CHAF1B Antibody (JG92-30)

Images

 
Western Blot: CHAF1B Antibody (JG92-30) [NBP2-75439] - Analysis of p60 CAF1 on different cell lysates using anti-p60 CAF1 antibody at 1/1,000 dilution.Positive control:Lane 1: SiHa Lane 2: K562Lane 3: A431
Immunocytochemistry/ Immunofluorescence: CHAF1B Antibody (JG92-30) [NBP2-75439] - Staining p60 CAF1 in SiHa cells (green). The nuclear counter stain is DAPI (blue). Cells were fixed in paraformaldehyde, permeabilised ...read more
Immunohistochemistry-Paraffin: CHAF1B Antibody (JG92-30) [NBP2-75439] - Analysis of paraffin-embedded human appendix tissue using anti-p60 CAF1 antibody. Counter stained with hematoxylin.
Flow Cytometry: CHAF1B Antibody (JG92-30) [NBP2-75439] - Analysis of K562 cells with p60 CAF1 antibody at 1/100 dilution (purple) compared with an unlabelled control (cells without incubation with primary antibody; ...read more
Immunocytochemistry/ Immunofluorescence: CHAF1B Antibody (JG92-30) [NBP2-75439] - Staining p60 CAF1 in 293T cells (green). The nuclear counter stain is DAPI (blue). Cells were fixed in paraformaldehyde, permeabilised ...read more
Immunocytochemistry/ Immunofluorescence: CHAF1B Antibody (JG92-30) [NBP2-75439] - Staining p60 CAF1 in A431 cells (green). The nuclear counter stain is DAPI (blue). Cells were fixed in paraformaldehyde, permeabilised ...read more
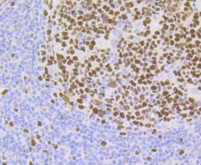
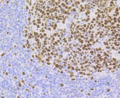
Immunohistochemistry-Paraffin: CHAF1B Antibody (JG92-30) [NBP2-75439] - Analysis of paraffin-embedded human tonsil tissue using anti-p60 CAF1 antibody. Counter stained with hematoxylin.
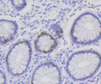
Immunohistochemistry-Paraffin: CHAF1B Antibody (JG92-30) [NBP2-75439] - Analysis of paraffin-embedded human colon tissue using anti-p60 CAF1 antibody. Counter stained with hematoxylin.

Product Details

Summary
Product Discontinued
View other related CHAF1B Primary Antibodies

Order Details


    • Catalog Number
      NBP2-75439
    • Availability
      Product Discontinued

    Can't find what you are looking for? Use our Antibody Concierge Service & we will help you locate your antibody!

    Or feel free to contact us for alternative products.

CHAF1B Antibody (JG92-30) Summary

Additional Information
Recombinant Monoclonal Antibody.
Immunogen
Recombinant protein within Human CHAF1B aa 419-559 / 559. (SwissProt: Q13112 Human)
Localization
Cytoplasm. Nucleus.
Isotype
IgG
Clonality
Monoclonal
Host
Rabbit
Gene
CHAF1B
Purity
Protein A purified
Innovator's Reward
Test in a species/application not listed above to receive a full credit towards a future purchase.

Applications/Dilutions

Dilutions
  • Flow Cytometry 1:50-1:100
  • Immunocytochemistry/ Immunofluorescence 1:50-1:200
  • Immunohistochemistry
  • Immunohistochemistry-Paraffin 1:50-1:200
  • Immunoprecipitation 1:10-1:50
  • Western Blot 1:500-1:2000
Theoretical MW
61 kDa.
Disclaimer note: The observed molecular weight of the protein may vary from the listed predicted molecular weight due to post translational modifications, post translation cleavages, relative charges, and other experimental factors.

Packaging, Storage & Formulations

Storage
Store at 4C short term. Aliquot and store at -20C long term. Avoid freeze-thaw cycles.
Buffer
TBS (pH7.4), 0.05% BSA, 40% Glycerol
Preservative
0.05% Sodium Azide
Concentration
1 mg/ml
Purity
Protein A purified

Alternate Names for CHAF1B Antibody (JG92-30)

  • CAF1
  • CAF-1
  • CAF1ACAF-1 subunit B
  • CAF1P60CAF-I 60 kDa subunit
  • CAF-IP60
  • chromatin assembly factor 1 subunit B
  • chromatin assembly factor 1, subunit B (p60)
  • Chromatin assembly factor I p60 subunit
  • human chromatin assembly factor-I p60 subunit, 10
  • MPHOSPH7CAF-I p60
  • MPP7M-phase phosphoprotein 7

Background

Chromatin assembly factor 1 (CAF-1) is a member of the histone chaperone family. It is required for inheritance of epigenetically determined chromosomal states, and in vitro, it promotes the assembly of chromatin during DNA replication and DNA repair. CAF1 is a complex of three subunits; p150, p60, and p48. This complex is localized to the nucleus of human cells. Both the composition and the biochemical activity of CAF-1 are conserved among human, yeast, and Drosophila.

CAF-1 antibodies are useful tools for cell division, DNA replication and DNA packaging.

Limitations

This product is for research use only and is not approved for use in humans or in clinical diagnosis. Primary Antibodies are guaranteed for 1 year from date of receipt.

Customers Who Viewed This Item Also Viewed...

NBP3-48703
Species: Hu, Mu, Rt, Ze
Applications: ICC/IF, WB
NB500-207
Species: Hu
Applications: ICC/IF, IP, WB
NB500-106
Species: Ch, Dr, Fi, Hu, Mar, Mu, Po, Pm, Rb, Rt, Ye, Ze
Applications: ChIP, ChIP, ELISA, Flow, ICC/IF, IHC-FrFl, IHC, IHC-Fr,  IHC-P, IP, Simple Western, WB
NBP1-86564
Species: Hu
Applications: ICC/IF, IHC,  IHC-P
MAB1567
Species: Hu
Applications: CyTOF-reported, Flow
NBP2-07996
Species: Hu
Applications: WB
NBP2-52486
Species: Hu
Applications: CyTOF-ready, ELISA, Flow, ICC/IF, IHC,  IHC-P, WB
DRT100
Species: Hu
Applications: ELISA
NB500-123
Species: Hu, Mu
Applications: B/N, ChIP, Func, ICC/IF, IHC,  IHC-P, IP, WB
NBP1-87256
Species: Hu
Applications: IHC,  IHC-P
NB500-171
Species: Hu, I, Mu, Rt, Xp, Ye
Applications: ChIP, IB, ICC/IF, IHC,  IHC-P, Single-Cell Western, WB
NBP3-47570
Species: Hu, Mu, Rt
Applications: ELISA, IHC, IP, WB
H00029883-M01
Species: Hu, Mu, Rt
Applications: ELISA, ICC/IF, S-ELISA, WB
H00010963-M01
Species: Hu, Mu
Applications: ELISA, ICC/IF, IHC,  IHC-P, IP, S-ELISA, WB
H00008878-M01
Species: Bv, Ha, Hu, Mu, Rb, Rt
Applications: ELISA, ICC/IF, IHC, IHC-Fr,  IHC-P, IP, WB
NBP1-80905
Species: Hu
Applications: ICC/IF, IHC,  IHC-P
NBP2-02148
Species: Hu
Applications: Flow, ICC/IF, WB
NB100-2559
Species: Hu
Applications: IHC,  IHC-P, PEP-ELISA, WB
NLS3775
Species: Hu, Pm
Applications: ICC/IF, IHC,  IHC-P
NBP2-75439
Species: Hu
Applications: WB, Flow, ICC/IF, IHC, IP

Publications for CHAF1B Antibody (NBP2-75439) (0)

There are no publications for CHAF1B Antibody (NBP2-75439).
By submitting your publication information earn gift cards and discounts for future purchases.

Reviews for CHAF1B Antibody (NBP2-75439) (0)

There are no reviews for CHAF1B Antibody (NBP2-75439). By submitting a review you will receive an Amazon e-Gift Card or Novus Product Discount.
  • Review with no image -- $10/€7/£6/$10 CAD/¥70 Yuan/¥1110 Yen
  • Review with an image -- $25/€18/£15/$25 CAD/¥150 Yuan/¥2500 Yen

Product General Protocols

Video Protocols

WB Video Protocol
ICC/IF Video Protocol

FAQs for CHAF1B Antibody (NBP2-75439) (0)

There are no specific FAQs related to this product. Read our general customer & technical service FAQs.

Secondary Antibodies

 

Isotype Controls

Additional CHAF1B Products

Research Areas for CHAF1B Antibody (NBP2-75439)

Find related products by research area.

Blogs on CHAF1B

There are no specific blogs for CHAF1B, but you can read our latest blog posts.

Contact Information

Product PDFs

Calculators

Concentration Calculator

The concentration calculator allows you to quickly calculate the volume, mass or concentration of your vial. Simply enter your mass, volume, or concentration values for your reagent and the calculator will determine the rest.

=
÷

Review this Product

Be the first to review our CHAF1B Antibody (JG92-30) and receive a gift card or discount.

Bioinformatics

Gene Symbol CHAF1B