Catenin alpha 1 Antibody (SC0619)

Images

 
Western Blot: Catenin alpha 1 Antibody (SC0619) [NBP2-67588] - Analysis of alpha 1 Catenin on different lysates using anti-alpha 1 Catenin antibody at 1/1,000 dilution. Positive control: Lane 1: Hela Lane 2: HepG2 Lane ...read more
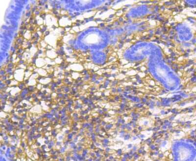
Immunohistochemistry-Paraffin: Catenin alpha 1 Antibody (SC0619) [NBP2-67588] - Analysis of paraffin-embedded mouse uterus tissue using anti-alpha 1 Catenin antibody. Counter stained with hematoxylin.
Flow Cytometry: Catenin alpha 1 Antibody (SC0619) [NBP2-67588] - Analysis of Hela cells with alpha 1 Catenin antibody at 1/50 dilution (red) compared with an unlabelled control (cells without incubation with primary ...read more
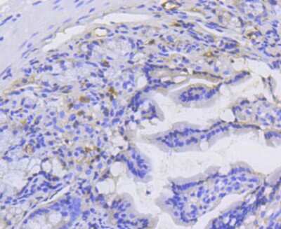
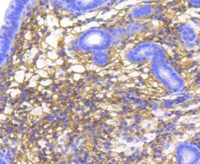
Immunohistochemistry-Paraffin: Catenin alpha 1 Antibody (SC0619) [NBP2-67588] - Analysis of paraffin-embedded mouse colon tissue using anti-alpha 1 Catenin antibody. Counter stained with hematoxylin.
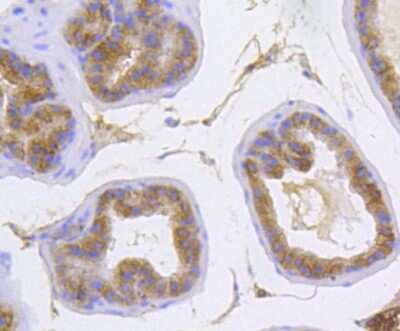
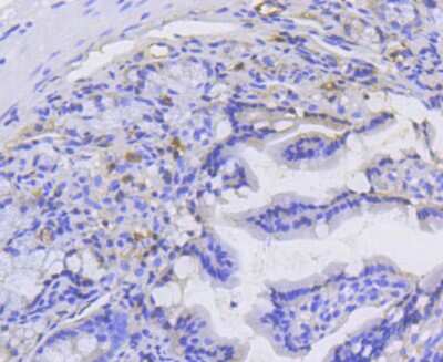
Immunohistochemistry-Paraffin: Catenin alpha 1 Antibody (SC0619) [NBP2-67588] - Analysis of paraffin-embedded mouse prostate tissue using anti-alpha 1 Catenin antibody. Counter stained with hematoxylin.

Product Details

Summary
Product Discontinued
View other related Catenin alpha 1 Primary Antibodies

Order Details


    • Catalog Number
      NBP2-67588
    • Availability
      Product Discontinued

    Can't find what you are looking for? Use our Antibody Concierge Service & we will help you locate your antibody!

    Or feel free to contact us for alternative products.

Catenin alpha 1 Antibody (SC0619) Summary

Additional Information
Recombinant Monoclonal Antibody.
Immunogen
Recombinant protein within Human Catenin alpha 1 aa 1-90 / 906. (SwissProt: P35221 Human; SwissProt: P26231 Mouse; Entrez Gene: 307505 Rat)
Localization
Cytoplasm, Cell junction, Cell membrane.
Isotype
IgG
Clonality
Monoclonal
Host
Rabbit
Gene
CTNNA1
Purity
Protein A purified
Innovator's Reward
Test in a species/application not listed above to receive a full credit towards a future purchase.

Applications/Dilutions

Dilutions
  • Flow Cytometry 1:50-1:100
  • Immunocytochemistry/ Immunofluorescence 1:50-1:200
  • Immunohistochemistry
  • Immunohistochemistry-Paraffin 1:50-1:200
  • Immunoprecipitation
  • Western Blot 1:1000-1:2000

Packaging, Storage & Formulations

Storage
Store at 4C short term. Aliquot and store at -20C long term. Avoid freeze-thaw cycles.
Buffer
TBS (pH7.4), 0.05% BSA, 40% Glycerol
Preservative
0.05% Sodium Azide
Concentration
1 mg/ml
Purity
Protein A purified

Alternate Names for Catenin alpha 1 Antibody (SC0619)

  • Alpha E-catenin
  • alpha-catenin
  • alpha-E-catenin
  • alphaE-catenin
  • cadherin-associated protein
  • CAP102
  • catenin (cadherin-associated protein), alpha 1 (102kD)
  • catenin (cadherin-associated protein), alpha 1, 102kDa
  • catenin alpha-1
  • FLJ36832
  • FLJ52416
  • Renal carcinoma antigen NY-REN-13

Background

Cadherin and catenin compose cell adhesion complex and are indispensable for tight cell-cell adhesion. Dysfunction of this adhesion complex causes dissociation of cancer cells from primary tumor nodules, thus possibly contributing to cancer invasion and metastasis (1). At least three proteins (alpha, beta, and gamma catenin) comprise the cytoplasmic domain of the cadherin cell-cell adhesion complex. Data, with the reported structure of other catenin genes, suggest that vinculin and alpha-catenin generate a superfamily of proteins mediating membrane-cytoskeletal associations (2). Presenilin-1 (PS1) overexpression in human kidney cells enhances cell-cell adhesion and data show that PS1 incorporates into the cadherin/catenin adhesion system and regulates cell-cell adhesion. PS1 concentrates at intercellular contacts in epithelial tissue; in brain, it forms complexes with both E- and N-cadherin and concentrates at synaptic adhesions (3).

Limitations

This product is for research use only and is not approved for use in humans or in clinical diagnosis. Primary Antibodies are guaranteed for 1 year from date of receipt.

Customers Who Viewed This Item Also Viewed...

AF748
Species: Hu, Mu
Applications: CyTOF-ready, Dual ISH-IHC, Flow, ICC, IHC, Simple Western, WB
AF1329
Species: Hu, Mu, Rt
Applications: ChIP, CyTOF-ready, ICC, IHC, ICFlow, Simple Western, WB
AF1329
Species: Hu, Mu, Rt
Applications: ChIP, CyTOF-ready, ICC, IHC, ICFlow, Simple Western, WB
NBP2-45646
Species: Ca, Hu, Mu, Rt
Applications: IHC,  IHC-P, WB
NBP2-54527
Species: Bv, Ca, Ch, Fe, Hu, Mu, Rt
Applications: CyTOF-ready, Flow, ICC/IF,  IHC-P, WB
NBP1-48309
Species: Hu, Mu, Rt
Applications: Flow-IC, Flow, ICC/IF, IHC,  IHC-P, IP, Simple Western, WB
NB100-91662
Species: Hu, Mu, Rt
Applications: Flow, ICC/IF, IHC,  IHC-P, Simple Western, WB
MAB6896
Species: Hu, Mu, Rt
Applications: IHC, Simple Western, WB
NBP1-85047
Species: Hu, Mu, Po, Rt
Applications: ICC/IF, IHC,  IHC-P, WB
AF1002
Species: Mu
Applications: Dual ISH-IHC, IHC, Simple Western, WB
AF4885
Species: Mu
Applications: IP, WB
NBP1-92192
Species: Hu, Mu, Rt
Applications: ICC/IF, IHC,  IHC-P, IP, WB
NBP3-16628
Species: Hu, Mu, Rt
Applications: IHC,  IHC-P, WB
NB100-79781
Species: Hu
Applications: IHC,  IHC-P, IP, WB
NBP2-14119
Species: Hu
Applications: IHC,  IHC-P
NB100-524
Species: Hu, Mu
Applications: Flow-IC, Flow, ICC/IF, IHC, IHC-Fr,  IHC-P, IP, WB
7268-CT
Species: Hu
Applications: BA
NBP2-67588
Species: Hu, Mu, Rt
Applications: WB, Flow, ICC/IF, IHC, IP

Publications for Catenin alpha 1 Antibody (NBP2-67588) (0)

There are no publications for Catenin alpha 1 Antibody (NBP2-67588).
By submitting your publication information earn gift cards and discounts for future purchases.

Reviews for Catenin alpha 1 Antibody (NBP2-67588) (0)

There are no reviews for Catenin alpha 1 Antibody (NBP2-67588). By submitting a review you will receive an Amazon e-Gift Card or Novus Product Discount.
  • Review with no image -- $10/€7/£6/$10 CAD/¥70 Yuan/¥1110 Yen
  • Review with an image -- $25/€18/£15/$25 CAD/¥150 Yuan/¥2500 Yen

Product General Protocols

Video Protocols

WB Video Protocol
ICC/IF Video Protocol

FAQs for Catenin alpha 1 Antibody (NBP2-67588) (0)

There are no specific FAQs related to this product. Read our general customer & technical service FAQs.

Secondary Antibodies

 

Isotype Controls

Additional Catenin alpha 1 Products

Research Areas for Catenin alpha 1 Antibody (NBP2-67588)

Find related products by research area.

Blogs on Catenin alpha 1

There are no specific blogs for Catenin alpha 1, but you can read our latest blog posts.

Contact Information

Product PDFs

Calculators

Concentration Calculator

The concentration calculator allows you to quickly calculate the volume, mass or concentration of your vial. Simply enter your mass, volume, or concentration values for your reagent and the calculator will determine the rest.

=
÷

Review this Product

Be the first to review our Catenin alpha 1 Antibody (SC0619) and receive a gift card or discount.

Bioinformatics

Gene Symbol CTNNA1