Cathepsin O Antibody

Images

 
Western Blot: Cathepsin O Antibody [NBP1-90610] - Analysis in control (vector only transfected HEK293T lysate) and CTSO over-expression lysate (Co-expressed with a C-terminal myc-DDK tag (3.1 kDa) in mammalian HEK293T ...read more
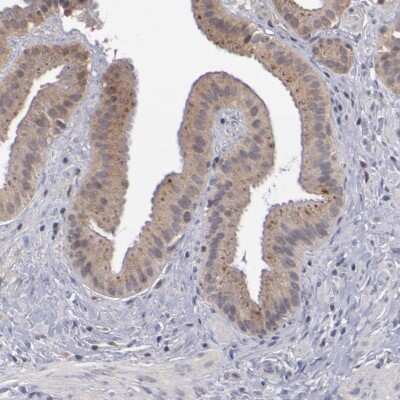
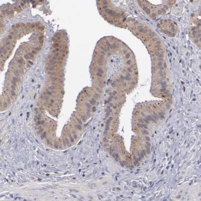
Immunohistochemistry-Paraffin: Cathepsin O Antibody [NBP1-90610] - Staining of human gallbladder shows cytoplasmic positivity in glandular cells.

Product Details

Summary
Product Discontinued
View other related Cathepsin O Primary Antibodies

Order Details


    • Catalog Number
      NBP1-90610
    • Availability
      Product Discontinued

    Can't find what you are looking for? Use our Antibody Concierge Service & we will help you locate your antibody!

    Or feel free to contact us for alternative products.

Cathepsin O Antibody Summary

Immunogen
This antibody was developed against Recombinant Protein corresponding to amino acids: QFSYLFPEEFKAIYLRSKPSKFPRYSAEVHMSIPNVSLPLRFDWRDKQVVTQVRNQQMCGGCWAFSVVGAVESAYAIKGKPLEDLSVQQVIDCSYNNYGCNGGSTL
Isotype
IgG
Clonality
Polyclonal
Host
Rabbit
Gene
CTSO
Purity
Immunogen affinity purified
Innovator's Reward
Test in a species/application not listed above to receive a full credit towards a future purchase.

Applications/Dilutions

Dilutions
  • Immunohistochemistry 1:20 - 1:50
  • Immunohistochemistry-Paraffin 1:20 - 1:50
  • Western Blot 0.04-0.4 ug/ml
Application Notes
For IHC-Paraffin, HIER pH 6 retrieval is recommended.

Packaging, Storage & Formulations

Storage
Store at 4C short term. Aliquot and store at -20C long term. Avoid freeze-thaw cycles.
Buffer
PBS (pH 7.2) and 40% Glycerol
Preservative
0.02% Sodium Azide
Purity
Immunogen affinity purified

Alternate Names for Cathepsin O Antibody

  • Cathepsin O
  • CTSO
  • CTSO1
  • EC 3.4.22.42

Background

The protein encoded by the Cathepsin O gene is a cysteine proteinase and a member of the papain superfamily. This proteolyticenzyme is involved in cellular protein degradation and turnover. The recombinant form of this enzyme was shown todegrade synthetic peptides typically used as substrates for cysteine proteinases and its proteolytic activity wasabolished by an inhibitor of cyteine proteinase. (provided by RefSeq)

Limitations

This product is for research use only and is not approved for use in humans or in clinical diagnosis. Primary Antibodies are guaranteed for 1 year from date of receipt.

Customers Who Viewed This Item Also Viewed...

H00001513-M01
Species: Hu
Applications: ELISA, ICC/IF, IHC,  IHC-P, WB
NBP2-67471
Species: Hu, Mu, Rt
Applications: ICC/IF, IHC,  IHC-P, WB
AF1183
Species: Hu
Applications: ELISA(Cap), ELISA(Det), ELISA(Sta), IHC, IP, Neut, WB
NB600-302
Species: Bv, Dr, Hu, Mu
Applications: ChIP, ELISA, Flow-IC, Flow, IB, ICC/IF, IHC, IHC-Fr,  IHC-P, IP, PLA, S-ELISA, Simple Western, WB
NBP2-50037
Species: Hu, Mu, Rt
Applications: ICC/IF, IHC, KO, WB
NBP1-83302
Species: Hu, Mu, Rt
Applications: IHC,  IHC-P, WB
MM200
Species: Mu
Applications: ELISA
NB100-74503
Species: Mu, Rt
Applications: ICC/IF, WB
MAB2457
Species: Hu, Mu
Applications: CyTOF-ready, ICC, ICFlow, WB
MAB7876
Species: Hu
Applications: CyTOF-ready, Flow
NBP1-86687
Species: Hu
Applications: IHC,  IHC-P, WB
NBP2-81883
Species: Hu
Applications: ELISA, WB
NBP2-45788
Species: Ce, Hu
Applications: IHC,  IHC-P, WB
NBP1-82648
Species: Hu
Applications: ICC/IF, IHC,  IHC-P, WB
NBP1-86124
Species: Hu, Mu, Rt
Applications: IHC,  IHC-P, WB
NB600-1294
Species: Am, Ca, Ch, Hu, Mu, Rt
Applications: Flow, ICC/IF, IHC,  IHC-P, IP, WB
NBP2-93574
Species: Hu, Mu, Rt
Applications: ICC/IF, IHC,  IHC-P, WB
NBP3-48071
Species: Hu, Mu, Rt
Applications: ELISA, IHC, WB
NBP1-58359
Species: Hu
Applications: IHC,  IHC-P, WB
NBP1-90610
Species: Hu
Applications: WB, IHC

Publications for Cathepsin O Antibody (NBP1-90610) (0)

There are no publications for Cathepsin O Antibody (NBP1-90610).
By submitting your publication information earn gift cards and discounts for future purchases.

Reviews for Cathepsin O Antibody (NBP1-90610) (0)

There are no reviews for Cathepsin O Antibody (NBP1-90610). By submitting a review you will receive an Amazon e-Gift Card or Novus Product Discount.
  • Review with no image -- $10/€7/£6/$10 CAD/¥70 Yuan/¥1110 Yen
  • Review with an image -- $25/€18/£15/$25 CAD/¥150 Yuan/¥2500 Yen

Product General Protocols

Find general support by application which include: protocols, troubleshooting, illustrated assays, videos and webinars.

Video Protocols

WB Video Protocol

FAQs for Cathepsin O Antibody (NBP1-90610) (0)

There are no specific FAQs related to this product. Read our general customer & technical service FAQs.

Contact Information

Product PDFs

Calculators

Concentration Calculator

The concentration calculator allows you to quickly calculate the volume, mass or concentration of your vial. Simply enter your mass, volume, or concentration values for your reagent and the calculator will determine the rest.

=
÷

Review this Product

Be the first to review our Cathepsin O Antibody and receive a gift card or discount.

Bioinformatics

Gene Symbol CTSO