CD79A Antibody (IGA/764) - Azide and BSA Free

Images

 
Immunocytochemistry/ Immunofluorescence: CD79A Antibody (IGA/764) - Azide and BSA Free [NBP3-11494] - Immunofluorescence Analysis of Raji cells. CD79A Antibody (IGA/764) The nuclear counterstain is Red Dot (Red)
Western Blot: CD79A Antibody (IGA/764) - Azide and BSA Free [NBP3-11494] - Western Blot Analysis of human Raji cell lysate using CD79A Antibody (IGA/764).
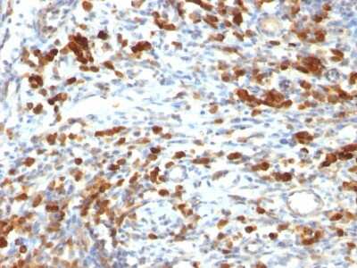
Immunohistochemistry-Paraffin: CD79A Antibody (IGA/764) - Azide and BSA Free [NBP3-11494] - Formalin-fixed, paraffin-embedded human Lymphoma stained with CD79A Antibody (IGA/764)

Product Details

Summary
Reactivity HuSpecies Glossary
Applications WB, Flow, ICC/IF, IHC
Clone
IGA/764
Clonality
Monoclonal
Host
Mouse
Conjugate
Unconjugated
Format
Azide and BSA Free
Concentration
1 mg/ml

Order Details

CD79A Antibody (IGA/764) - Azide and BSA Free Summary

Description
1.0 mg/ml of antibody purified from Bioreactor Concentrate by Protein A/G. Prepared in 10mM PBS WITHOUT BSA & azide. Also available at 200 ug/ml WITH BSA & azide (NBP2-44741).

Antibody with azide - store at 2 to 8C. Antibody without azide - store at -20 to -80C.
Immunogen
Recombinant full-length human CD79A protein (Uniprot: P11912)
Localization
Cell surface
Marker
B Cell Marker
Specificity
A disulphide-linked heterodimer, consisting of mb-1 (or CD79a) and B29 (or CD79b) polypeptides, is non-covalently associated with membrane-bound immunoglobulins on B cells. This complex of mb-1 and B29 polypeptides and immunoglobulin constitute the B cell Ag receptor. CD79a first appears at pre B cell stage, early in maturation, and persists until the plasma cell stage where it is found as an intracellular component. CD79a is found in the majority of acute leukemias of precursor B cell type, in B cell lines, B cell lymphomas, and in some myelomas. It is not present in myeloid or T cell lines. Anti-CD79a is generally used to complement anti-CD20 especially for mature B-cell lymphomas after treatment with Rituximab (anti-CD20). This antibody will stain many of the same lymphomas as anti-CD20, but also is more likely to stain B-lymphoblastic lymphoma/leukemia than is anti-CD20. Anti-CD79a also stains more cases of plasma cell myeloma and occasionally some types of endothelial cells as well.
Isotype
IgG1 Kappa
Clonality
Monoclonal
Host
Mouse
Gene
CD79A
Purity
Protein A or G purified
Innovator's Reward
Test in a species/application not listed above to receive a full credit towards a future purchase.

Applications/Dilutions

Dilutions
  • Flow Cytometry 0.5 - 1 ug/million cells in 0.1 ml
  • Immunocytochemistry/ Immunofluorescence
  • Immunohistochemistry
  • Immunohistochemistry-Paraffin 0.25 - 0.5 ug/ml
  • Western Blot
Application Notes
Immunohistochemistry (Formalin-fixed): 1-2ug/ml for 30 minutes at RT. Staining of formalin-fixed tissues requires heating tissue sections in 10mM Tris with 1mM EDTA, pH 9.0, for 45 min at 95C followed by cooling at RT for 20 minutes.
Optimal dilution for a specific application should be determined.
Theoretical MW
44 kDa.
Disclaimer note: The observed molecular weight of the protein may vary from the listed predicted molecular weight due to post translational modifications, post translation cleavages, relative charges, and other experimental factors.

Packaging, Storage & Formulations

Storage
Store at -20 to -80C. Avoid freeze-thaw cycles.
Buffer
10 mM PBS
Preservative
No Preservative
Concentration
1 mg/ml
Purity
Protein A or G purified

Alternate Names for CD79A Antibody (IGA/764) - Azide and BSA Free

  • CD79A antigen (immunoglobulin-associated alpha)
  • CD79a antigen
  • CD79a molecule, immunoglobulin-associated alpha
  • CD79A
  • IGAB-cell antigen receptor complex-associated protein alpha chain
  • ig-alpha
  • MB-1 membrane glycoprotein
  • MB1
  • MB-1
  • Membrane-bound immunoglobulin-associated protein
  • Surface IgM-associated protein

Background

CD79a is a disulphide-linked heterodimer, consisting of mb-1 (or CD79a) and B29 (or CD79b) polypeptides, is non-covalently associated with membrane-bound immunoglobulins on B cells to constitute the B cell Ag receptor. CD79a first appears at pre B cell stage and persists until the plasma cell stage where it is found as an intracellular component. CD79a is found in the majority of acute leukemias of precursor B cell type, in B cell lines, B cell lymphomas, and in some myelomas. It is not present in myeloid or T cell lines.

Limitations

This product is for research use only and is not approved for use in humans or in clinical diagnosis. Primary Antibodies are guaranteed for 1 year from date of receipt.

Customers Who Viewed This Item Also Viewed...

NBP2-79843
Species: Hu
Applications: CyTOF-ready, ELISA, Flow, ICC/IF, IHC,  IHC-P, PA, WB
7268-CT
Species: Hu
Applications: BA
NB100-524
Species: Hu, Mu
Applications: Flow-IC, Flow, ICC/IF, IHC, IHC-Fr,  IHC-P, IP, WB
AF6814
Species: Mu
Applications: CyTOF-ready, Flow, ICC, WB
NBP2-54591
Species: Hu
Applications: CyTOF-ready, Flow, ICC/IF, IHC,  IHC-P, PA
NBP2-67309
Species: Hu, Rt
Applications: Flow, ICC/IF, IHC,  IHC-P, IP, WB
NB600-1441
Species: Ca, Hu, Mu, Po
Applications: Flow, ICC/IF, IHC, IHC-Fr,  IHC-P, KD
AF114
Species: Mu
Applications: CyTOF-ready, Flow, ICC, IHC, WB
AF1126
Species: Mu
Applications: ELISA(Cap), ELISA(Det), ELISA(Sta), IHC, IP, WB
AF5129
Species: Hu
Applications: WB
NBP2-13608
Species: Hu
Applications: IHC,  IHC-P, WB
NBP2-25196
Species: Hu, Mu
Applications: CyTOF-ready, Flow, ICC/IF, In vitro, WB
NBP2-46157
Species: Hu
Applications: Flow, IHC,  IHC-P, WB
NBP2-70360
Species: Hu
Applications: CyTOF-ready, Flow, IMC, ICC/IF, IHC,  IHC-P, WB
MAB3487
Species: Hu, Mu
Applications: Flow, ICC, IHC, mIF, Simple Western, WB
NB100-56098
Species: Ca, Hu, Mu, Rt
Applications: IHC,  IHC-P, IP, WB
NBP2-32822
Species: Hu
Applications: Flow, ICC/IF, IHC,  IHC-P, WB
AF2780
Species: Hu
Applications: ELISA(Cap), ELISA(Det), ELISA(Sta), IHC, WB
NBP2-46125
Species: Ca, Hu, Pm, Mu, Rt
Applications: ICC/IF, WB
NBP1-19371
Species: Ca, Hu, Mu, Po, Rb, Rt
Applications: Dual ISH-IHC, Flow, ICC/IF, IHC, IHC-Fr,  IHC-P, Simple Western, WB

Publications for CD79A Antibody (NBP3-11494) (0)

There are no publications for CD79A Antibody (NBP3-11494).
By submitting your publication information earn gift cards and discounts for future purchases.

Reviews for CD79A Antibody (NBP3-11494) (0)

There are no reviews for CD79A Antibody (NBP3-11494). By submitting a review you will receive an Amazon e-Gift Card or Novus Product Discount.
  • Review with no image -- $10/€7/£6/$10 CAD/¥70 Yuan/¥1110 Yen
  • Review with an image -- $25/€18/£15/$25 CAD/¥150 Yuan/¥2500 Yen

Product General Protocols

Find general support by application which include: protocols, troubleshooting, illustrated assays, videos and webinars.

Video Protocols

WB Video Protocol
ICC/IF Video Protocol

FAQs for CD79A Antibody (NBP3-11494) (0)

There are no specific FAQs related to this product. Read our general customer & technical service FAQs.

Secondary Antibodies

 

Isotype Controls

Additional CD79A Products

Research Areas for CD79A Antibody (NBP3-11494)

Find related products by research area.

Blogs on CD79A.

CD79b - A Signal Transduction Component of the B-cell Receptor
The B-cell antigen receptor (BCR) is a complex multimeric aggregate that includes the following key noncovalently-bound components: antigen-specific surface immunoglobulin (Ig), CD79a (Ig-alpha), and CD79b (Ig-beta). BCR signaling is a pivotal pathway...  Read full blog post.

Customers Who Bought This Also Bought

Contact Information

Product PDFs

Calculators

Concentration Calculator

The concentration calculator allows you to quickly calculate the volume, mass or concentration of your vial. Simply enter your mass, volume, or concentration values for your reagent and the calculator will determine the rest.

=
÷

Review this Product

Be the first to review our CD79A Antibody (IGA/764) - Azide and BSA Free and receive a gift card or discount.

Bioinformatics

Gene Symbol CD79A