Caveolin-2 Antibody (SY22-05)

Images

 
Western Blot: Caveolin-2 Antibody (SY22-05) [NBP2-67423] - Analysis of caveolin-2 on HUVEC cell lysates using anti-caveolin-2 antibody at 1/1,000 dilution.
Immunocytochemistry/ Immunofluorescence: Caveolin-2 Antibody (SY22-05) [NBP2-67423] - Staining caveolin-2 in Hela cells (green). The nuclear counter stain is DAPI (blue). Cells were fixed in paraformaldehyde, ...read more
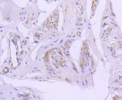
Immunohistochemistry-Paraffin: Caveolin-2 Antibody (SY22-05) [NBP2-67423] - Immunohistochemical analysis of paraffin-embedded human uterus tissue using anti-caveolin-2 antibody. Counter stained with hematoxylin.
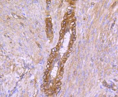
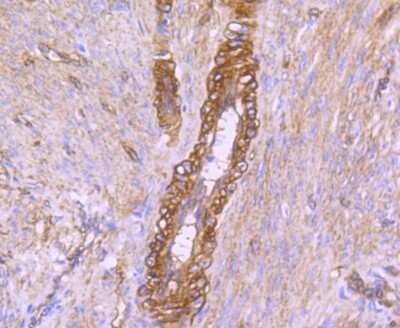
Immunohistochemistry-Paraffin: Caveolin-2 Antibody (SY22-05) [NBP2-67423] - Analysis of paraffin-embedded human cervix uteri tissue using anti-caveolin-2 antibody. Counter stained with hematoxylin.

Product Details

Summary
Product Discontinued
View other related Caveolin-2 Primary Antibodies

Order Details


    • Catalog Number
      NBP2-67423
    • Availability
      Product Discontinued

    Can't find what you are looking for? Use our Antibody Concierge Service & we will help you locate your antibody!

    Or feel free to contact us for alternative products.

Caveolin-2 Antibody (SY22-05) Summary

Additional Information
Recombinant Monoclonal Antibody.
Immunogen
Synthetic peptide within Human Caveolin-2 aa 1-50 / 162. (SwissProt: P51636 Human)
Localization
Cytoplasm, Nucleus, Membrane.
Isotype
IgG
Clonality
Monoclonal
Host
Rabbit
Gene
CAV2
Purity
Protein A purified
Innovator's Reward
Test in a species/application not listed above to receive a full credit towards a future purchase.

Applications/Dilutions

Dilutions
  • Immunocytochemistry/ Immunofluorescence 1:50-1:200
  • Immunohistochemistry
  • Immunohistochemistry-Paraffin 1:50-1:200
  • Immunoprecipitation
  • Western Blot 1:1000-1:2000

Packaging, Storage & Formulations

Storage
Store at 4C short term. Aliquot and store at -20C long term. Avoid freeze-thaw cycles.
Buffer
TBS (pH7.4), 0.05% BSA, 40% Glycerol
Preservative
0.05% Sodium Azide
Concentration
1 mg/ml
Purity
Protein A purified

Alternate Names for Caveolin-2 Antibody (SY22-05)

  • CAV
  • CAV2
  • caveolae protein, 20-kD
  • caveolin 2 isoform a and b
  • caveolin 2
  • Caveolin2
  • Caveolin-2
  • MGC12294

Background

Caveolae are cholesterol/sphingolipid-rich microdomains of the plasma membrane that have been implicated in signal transduction and vesicular trafficking. Caveolins are a family of caveolae-associated integral membrane proteins (1). Caveolin, a 21- to 24-kDa integral membrane protein, is a principal component of caveolae membranes. Caveolin interacts directly with heterotrimeric guanine nucleotide binding proteins (G proteins) and can functionally regulate their activity. Caveolins 1 and 2 are similar in most respects, however, caveolin-1 and caveolin-2 differ in their functional interactions with heterotrimeric G proteins, possibly explaining why caveolin-1 and -2 are coexpressed within a single cell (2). Caveolin-2 is up-regulated in response to the mechanical injury of differentiated PC12 cells; up-regulation of caveolin-2 under these conditions is strictly dependent on continued treatment with NGF. Robust expression of caveolin-1 and -2 is also observed along the entire cell surface of DRG neurons, including high levels on growth cones. These findings demonstrate that neuronal cells express caveolins (1).

Limitations

This product is for research use only and is not approved for use in humans or in clinical diagnosis. Primary Antibodies are guaranteed for 1 year from date of receipt.

Customers Who Viewed This Item Also Viewed...

NB100-615
Species: Hu, Mu, Rt, Sh
Applications: Flow, IB, ICC/IF, IHC, IHC-Fr,  IHC-P, IP, WB
NB110-5029
Species: Hu, Mu, Rt
Applications: Flow, ICC/IF, IHC,  IHC-P, IP, WB
NB300-500
Species: Am, Bv, Ca, Dr, Hu, Mu, Po, Rt, Sh
Applications: IHC, IHC-Fr,  IHC-P, WB
NBP2-22203
Species: Hu, Pm, Mu, Rt
Applications: ELISA, Flow, ICC/IF, IHC,  IHC-P, WB
AF1230
Species: Hu, Mu, Rt
Applications: IHC, KO, WB
MAB1417
Species: Bv, Hu, Mu
Applications: ICC, IHC
NBP1-76919
Species: Hu, Mu, Rt
Applications: ELISA, ICC/IF, IHC,  IHC-P, WB
236-EG
Species: Hu
Applications: BA
NB300-605
Species: Hu, Mu, Po, Rt
Applications: Flow, IB, ICC/IF, IHC, IHC-Fr,  IHC-P, In vitro, WB
NBP2-12793
Species: Hu, Mu
Applications: IHC,  IHC-P, IP, WB
NBP3-38363
Species: Hu, Mu, Rt
Applications: ELISA, IHC,  IHC-P, WB
NB100-858
Species: Gp, Hu, Mu, Rt
Applications: Flow, ICC/IF, IHC-WhMt, IHC, IHC-Fr,  IHC-P, PEP-ELISA, WB
NBP1-49533
Species: Hu, Mu, Pl, Rt
Applications: Flow-IC, Flow, ICC/IF, IHC,  IHC-P, KD, WB
AF887
Species: Hu, Mu, Rt
Applications: CyTOF-ready, IHC, ICFlow, Simple Western, WB
NBP2-33950
Species: Hu, Mu
Applications: ICC/IF, IHC,  IHC-P, WB
H00342184-M07
Species: Hu
Applications: ELISA, ICC/IF, WB
AF6989
Species: Mu
Applications: IHC
AF231
Species: Hu
Applications: CyTOF-ready, Dual ISH-IHC, ELISA(Cap), ELISA(Det), ELISA(Sta), Flow, ICC, IHC, IP, Simple Western, WB

Publications for Caveolin-2 Antibody (NBP2-67423) (0)

There are no publications for Caveolin-2 Antibody (NBP2-67423).
By submitting your publication information earn gift cards and discounts for future purchases.

Reviews for Caveolin-2 Antibody (NBP2-67423) (0)

There are no reviews for Caveolin-2 Antibody (NBP2-67423). By submitting a review you will receive an Amazon e-Gift Card or Novus Product Discount.
  • Review with no image -- $10/€7/£6/$10 CAD/¥70 Yuan/¥1110 Yen
  • Review with an image -- $25/€18/£15/$25 CAD/¥150 Yuan/¥2500 Yen

Product General Protocols

Find general support by application which include: protocols, troubleshooting, illustrated assays, videos and webinars.

Video Protocols

WB Video Protocol
ICC/IF Video Protocol

FAQs for Caveolin-2 Antibody (NBP2-67423) (0)

There are no specific FAQs related to this product. Read our general customer & technical service FAQs.

Secondary Antibodies

 

Isotype Controls

Additional Caveolin-2 Products

Research Areas for Caveolin-2 Antibody (NBP2-67423)

Find related products by research area.

Blogs on Caveolin-2

There are no specific blogs for Caveolin-2, but you can read our latest blog posts.

Contact Information

Product PDFs

Calculators

Concentration Calculator

The concentration calculator allows you to quickly calculate the volume, mass or concentration of your vial. Simply enter your mass, volume, or concentration values for your reagent and the calculator will determine the rest.

=
÷

Review this Product

Be the first to review our Caveolin-2 Antibody (SY22-05) and receive a gift card or discount.

Bioinformatics

Gene Symbol CAV2