Chorionic Gonadotropin alpha Chain (hCG alpha) Antibody (AH33-20)

Images

 
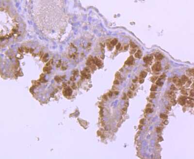
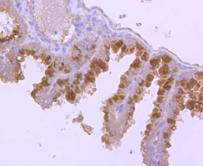
Immunohistochemistry-Paraffin: hCG Alpha (Intact) Antibody (AH33-20) [NBP2-67281] - Analysis of paraffin-embedded mouse placenta tissue using anti-FSH antibody. Counter stained with hematoxylin.

Order Details


    • Catalog Number
      NBP2-67281
    • Availability
      Product Discontinued

    Can't find what you are looking for? Use our Antibody Concierge Service & we will help you locate your antibody!

    Or feel free to contact us for alternative products.

Chorionic Gonadotropin alpha Chain (hCG alpha) Antibody (AH33-20) Summary

Additional Information
Recombinant Monoclonal Antibody
Immunogen
Full length protein
Localization
Secreted.
Isotype
IgG1
Clonality
Monoclonal
Host
Mouse
Gene
CGA
Purity
Protein A purified
Innovator's Reward
Test in a species/application not listed above to receive a full credit towards a future purchase.

Applications/Dilutions

Dilutions
  • ELISA 1:5000-1:10000
  • Immunohistochemistry
  • Immunohistochemistry-Paraffin 1:50-1:200
  • Western Blot 1:1000

Reactivity Notes

Mouse blocking reagent may be needed for IHC and ICC experiments to reduce high background signal. You can find these reagents under catalog numbers PK-2200-NB and MP-2400-NB. Please contact Technical Support if you have any. Please note that this antibody is reactive to Mouse and derived from the same host, Mouse. Mouse-On-questions.

Packaging, Storage & Formulations

Storage
Store at -20C. Avoid freeze-thaw cycles.
Buffer
TBS (pH7.4), 1%BSA, 40%Glycerol
Preservative
0.2% Sodium Azide
Concentration
2 mg/ml
Purity
Protein A purified

Alternate Names for Chorionic Gonadotropin alpha Chain (hCG alpha) Antibody (AH33-20)

  • alpha HCG
  • CGA glycoprotein hormones, alpha polypeptide
  • CGA
  • CG-ALPHA
  • Chorionic Gonadotropin alpha Chain
  • FSHA
  • GPHa
  • GPHa1
  • HCG
  • LHA
  • TSHA

Limitations

This product is for research use only and is not approved for use in humans or in clinical diagnosis. Primary Antibodies are guaranteed for 1 year from date of receipt.

Customers Who Viewed This Item Also Viewed...

NBP2-38770
Species: Hu, Mu
Applications:  IHC-P, WB
NBP1-30475
Species: Hu, Mu
Applications: IHC,  IHC-P, IP, WB
MAB1368
Species: Hu, Mu
Applications: CyTOF-ready, ICC, ICFlow, KO, Simple Western, WB
NBP1-83910
Species: Hu
Applications: IHC,  IHC-P, KD, WB
AF1445
Species: Mu, Rt
Applications: ELISA(Cap), ELISA(Det), ELISA(Sta), IHC, Neut, Simple Western, WB
NB100-1533
Species: Hu, Mu, Po, Rt, Sh
Applications: Flow, ICC/IF, IHC,  IHC-P, PEP-ELISA, WB
NBP2-46376
Species: Hu
Applications: IHC,  IHC-P, WB
NBP2-16019
Species: Hu
Applications: IHC,  IHC-P, WB
NBP2-34594
Species: Hu, Pm
Applications: CyTOF-ready, Flow, ICC/IF, IHC,  IHC-P
AF4478
Species: Hu
Applications: IHC, WB
NBP3-41306
Species: Hu, Mu, Rt
Applications: WB
NBP1-89522
Species: Hu, Mu, Rt
Applications: ICC/IF, IHC,  IHC-P, WB
MAB1417
Species: Bv, Hu, Mu
Applications: ICC, IHC
AF1152
Species: Hu
Applications: CyTOF-ready, IHC, ICFlow, Simple Western, WB
NBP1-46535
Species: Hu, Mu, Rb, Rt, Xp
Applications: ICC/IF, IHC-FrFl, IHC, IHC-Fr,  IHC-P, WB
AF1067
Species: Hu, Mu, Rt
Applications: ELISA, IHC, Neut, WB
NBP2-34014
Species: Hu
Applications: IHC,  IHC-P
H00005087-M01
Species: Hu, Pm, Mu
Applications: ChIP, ELISA, ICC/IF, IHC,  IHC-P, IP, S-ELISA, WB

Publications for Chorionic Gonadotropin alpha Chain (hCG alpha) Antibody (NBP2-67281) (0)

There are no publications for Chorionic Gonadotropin alpha Chain (hCG alpha) Antibody (NBP2-67281).
By submitting your publication information earn gift cards and discounts for future purchases.

Reviews for Chorionic Gonadotropin alpha Chain (hCG alpha) Antibody (NBP2-67281) (0)

There are no reviews for Chorionic Gonadotropin alpha Chain (hCG alpha) Antibody (NBP2-67281). By submitting a review you will receive an Amazon e-Gift Card or Novus Product Discount.
  • Review with no image -- $10/€7/£6/$10 CAD/¥70 Yuan/¥1110 Yen
  • Review with an image -- $25/€18/£15/$25 CAD/¥150 Yuan/¥2500 Yen

Product General Protocols

Find general support by application which include: protocols, troubleshooting, illustrated assays, videos and webinars.

Video Protocols

WB Video Protocol

FAQs for Chorionic Gonadotropin alpha Chain (hCG alpha) Antibody (NBP2-67281) (0)

There are no specific FAQs related to this product. Read our general customer & technical service FAQs.

Secondary Antibodies

 

Isotype Controls

Additional Chorionic Gonadotropin alpha Chain (hCG alpha) Products

Research Areas for Chorionic Gonadotropin alpha Chain (hCG alpha) Antibody (NBP2-67281)

Find related products by research area.

Blogs on Chorionic Gonadotropin alpha Chain (hCG alpha)

There are no specific blogs for Chorionic Gonadotropin alpha Chain (hCG alpha), but you can read our latest blog posts.

Contact Information

Product PDFs

Calculators

Concentration Calculator

The concentration calculator allows you to quickly calculate the volume, mass or concentration of your vial. Simply enter your mass, volume, or concentration values for your reagent and the calculator will determine the rest.

=
÷

Review this Product

Be the first to review our Chorionic Gonadotropin alpha Chain (hCG alpha) Antibody (AH33-20) and receive a gift card or discount.

Bioinformatics

Gene Symbol CGA