CCDC5 Antibody - BSA Free

Images

 
Immunocytochemistry/ Immunofluorescence: CCDC5 Antibody [NBP1-88159] - Staining of human cell line U-2 OS shows localization to cytosol & centrosome. Antibody staining is shown in green.
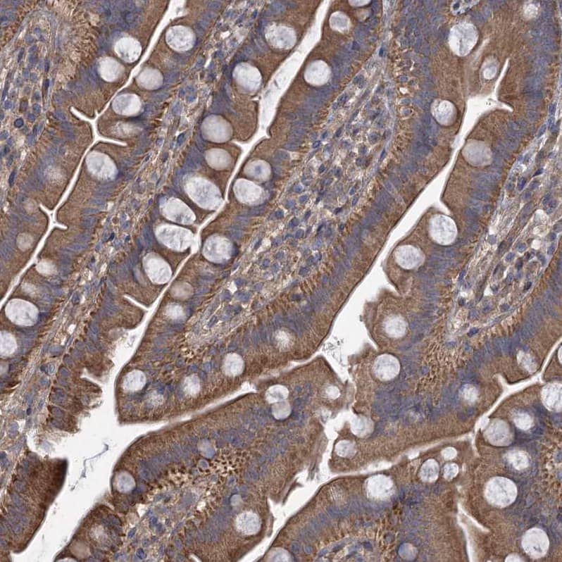
Staining of human small intestine shows strong cytoplasmic positivity in glandular cells.
Staining of human liver shows strong cytoplasmic positivity in hepatocytes.
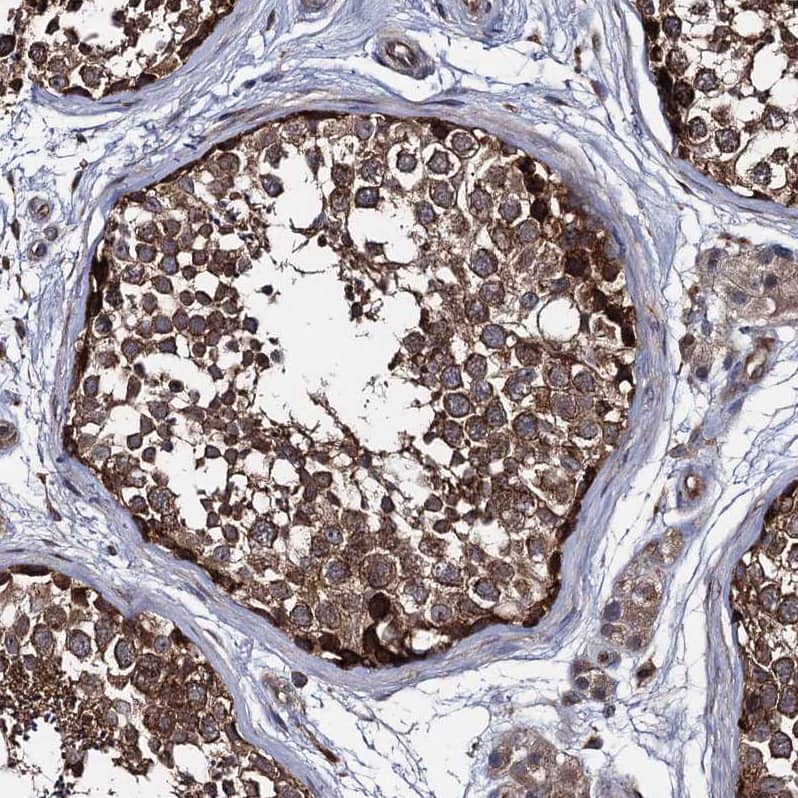
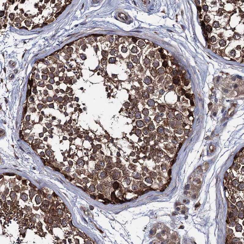
Staining of human testis shows strong cytoplasmic positivity in cells in seminiferous ducts.
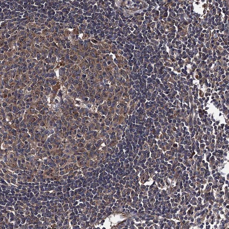
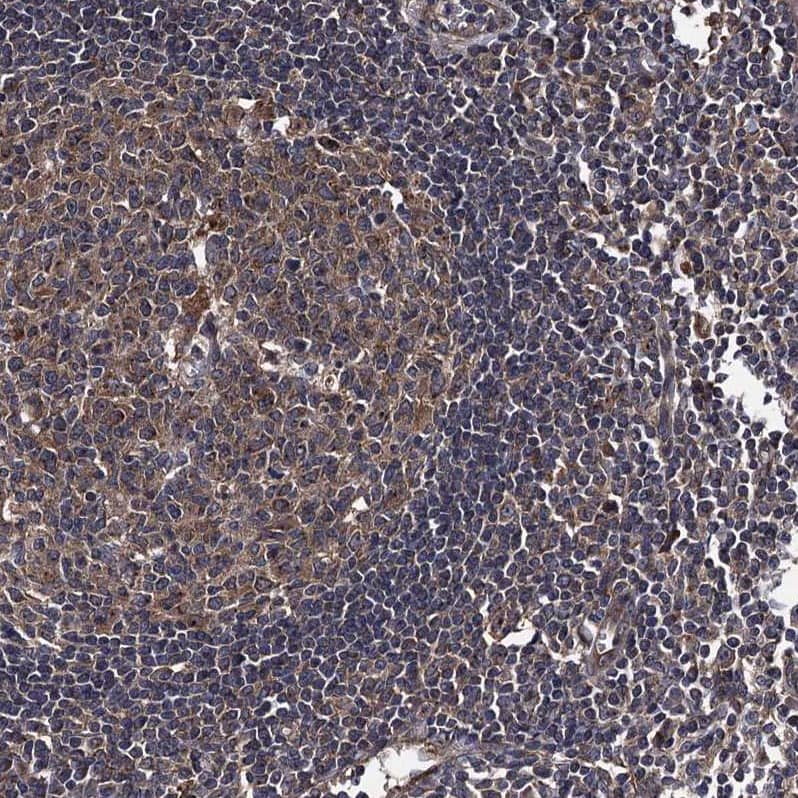
Staining of human lymph node shoes moderate cytoplasmic positivity in germinal center cells.
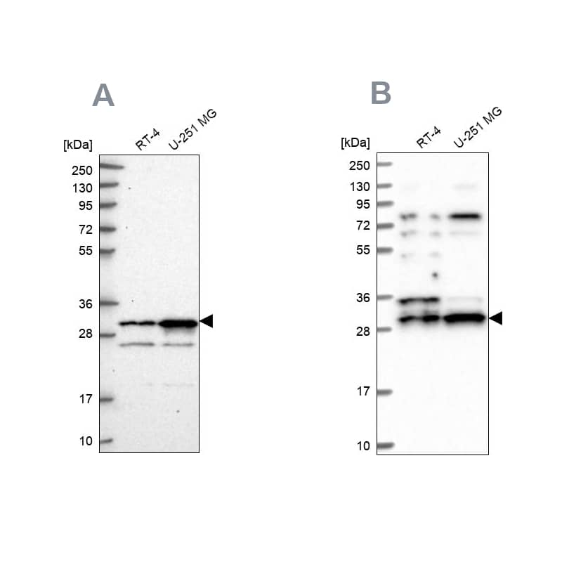
Independent Antibodies: Analysis using Anti-HAUS1 antibody NBP1-88159 (A) shows similar pattern to independent antibody NBP1-88158 (B).

Product Details

Summary
Reactivity HuSpecies Glossary
Applications WB, ICC/IF, IHC
Clonality
Polyclonal
Host
Rabbit
Conjugate
Unconjugated
Format
BSA Free
Validated by:
 

Independent Antibodies

       

Order Details

View Available Formulations
Catalog# & Formulation Size Price

CCDC5 Antibody - BSA Free Summary

Description
Novus Biologicals Rabbit CCDC5 Antibody - BSA Free (NBP1-88159) is a polyclonal antibody validated for use in IHC, WB and ICC/IF. All Novus Biologicals antibodies are covered by our 100% guarantee.
Immunogen
This antibody was developed against Recombinant Protein corresponding to amino acids: QEERETQVAAWLKKIFGDHPIPQYEVNPRTTEILHHLSERNRVRDRDVYLVIEDLKQKASEYESEAKYLQDLLMESVNFSPANLSSTGSRYLNALVD
Isotype
IgG
Clonality
Polyclonal
Host
Rabbit
Gene
HAUS1
Purity
Immunogen affinity purified
Innovator's Reward
Test in a species/application not listed above to receive a full credit towards a future purchase.

Applications/Dilutions

Dilutions
  • Immunocytochemistry/ Immunofluorescence 0.25-2 ug/ml
  • Immunohistochemistry 1:200 - 1:500
  • Immunohistochemistry-Paraffin 1:200 - 1:500
  • Western Blot 0.04-0.4 ug/ml
Application Notes
For IHC-Paraffin, HIER pH 6 retrieval is recommended. ICC/IF Fixation Permeabilization: Use PFA/Triton X-100.
Control Peptide
CCDC5 Protein (NBP1-88159PEP)

Reactivity Notes

Immunogen displays the following percentage of sequence identity for non-tested species: Mouse (82%), Rat (85%)

Packaging, Storage & Formulations

Storage
Store at 4C short term. Aliquot and store at -20C long term. Avoid freeze-thaw cycles.
Buffer
PBS (pH 7.2) and 40% Glycerol
Preservative
0.02% Sodium Azide
Purity
Immunogen affinity purified

Alternate Names for CCDC5 Antibody - BSA Free

  • CCDC5Enhancer of invasion-cluster
  • coiled-coil domain containing 5 (spindle associated)
  • FLJ40084
  • HAUS augmin-like complex subunit 1
  • HAUS augmin-like complex, subunit 1
  • HEI-CCoiled-coil domain-containing protein 5
  • HEICFLJ21094
  • HsT1461

Background

CCDC5 belongs to the HAUS1 family. More specifically, CCDC5 is a component of the HAUS augmen complex. Originally founded in Drosophila, the complex plays an important role in spindle assembly, maintenance of centrosome integrity and completion of cytokinesis.

Limitations

This product is for research use only and is not approved for use in humans or in clinical diagnosis. Primary Antibodies are guaranteed for 1 year from date of receipt.

Customers Who Viewed This Item Also Viewed...

NBP1-88762
Species: Hu
Applications: ICC/IF, IHC,  IHC-P, WB
NBP1-80786
Species: Hu
Applications: ICC/IF, IHC,  IHC-P, WB
NBP3-47039
Species: Hu
Applications: ELISA, ICC/IF, IHC
NBP2-51790
Species: Hu
Applications: PAGE
NBP2-93780
Species: Hu, Mu, Rt
Applications: ELISA, ICC/IF, WB
291-G1
Species: Hu
Applications: BA
H00051053-M01
Species: Hu
Applications: ELISA, ICC/IF, IHC,  IHC-P, WB
NBP1-56761
Species: Hu
Applications: WB
NBP1-06398
Species: Hu, Pm, Rt
Applications: IB, ICC/IF, IHC,  IHC-P, WB
NBP2-16433
Species: Hu, Mu, Rt
Applications: ICC/IF, WB
NBP1-58906
Species: Hu, Mu
Applications: ICC/IF, IHC, IHC-Fr,  IHC-P, WB
AF1443
Species: Mu, Rt
Applications: ICC, IHC, Simple Western, WB
NBP2-82057
Species: Hu, Mu, Rt
Applications: ELISA, ICC/IF, IHC,  IHC-P, WB
NBP3-41243
Species: Hu
Applications: IHC,  IHC-P, WB
NBP1-80665
Species: Hu
Applications: IHC,  IHC-P, WB
NB120-2788
Species: Bv, Fe, Fi, Ha, Hu, Mu, Pm, Rt
Applications: B/N, Flow, IB, ICC/IF, IHC, IHC-Fr,  IHC-P, IP, Simple Western, WB
NBP1-88159
Species: Hu
Applications: WB, ICC/IF, IHC

Publications for CCDC5 Antibody (NBP1-88159) (0)

There are no publications for CCDC5 Antibody (NBP1-88159).
By submitting your publication information earn gift cards and discounts for future purchases.

Reviews for CCDC5 Antibody (NBP1-88159) (0)

There are no reviews for CCDC5 Antibody (NBP1-88159). By submitting a review you will receive an Amazon e-Gift Card or Novus Product Discount.
  • Review with no image -- $10/€7/£6/$10 CAD/¥70 Yuan/¥1110 Yen
  • Review with an image -- $25/€18/£15/$25 CAD/¥150 Yuan/¥2500 Yen

Product General Protocols

Find general support by application which include: protocols, troubleshooting, illustrated assays, videos and webinars.

Video Protocols

WB Video Protocol
ICC/IF Video Protocol

FAQs for CCDC5 Antibody (NBP1-88159) (0)

There are no specific FAQs related to this product. Read our general customer & technical service FAQs.

Secondary Antibodies

 

Isotype Controls

Additional CCDC5 Products

Research Areas for CCDC5 Antibody (NBP1-88159)

Find related products by research area.

Blogs on CCDC5

There are no specific blogs for CCDC5, but you can read our latest blog posts.

Customers Who Bought This Also Bought

Contact Information

Product PDFs

Calculators

Concentration Calculator

The concentration calculator allows you to quickly calculate the volume, mass or concentration of your vial. Simply enter your mass, volume, or concentration values for your reagent and the calculator will determine the rest.

=
÷

Review this Product

Be the first to review our CCDC5 Antibody - BSA Free and receive a gift card or discount.

Bioinformatics

Gene Symbol HAUS1