CD30/TNFRSF8 Antibody (SPM609) - IHC-Prediluted

Images

 
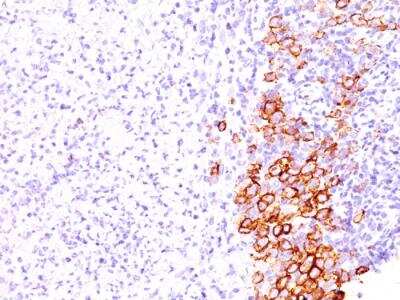
Immunohistochemistry-Paraffin: CD30/TNFRSF8 Antibody (SPM609) - IHC-Prediluted [NBP2-48313] - Formalin-fixed, paraffin-embedded human Hodgkin's Lymphoma stained with CD30 Monoclonal Antibody (SPM609).

Product Details

Summary
Reactivity HuSpecies Glossary
Applications IHC
Clone
SPM609
Clonality
Monoclonal
Host
Mouse
Conjugate
Unconjugated
Format
IHC-Prediluted

Order Details

CD30/TNFRSF8 Antibody (SPM609) - IHC-Prediluted Summary

Description
The prediluted antibody does not require any mixing, dilution, reconstitution, or titration; the antibody is ready-to-use and optimized for staining.
Immunogen
Recombinant human CD30/TNFRSF8 protein (Uniprot: P28908)
Localization
Cell surface
Marker
Hodgkin & Reed-Sternberg Cell Marker
Specificity
Recognizes a single chain glycoprotein of 105/120kDa, identified as CD30/Ki-1. CD30 is synthesized as a 90kDa precursor, which is processed in the Golgi complex into a membrane-bound phosphorylated mature 105/120kDa glycoprotein. In Hodgkins disease, CD30/Ki-1 antigen is expressed by mononuclear-Hodgkin and multinucleated Reed-Sternberg cells. It is also expressed by the tumor cells of a majority of anaplastic large cell lymphomas as well as by a varying proportion of activated T and B cells. This monoclonal antibody distinguishes large cell lymphomas derived from activated lymphoid cells from histiocytic malignancies and lymphomas derived from resting and precursor lymphoid cells or from anaplastic carcinomas. About one third of the Ki-1 positive lymphomas lack the leukocyte common antigen (CD45).
Isotype
IgG1 Kappa
Clonality
Monoclonal
Host
Mouse
Gene
TNFRSF8
Purity
Protein A or G purified
Innovator's Reward
Test in a species/application not listed above to receive a full credit towards a future purchase.

Applications/Dilutions

Dilutions
  • Immunohistochemistry
  • Immunohistochemistry-Paraffin
Application Notes
Immunohistochemistry (Formalin-fixed): 1-2ug/ml for 30 minutes at RT. Staining of formalin-fixed tissues requires heating tissue sections in 1mM EDTA, pH 7.5-8.5, for 45 min at 95C followed by cooling at RT for 20 minutes.
Optimal dilution for a specific application should be determined.

Packaging, Storage & Formulations

Storage
Store at 4C.
Buffer
10 mM PBS with 0.05% BSA
Preservative
0.05% Sodium Azide
Purity
Protein A or G purified

Alternate Names for CD30/TNFRSF8 Antibody (SPM609) - IHC-Prediluted

  • CD30 antigen
  • CD30
  • CD30KI-1
  • CD30L receptor
  • cytokine receptor CD30
  • D1S166EKi-1
  • Ki-1 antigen
  • Lymphocyte activation antigen CD30
  • TNFRSF8
  • tumor necrosis factor receptor superfamily member 8
  • tumor necrosis factor receptor superfamily, member 8

Background

CD30 is a type I transmembrane protein and a member of the tumor necrosis factor receptor superfamily of proteins. (1,2) Murine CD30 is expressed predominantly in the thymus, and it is inducible in mouse splenocytes stimulated with pokeweed mitogen or concanavalin A. (1) In anti-CD3epsilon-activated spleen cells, CD30 is expressed primarily on the surface of CD8+ T cells with peak expression on days 4 and 5. Stimulation of CD30+ CTL lines with plate-bound anti-CD30 directly signals IL-5 but not IFN; production. (1) While these studies demonstrate that CD30 directs cytokine secretion and suggest that CD30 may play a pivotal role in the pattern of cytokine production by T cells, the precise roles of CD30 and its ligand (CD153) in T-cell development have not been clearly defined.

Limitations

This product is for research use only and is not approved for use in humans or in clinical diagnosis. Primary Antibodies are guaranteed for 1 year from date of receipt.

Customers Who Viewed This Item Also Viewed...

7268-CT
Species: Hu
Applications: BA
NB100-524
Species: Hu, Mu
Applications: Flow-IC, Flow, ICC/IF, IHC, IHC-Fr,  IHC-P, IP, WB
NBP2-79843
Species: Hu
Applications: CyTOF-ready, ELISA, Flow, ICC/IF, IHC,  IHC-P, PA, WB
NB600-1441
Species: Ca, Hu, Mu, Po
Applications: Flow, ICC/IF, IHC, IHC-Fr,  IHC-P, KD
NBP2-67309
Species: Hu, Rt
Applications: Flow, ICC/IF, IHC,  IHC-P, IP, WB
NBP2-54591
Species: Hu
Applications: CyTOF-ready, Flow, ICC/IF, IHC,  IHC-P, PA
AF114
Species: Mu
Applications: CyTOF-ready, Flow, ICC, IHC, WB
NBP1-19371
Species: Ca, Hu, Mu, Po, Rb, Rt
Applications: Dual ISH-IHC, Flow, ICC/IF, IHC, IHC-Fr,  IHC-P, Simple Western, WB
6507-IL/CF
Species: Hu
Applications: BA
202-IL
Species: Hu
Applications: BA
AF1028
Species: Hu
Applications: CyTOF-ready, Flow, IHC, WB
NBP1-49045
Species: Mu, Rt
Applications: Cell Depl, CyTOF-ready, Flow, ICC/IF, IHC, IHC-Fr,  IHC-P, IP, InhibTFunc
DR2A00
Species: Hu
Applications: ELISA
NB120-22711
Species: Hu, Mu
Applications: ELISA, Flow, ICC/IF, IHC, IHC-Fr,  IHC-P
H00003669-M01
Species: Hu
Applications: ELISA, ICC/IF, S-ELISA, WB
AF4210
Species: Hu
Applications: IHC, Simple Western, WB
485-MI
Species: Mu
Applications: BA

Publications for CD30/TNFRSF8 Antibody (NBP2-48313) (0)

There are no publications for CD30/TNFRSF8 Antibody (NBP2-48313).
By submitting your publication information earn gift cards and discounts for future purchases.

Reviews for CD30/TNFRSF8 Antibody (NBP2-48313) (0)

There are no reviews for CD30/TNFRSF8 Antibody (NBP2-48313). By submitting a review you will receive an Amazon e-Gift Card or Novus Product Discount.
  • Review with no image -- $10/€7/£6/$10 CAD/¥70 Yuan/¥1110 Yen
  • Review with an image -- $25/€18/£15/$25 CAD/¥150 Yuan/¥2500 Yen

Product General Protocols

Find general support by application which include: protocols, troubleshooting, illustrated assays, videos and webinars.

FAQs for CD30/TNFRSF8 Antibody (NBP2-48313) (0)

There are no specific FAQs related to this product. Read our general customer & technical service FAQs.

Secondary Antibodies

 

Isotype Controls

Additional CD30/TNFRSF8 Products

Research Areas for CD30/TNFRSF8 Antibody (NBP2-48313)

Find related products by research area.

Blogs on CD30/TNFRSF8.

Unlocking the Potential of Biosimilars in Immuno-Oncology
By Jennifer Jones, M.S.Biosimilar Antibodies: Imitation Meets InnovationIn the ever-evolving medical landscape, a new class of pharmaceuticals is emerging as a game-changer, poised to transform the way we approach...  Read full blog post.

Customers Who Bought This Also Bought

Contact Information

Product PDFs

Calculators

Concentration Calculator

The concentration calculator allows you to quickly calculate the volume, mass or concentration of your vial. Simply enter your mass, volume, or concentration values for your reagent and the calculator will determine the rest.

=
÷

Review this Product

Be the first to review our CD30/TNFRSF8 Antibody (SPM609) - IHC-Prediluted and receive a gift card or discount.

Bioinformatics

Gene Symbol TNFRSF8