CFTR Antibody (CFTR/6477R) - Azide and BSA Free

Images

 
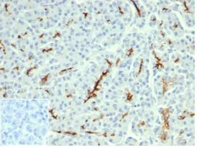
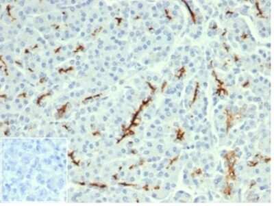
Immunohistochemistry-Paraffin: CFTR Antibody (CFTR/6477R) - Azide and BSA Free [NBP3-14242] - Formalin-fixed, paraffin-embedded human pancreas stained with CFTR antibody (CFTR/6477R). Inset: PBS instead of primary, ...read more

Product Details

Summary
Reactivity HuSpecies Glossary
Applications IHC
Clone
CFTR/6477R
Clonality
Monoclonal
Host
Rabbit
Conjugate
Unconjugated
Format
Azide and BSA Free
Concentration
1 mg/ml

Order Details

CFTR Antibody (CFTR/6477R) - Azide and BSA Free Summary

Description
1.0 mg/ml of antibody purified by Protein A. Prepared in 10mM PBS WITHOUT BSA & azide. Also available at 200 ug/ml WITH BSA & azide (NBP3-13842).

Antibody with azide - store at 2 to 8C. Antibody without azide - store at -20 to -80 C.
Additional Information
Recombinant Monoclonal Antibody
Immunogen
Recombinant fragment (around aa 258-385) of human CFTR protein (exact sequence is proprietary) (Uniprot: P13569 )
Localization
Cell Surface, Cytoplasm
Isotype
IgG
Clonality
Monoclonal
Host
Rabbit
Gene
CFTR
Purity
Protein A purified
Innovator's Reward
Test in a species/application not listed above to receive a full credit towards a future purchase.

Applications/Dilutions

Dilutions
  • Immunohistochemistry-Paraffin 1-2 ug/ml
Application Notes
Immunohistochemistry (Formalin-fixed): 1-2ug/ml for 30 minutes at RT. Staining of formalin-fixed tissues requires heating tissue sections in 10mM Tris with 1mM EDTA, pH 9.0, for 45 min at 95C followed by cooling at RT for 20 minutes

Packaging, Storage & Formulations

Storage
Store at -20 to -80C. Avoid freeze-thaw cycles.
Buffer
10mM PBS
Preservative
No Preservative
Concentration
1 mg/ml
Purity
Protein A purified

Alternate Names for CFTR Antibody (CFTR/6477R) - Azide and BSA Free

  • ABC35
  • ABCC7CF
  • ATP-binding cassette sub-family C member 7
  • ATP-binding cassette transporter sub-family C member 7
  • cAMP-dependent chloride channel
  • CFTR
  • CFTR/MRP
  • Channel conductance-controlling ATPase
  • cystic fibrosis transmembrane conductance regulator (ATP-binding cassettesub-family C, member 7)
  • cystic fibrosis transmembrane conductance regulator
  • cystic fibrosis transmembrane conductance regulator, ATP-binding cassette(sub-family C, member 7)
  • dJ760C5.1
  • EC 3.6.3
  • MRP7EC 3.6.3.49
  • TNR-CFTR

Limitations

This product is for research use only and is not approved for use in humans or in clinical diagnosis. Primary Antibodies are guaranteed for 1 year from date of receipt.

Customers Who Viewed This Item Also Viewed...

MAB208
Species: Hu
Applications: CyTOF-ready, ELISA(Cap), ELISA(Det), ELISA(Sta), ICC, ICFlow, Neut, Simple Western, WB
H00006690-M01
Species: Hu, Mu
Applications: ELISA, ICC/IF, IHC, IHC-Fr,  IHC-P, IP, WB
NBP3-41339
Species: Hu, Mu, Rt
Applications: IHC,  IHC-P, WB
NB200-541
Species: Mu
Applications: IA, ICC/IF, IHC, IHC-Fr, IP, WB
AF4928
Species: Hu
Applications: CyTOF-ready, Flow, WB
AF3848
Species: Hu
Applications: IHC, IP, WB
NBP3-23927
Species: Hu
Applications:  IHC-P
NB400-156
Species: Hu, Mu, Rt
Applications: CyTOF-ready, Dual ISH-IHC, ELISA, Flow, ICC/IF, IHC, IP, Simple Western, WB
M6000B
Species: Mu
Applications: ELISA
NBP1-84999
Species: Hu
Applications: IHC,  IHC-P, WB
DY4517-05
Species: Mu
Applications: ELISA
NBP2-34294
Species: Hu, Mu, Rt
Applications: Flow, IHC,  IHC-P
MAB1417
Species: Bv, Hu, Mu
Applications: ICC, IHC
NBP2-45731
Species: Ca, Hu, Pm
Applications: IHC,  IHC-P, WB
NBP3-14242
Species: Hu
Applications: IHC

Publications for CFTR Antibody (NBP3-14242) (0)

There are no publications for CFTR Antibody (NBP3-14242).
By submitting your publication information earn gift cards and discounts for future purchases.

Reviews for CFTR Antibody (NBP3-14242) (0)

There are no reviews for CFTR Antibody (NBP3-14242). By submitting a review you will receive an Amazon e-Gift Card or Novus Product Discount.
  • Review with no image -- $10/€7/£6/$10 CAD/¥70 Yuan/¥1110 Yen
  • Review with an image -- $25/€18/£15/$25 CAD/¥150 Yuan/¥2500 Yen

Product General Protocols

Find general support by application which include: protocols, troubleshooting, illustrated assays, videos and webinars.

FAQs for CFTR Antibody (NBP3-14242) (0)

There are no specific FAQs related to this product. Read our general customer & technical service FAQs.

Secondary Antibodies

 

Isotype Controls

Additional CFTR Products

Research Areas for CFTR Antibody (NBP3-14242)

Find related products by research area.

Blogs on CFTR.

The ABCA1 Antibody and ABC Transporter Research
The ABC (ATP-binding cassette) transporters are a superfamily of transmembrane proteins which play an essential role in membrane transport in both prokaryotes and eukaryotes. In humans, ABC transporters have been implicated in many conditions. For exa...  Read full blog post.

Customers Who Bought This Also Bought

Contact Information

Product PDFs

Calculators

Concentration Calculator

The concentration calculator allows you to quickly calculate the volume, mass or concentration of your vial. Simply enter your mass, volume, or concentration values for your reagent and the calculator will determine the rest.

=
÷

Review this Product

Be the first to review our CFTR Antibody (CFTR/6477R) - Azide and BSA Free and receive a gift card or discount.

Bioinformatics

Gene Symbol CFTR