CD163L1 Antibody (CD163L1/7972) - Azide and BSA Free

Images

 
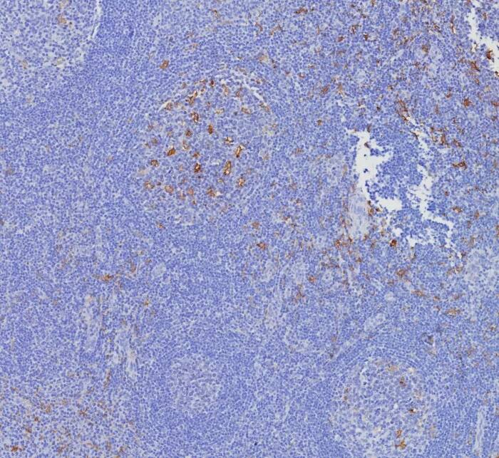
Immunohistochemistry-Paraffin: CD163L1 Antibody (CD163L1/7972) - Azide and BSA Free [NBP3-24185] - Formalin-fixed, paraffin-embedded human tonsil stained with CD163L1 Antibody (CD163L1/7972). HIER: Tris/EDTA, pH9.0, ...read more
Immunohistochemistry-Paraffin: CD163L1 Antibody (CD163L1/7972) - Azide and BSA Free [NBP3-24185] - IHC analysis of formalin-fixed, paraffin-embedded human placenta. Negative tissue control using CD163L1 Antibody ...read more

Product Details

Summary
Reactivity HuSpecies Glossary
Applications IHC
Clone
CD163L1/7972
Clonality
Monoclonal
Host
Mouse
Conjugate
Unconjugated
Format
Azide and BSA Free
Concentration
1 mg/ml

Order Details

CD163L1 Antibody (CD163L1/7972) - Azide and BSA Free Summary

Description
Antibody without azide - store at -20 to -80C.
Immunogen
Recombinant fragment of human CD163L1 protein (exact sequence is proprietary)
Localization
Cytoplasm.
Isotype
IgG
Clonality
Monoclonal
Host
Mouse
Gene
CD163L1
Purity
Protein A or G purified
Innovator's Reward
Test in a species/application not listed above to receive a full credit towards a future purchase.

Applications/Dilutions

Dilutions
  • Immunohistochemistry-Paraffin 1-2ug/ml
Application Notes
Immunohistochemistry-Paraffin: 1-2ug/ml for 30 minutes at RT. Staining of formalin-fixed tissues requires heating tissue sections in 10mM Tris with 1mM EDTA, pH 9.0, for 45 min at 95C followed by cooling at RT for 20 minutes. Optimal dilution for a specific application should be determined.

Packaging, Storage & Formulations

Storage
Store at -20 to -80C. Avoid freeze-thaw cycles.
Buffer
10mM PBS
Preservative
No Preservative
Concentration
1 mg/ml
Purity
Protein A or G purified

Alternate Names for CD163L1 Antibody (CD163L1/7972) - Azide and BSA Free

  • CD163 antigen B
  • CD163 antigen-like 1
  • CD163 molecule-like 1
  • CD163B
  • M160
  • scavenger receptor cysteine-rich type 1 protein M160
  • UNQ6434/PRO23202

Background

The CD163L1 gene encodes a member of the scavenger receptor cysteine-rich (SRCR) superfamily. Members of this family aresecreted or membrane-anchored proteins mainly found in cells associated with the immune system. The SRCR family isdefined by a 100-110 amino a

Limitations

This product is for research use only and is not approved for use in humans or in clinical diagnosis. Primary Antibodies are guaranteed for 1 year from date of receipt.

Customers Who Viewed This Item Also Viewed...

DC1630
Species: Hu
Applications: ELISA
7268-CT
Species: Hu
Applications: BA
NB100-524
Species: Hu, Mu
Applications: Flow-IC, Flow, ICC/IF, IHC, IHC-Fr,  IHC-P, IP, WB
NBP2-79843
Species: Hu
Applications: CyTOF-ready, ELISA, Flow, ICC/IF, IHC,  IHC-P, PA, WB
MAB59151
Species: Mu
Applications: WB
AF2005
Species: Hu
Applications: CyTOF-ready, Flow, IHC, WB
NBP2-38770
Species: Hu, Mu
Applications:  IHC-P, WB
NBP1-47791
Species: Hu, Mu, Rt
Applications: ChIP, ICC/IF, IHC,  IHC-P, WB
NBP1-32767
Species: Hu, Mu, Rt
Applications: ICC/IF, IHC,  IHC-P, WB
AF750
Species: Mu
Applications: AdBlk, WB
NBP2-70360
Species: Hu
Applications: CyTOF-ready, Flow, IMC, ICC/IF, IHC,  IHC-P, WB
NB100-360
Species: Hu, Mu, Rt
Applications: IB, ICC/IF, IHC,  IHC-P, IP, WB
NBP3-46020
Species: Hu, Mu, Rt
Applications: ELISA, IHC, WB
NB400-104
Species: ChHa, SyHa, Ha, Hu, Mu, Md, Po, Pm, Rb, Rt
Applications: B/N, Flow-IC, Flow, ICC/IF, IHC, IHC-Fr,  IHC-P, IP, KD, KO, PLA, Simple Western, WB
NBP1-49045
Species: Mu
Applications: Cell Depl, CyTOF-ready, Flow, ICC/IF, IHC, IHC-Fr,  IHC-P, IP, InhibTFunc
2797-CL
Species: Hu
Applications: BA
NBP3-35077
Species: Hu, Mu, Rt
Applications: ELISA, ICC/IF, IP, WB
AF4999
Species: Mu
Applications: Simple Western, WB
NBP1-90214
Species: Hu
Applications: ICC/IF, IHC,  IHC-P, WB
NBP3-24185
Species: Hu
Applications: IHC

Publications for CD163L1 Antibody (NBP3-24185) (0)

There are no publications for CD163L1 Antibody (NBP3-24185).
By submitting your publication information earn gift cards and discounts for future purchases.

Reviews for CD163L1 Antibody (NBP3-24185) (0)

There are no reviews for CD163L1 Antibody (NBP3-24185). By submitting a review you will receive an Amazon e-Gift Card or Novus Product Discount.
  • Review with no image -- $10/€7/£6/$10 CAD/¥70 Yuan/¥1110 Yen
  • Review with an image -- $25/€18/£15/$25 CAD/¥150 Yuan/¥2500 Yen

Product General Protocols

Find general support by application which include: protocols, troubleshooting, illustrated assays, videos and webinars.

FAQs for CD163L1 Antibody (NBP3-24185) (0)

There are no specific FAQs related to this product. Read our general customer & technical service FAQs.

Secondary Antibodies

 

Isotype Controls

Additional CD163L1 Products

Research Areas for CD163L1 Antibody (NBP3-24185)

Find related products by research area.

Blogs on CD163L1

There are no specific blogs for CD163L1, but you can read our latest blog posts.

Customers Who Bought This Also Bought

Contact Information

Product PDFs

Calculators

Concentration Calculator

The concentration calculator allows you to quickly calculate the volume, mass or concentration of your vial. Simply enter your mass, volume, or concentration values for your reagent and the calculator will determine the rest.

=
÷

Review this Product

Be the first to review our CD163L1 Antibody (CD163L1/7972) - Azide and BSA Free and receive a gift card or discount.

Bioinformatics

Gene Symbol CD163L1