt
Applications: ICC/IF, IHC-FrFl, IHC,  IHC-P, WB
NBP1-46535
Species: Hu, Mu, Rb, Rt, Xp
Applications: ICC/IF, IHC-FrFl, IHC, IHC-Fr,  IHC-P, WB
NBP2-50465
Species: Hu
Applications: CyTOF-ready, Flow-CS, Flow, IHC,  IHC-P
NB120-2860
Species: Ba, Bv, Ch, Hu, Mu, Rt
Applications: ELISA, Flow, ICC/IF, IHC,  IHC-P, WB
NBP3-45890
Species: Hu, Mu, Rt
Applications: ELISA, ICC/IF, IHC
NBP2-45894
Species: Hu, Mu, Rt
Applications: IHC,  IHC-P, WB
NBP2-15669
Species: Mu, Rt, Ze
Applications: IHC-WhMt, IHC, WB
NBP1-91258
Species: Bv, Ca, Eq, Fe, Hu, Mu, Po, Rt
Applications: ICC/IF, IHC, IHC-Fr,  IHC-P, Simple Western, WB
NBP3-35541
Species: Hu, Mu, Rt
Applications: ELISA, ICC/IF, IHC,  IHC-P, WB
NB600-101
Species: Bv, Ha, Hu, Mu, Pm, Rt
Applications: B/N, DB, EM, Flow, ICC/IF, IHC,  IHC-P, IP, KD, PA, Simple Western, WB
NB100-56511
Species: Hu, Mu
Applications: Flow, ICC/IF, IHC, IHC-Fr,  IHC-P, IP, KD, KO, WB
NBP2-70411
Species: Hu, Mu, Rt
Applications: Flow, ICC/IF, IHC,  IHC-P, WB
H00004502-M01
Species: Hu, Mu
Applications: ELISA, ICC/IF, IHC, WB
NBP1-88220
Species: Hu, Mu, Rt
Applications: ICC/IF, IHC,  IHC-P, KD, WB

Publications for COL19A1 Antibody (NBP1-86215) (0)

There are no publications for COL19A1 Antibody (NBP1-86215).
By submitting your publication information earn gift cards and discounts for future purchases.

Reviews for COL19A1 Antibody (NBP1-86215) (0)

There are no reviews for COL19A1 Antibody (NBP1-86215). By submitting a review you will receive an Amazon e-Gift Card or Novus Product Discount.
  • Review with no image -- $10/€7/£6/$10 CAD/¥70 Yuan/¥1110 Yen
  • Review with an image -- $25/€18/£15/$25 CAD/¥150 Yuan/¥2500 Yen

Product General Protocols

Find general support by application which include: protocols, troubleshooting, illustrated assays, videos and webinars.

FAQs for COL19A1 Antibody (NBP1-86215) (0)

There are no specific FAQs related to this product. Read our general customer & technical service FAQs.

Customers Who Bought This Also Bought

Contact Information

Product PDFs

Calculators

Concentration Calculator

The concentration calculator allows you to quickly calculate the volume, mass or concentration of your vial. Simply enter your mass, volume, or concentration values for your reagent and the calculator will determine the rest.

=
÷

Review this Product

Be the first to review our COL19A1 Antibody - BSA Free and receive a gift card or discount.

Bioinformatics

Gene Symbol COL19A1