CHMP4A Antibody

Images

 
Western Blot: CHMP4A Antibody [NBP3-06005] - Anti-CHMP4A rabbit polyclonal antibody at 1:500 dilution Lane A: HepG2 Whole Cell Lysate Lane B: RT4 Whole Cell Lysate Lane C: HL60 Whole Cell Lysate Lane D: MOLT4 Whole Cell ...read more
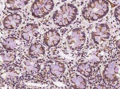
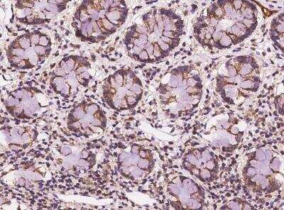
Immunohistochemistry-Paraffin: CHMP4A Antibody [NBP3-06005] - Staining of human CHMP4A in human rectum with rabbit polyclonal antibody at 1:100 dilution.
CHMP4A Antibody [NBP3-06005] - CHMP4A was immunoprecipitated using: Lane A:0.5 mg HepG2 Whole Cell Lysate 4 uL anti-CHMP4A rabbit polyclonal antibody and 60 ug of Immunomagnetic beads Protein AG. Primary antibody: ...read more

Product Details

Summary
Product Discontinued
View other related CHMP4A Primary Antibodies

Order Details


    • Catalog Number
      NBP3-06005
    • Availability
      Product Discontinued

    Can't find what you are looking for? Use our Antibody Concierge Service & we will help you locate your antibody!

    Or feel free to contact us for alternative products.

CHMP4A Antibody Summary

Description
This antibody can be stored at 2C-8C for one month without detectable loss of activity. Antibody products are stable for twelve months from date of receipt when stored at -20C to -80C. Avoid repeated freeze-thaw cycles.
Immunogen
Produced in rabbits immunized with E. coli-derived Human CHMP4A fragment.
Isotype
IgG
Clonality
Polyclonal
Host
Rabbit
Gene
CHMP4A
Purity
Antigen and protein A Affinity-purified
Innovator's Reward
Test in a species/application not listed above to receive a full credit towards a future purchase.

Applications/Dilutions

Dilutions
  • Immunohistochemistry
  • Immunohistochemistry-Paraffin 1:50-1:200
  • Immunoprecipitation 1-5ul/mg of lysate
  • Western Blot 1:500-1:2000

Packaging, Storage & Formulations

Storage
Store at 4C short term. Aliquot and store at -20C long term. Avoid freeze-thaw cycles.
Buffer
PBS, pH7.0
Preservative
0.03% Proclin 300
Purity
Antigen and protein A Affinity-purified

Alternate Names for CHMP4A Antibody

  • C14orf123
  • charged multivesicular body protein 4a
  • CHMP4
  • CHMP4a
  • CHMP4B
  • chromatin modifying protein 4A
  • Chromatin-modifying protein 4a
  • chromosome 14 open reading frame 123
  • FLJ61658
  • hSnf-1
  • HSPC134
  • hVps32-1
  • MGC142093
  • MGC142095
  • SHAX2
  • SNF7 homolog associated with Alix-2
  • Snf7 homologue associated with Alix 2
  • SNF7
  • SNF7-1
  • Vacuolar protein sorting-associated protein 32-1
  • VPS32-1
  • VPS32A

Background

CHMP4A (charged MVB protein 4A) is one of the three isoforms of CHMP4, the human equivalent of yeast Snf7 (so CHMP4A is also referred to as hSnf7-1). It is a component of the ESCRT-III (endosomal sorting complex required for transport III) complex. The ESCRT complexes mediate membrane budding away from the cytosol and cleavage of membrane necks (membrane fission) from the cytosolic face; hence, they are key in processes such as the formation of MVBs (multivesicular bodies), enveloped virus budding, and membrane abscission in cytokinesis. Not all types of ESCRT complexes, or proteins within those complexes, are necessary for all of these functions. For instance, research into the requirements of ESCRT-III proteins in HIV-1 budding has revealed that CHMP1 and CHMP3 proteins are not essential for this process; at least one member of each of the CHMP2 and CHMP4 families are required; within these families there is some functional redundancy; within the CHMP4 family, the relative importance and abundance of the isoforms is 4B > 4A > 4C; and the absence of CHMP4A or 4B prevents the budding process from progressing to completion.

Limitations

This product is for research use only and is not approved for use in humans or in clinical diagnosis. Primary Antibodies are guaranteed for 1 year from date of receipt.

Customers Who Viewed This Item Also Viewed...

NBP1-90201
Species: Hu
Applications: ICC/IF, IHC,  IHC-P, KD, Simple Western, WB
NBP3-27784
Species: Hu, Mu, Rt
Applications: ICC/IF, IHC, WB
NBP1-83726
Species: Hu
Applications: IHC,  IHC-P, WB
NBP1-91780
Species: Hu
Applications: IHC,  IHC-P
NB200-112
Species: Ca, Ha, Hu, Pm, Mu, Po, Rt, Ze
Applications: EM, ELISA, Flow, ICC/IF, IHC-FrFl, IHC,  IHC-P, IP, KD, WB
NBP2-20881
Species: Hu
Applications: ICC/IF, IHC,  IHC-P, WB
NBP3-22183
Species: Hu, Mu, Rt
Applications: Flow, IHC, IP, WB
MAB6015
Species: Hu, Mu, Rt
Applications: WB
NBP1-81166
Species: Hu
Applications: IHC,  IHC-P
NBP1-86745
Species: Hu, Mu, Rt
Applications: IHC,  IHC-P, WB
AF7117
Species: Hu, Mu
Applications: ICC, IHC, WB
NBP2-32665
Species: Hu
Applications: IHC,  IHC-P, WB
AF8171
Species: Hu
Applications: IHC, Simple Western, WB
NBP2-15278
Species: Hu
Applications: IHC,  IHC-P, WB
NBP1-91681
Species: Hu
Applications: IHC,  IHC-P
236-EG
Species: Hu
Applications: BA
NBP3-32254
Species: Hu, Mu, Rt
Applications: ICC/IF, IHC,  IHC-P, WB
H00008086-M02
Species: Hu, Mu, Rt
Applications: ELISA, IHC,  IHC-P, WB
NBP1-90706
Species: Hu
Applications: ICC/IF, IHC,  IHC-P, WB
NBP2-13075
Species: Ba, Hu, Pm, Mu, Rt
Applications: DB, ELISA, IB, ICC/IF, IHC-FrFl, IHC, IHC-Fr,  IHC-P, IP, WB

Publications for CHMP4A Antibody (NBP3-06005) (0)

There are no publications for CHMP4A Antibody (NBP3-06005).
By submitting your publication information earn gift cards and discounts for future purchases.

Reviews for CHMP4A Antibody (NBP3-06005) (0)

There are no reviews for CHMP4A Antibody (NBP3-06005). By submitting a review you will receive an Amazon e-Gift Card or Novus Product Discount.
  • Review with no image -- $10/€7/£6/$10 CAD/¥70 Yuan/¥1110 Yen
  • Review with an image -- $25/€18/£15/$25 CAD/¥150 Yuan/¥2500 Yen

Product General Protocols

Find general support by application which include: protocols, troubleshooting, illustrated assays, videos and webinars.

Video Protocols

WB Video Protocol

FAQs for CHMP4A Antibody (NBP3-06005) (0)

There are no specific FAQs related to this product. Read our general customer & technical service FAQs.

Contact Information

Product PDFs

Calculators

Concentration Calculator

The concentration calculator allows you to quickly calculate the volume, mass or concentration of your vial. Simply enter your mass, volume, or concentration values for your reagent and the calculator will determine the rest.

=
÷

Review this Product

Be the first to review our CHMP4A Antibody and receive a gift card or discount.

Bioinformatics

Gene Symbol CHMP4A