CCDC68 Antibody - BSA Free

Images

 
Western Blot: CCDC68 Antibody [NBP2-47520] - Analysis in control (vector only transfected HEK293T lysate) and CCDC68 over-expression lysate (Co-expressed with a C-terminal myc-DDK tag (3.1 kDa) in mammalian HEK293T ...read more
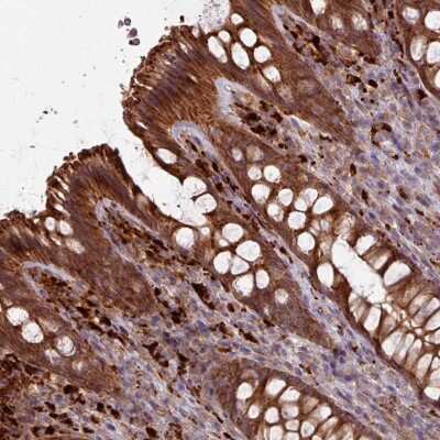
Immunohistochemistry: CCDC68 Antibody [NBP2-47520] - Staining of human colon tissue. Shows strong cytoplasmic positivity in glandular cells.

Product Details

Summary
Reactivity HuSpecies Glossary
Applications WB, IHC
Clonality
Polyclonal
Host
Rabbit
Conjugate
Unconjugated
Format
BSA Free

Order Details

View Available Formulations
Catalog# & Formulation Size Price

CCDC68 Antibody - BSA Free Summary

Description
Novus Biologicals Rabbit CCDC68 Antibody - BSA Free (NBP2-47520) is a polyclonal antibody validated for use in IHC and WB. All Novus Biologicals antibodies are covered by our 100% guarantee.
Immunogen
This antibody was developed against a recombinant protein corresponding to amino acids: MTTVTVTTEIPPRDKMEDNSALYESTSAHIIEETEYVKKIRTTLQKIRTQMFKDEIRHDSTNHKLDAKHCGNLQQGSDSEMDPS
Isotype
IgG
Clonality
Polyclonal
Host
Rabbit
Gene
CCDC68
Purity
Immunogen affinity purified
Innovator's Reward
Test in a species/application not listed above to receive a full credit towards a future purchase.

Applications/Dilutions

Dilutions
  • Immunohistochemistry 1:200 - 1:500
  • Immunohistochemistry-Paraffin 1:200 - 1:500
  • Western Blot 0.04-0.4 ug/ml
Application Notes
For IHC-Paraffin, HIER pH 6 retrieval is recommended.
Control Peptide
CCDC68 Protein (NBP2-47520PEP)

Packaging, Storage & Formulations

Storage
Store at 4C short term. Aliquot and store at -20C long term. Avoid freeze-thaw cycles.
Buffer
PBS (pH 7.2) and 40% Glycerol
Preservative
0.02% Sodium Azide
Purity
Immunogen affinity purified

Alternate Names for CCDC68 Antibody - BSA Free

  • coiled-coil domain containing 68
  • coiled-coil domain-containing protein 68
  • CTCL tumor antigen se57-1
  • CTCL-associated antigen se57-1
  • cutaneous T-cell lymphoma associated antigen
  • Cutaneous T-cell lymphoma-associated antigen se57-1
  • FLJ25368
  • SE57-1

Limitations

This product is for research use only and is not approved for use in humans or in clinical diagnosis. Primary Antibodies are guaranteed for 1 year from date of receipt.

Customers Who Viewed This Item Also Viewed...

NBP3-42950
Species: Hu
Applications: ELISA, ICC/IF, IHC, WB
AF7947
Species: Hu, Mu, Rt
Applications: ELISA, IHC, Simple Western, WB
H00004605-M02
Species: Hu
Applications: ELISA, ICC/IF, S-ELISA, WB
NBP2-38464
Species: Hu
Applications: ICC/IF, IHC,  IHC-P, KD, WB
AF3206
Species: Hu, Mu, Rt
Applications: ICC, Simple Western, WB
NB600-302
Species: Bv, Dr, Hu, Mu
Applications: ChIP, ELISA, Flow-IC, Flow, IB, ICC/IF, IHC, IHC-Fr,  IHC-P, IP, PLA, S-ELISA, Simple Western, WB
DVE00
Species: Hu
Applications: ELISA
H00006925-M03
Species: Hu, Pm, Mu, Rb, Rt
Applications: ELISA, ICC/IF, IHC,  IHC-P, IP, WB
MAB26291
Species: Mu
Applications: IHC
H00006934-M06
Species: Hu, Mu
Applications: ELISA, ICC/IF, IHC,  IHC-P, WB
6829-F6/CF
Species: Hu
Applications: BA
NBP1-51843
Species: Hu, Mu
Applications: ICC/IF, IHC,  IHC-P, Simple Western, WB
H00011065-M01
Species: Hu, Rt
Applications: ELISA, ICC/IF, IHC,  IHC-P, WB
AF276
Species: Hu
Applications: Block, CyTOF-ready, Flow, ICC, IHC, KO, Simple Western, WB
NBP2-54704
Species: Hu
Applications: IHC,  IHC-P
NBP3-46274
Species: Hu
Applications: ELISA, IHC, WB
AF847
Species: Hu, Mu, Rt
Applications: CyTOF-ready, IHC, ICFlow, KO, Simple Western, WB
NBP2-47520
Species: Hu
Applications: WB, IHC

Publications for CCDC68 Antibody (NBP2-47520) (0)

There are no publications for CCDC68 Antibody (NBP2-47520).
By submitting your publication information earn gift cards and discounts for future purchases.

Reviews for CCDC68 Antibody (NBP2-47520) (0)

There are no reviews for CCDC68 Antibody (NBP2-47520). By submitting a review you will receive an Amazon e-Gift Card or Novus Product Discount.
  • Review with no image -- $10/€7/£6/$10 CAD/¥70 Yuan/¥1110 Yen
  • Review with an image -- $25/€18/£15/$25 CAD/¥150 Yuan/¥2500 Yen

Product General Protocols

Find general support by application which include: protocols, troubleshooting, illustrated assays, videos and webinars.

Video Protocols

WB Video Protocol

FAQs for CCDC68 Antibody (NBP2-47520) (0)

There are no specific FAQs related to this product. Read our general customer & technical service FAQs.

Customers Who Bought This Also Bought

Contact Information

Product PDFs

Calculators

Concentration Calculator

The concentration calculator allows you to quickly calculate the volume, mass or concentration of your vial. Simply enter your mass, volume, or concentration values for your reagent and the calculator will determine the rest.

=
÷

Review this Product

Be the first to review our CCDC68 Antibody - BSA Free and receive a gift card or discount.

Bioinformatics

Gene Symbol CCDC68