Caspase-7 Antibody (SD20-57) - Pro form

Images

 
Western Blot: Caspase-7 Antibody (SD20-57) - Pro form [NBP2-67756] - Western blot analysis of Caspase-7 on human lung lysates using anti-Caspase-7 antibody at 1/1,000 dilution.
Immunocytochemistry/ Immunofluorescence: Caspase-7 Antibody (SD20-57) - Pro form [NBP2-67756] - Staining pro Caspase 7 in HepG2 cells (green). The nuclear counter stain is DAPI (blue). Cells were fixed in ...read more
Immunohistochemistry-Paraffin: Caspase-7 Antibody (SD20-57) - Pro form [NBP2-67756] - Analysis of paraffin-embedded human liver tissue using anti-pro Caspase 7 antibody. Counter stained with hematoxylin.
Western Blot: Caspase-7 Antibody (SD20-57) - Pro form [NBP2-67756] - Analysis of pro Caspase 7 on human lung lysates using anti-pro Caspase 7 antibody at 1/1,000 dilution.
Immunocytochemistry/ Immunofluorescence: Caspase-7 Antibody (SD20-57) - Pro form [NBP2-67756] - Staining pro Caspase 7 in Hela cells (green). The nuclear counter stain is DAPI (blue). Cells were fixed in ...read more
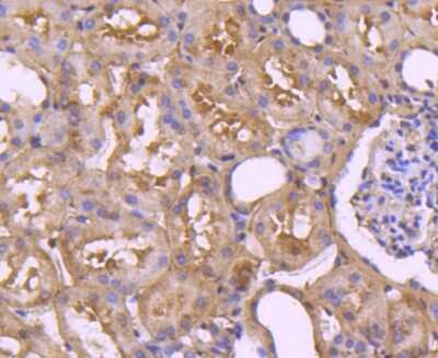
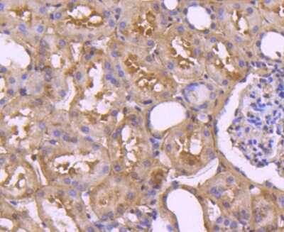
Immunohistochemistry-Paraffin: Caspase-7 Antibody (SD20-57) - Pro form [NBP2-67756] - Analysis of paraffin-embedded human kidney tissue using anti-pro Caspase 7 antibody. Counter stained with hematoxylin.

Product Details

Summary
Product Discontinued
View other related Caspase-7 Primary Antibodies

Order Details


    • Catalog Number
      NBP2-67756
    • Availability
      Product Discontinued

    Can't find what you are looking for? Use our Antibody Concierge Service & we will help you locate your antibody!

    Or feel free to contact us for alternative products.

Caspase-7 Antibody (SD20-57) - Pro form Summary

Additional Information
Recombinant Monoclonal Antibody.
Immunogen
Synthetic peptide within Human Caspase-7 aa 1-50 / 303. (SwissProt: P55210 Human)
Localization
Cytoplasm.
Isotype
IgG
Clonality
Monoclonal
Host
Rabbit
Gene
CASP7
Purity
Protein A purified
Innovator's Reward
Test in a species/application not listed above to receive a full credit towards a future purchase.

Applications/Dilutions

Dilutions
  • Immunocytochemistry/ Immunofluorescence 1:50-1:200
  • Immunohistochemistry
  • Immunohistochemistry-Paraffin 1:50-1:200
  • Western Blot 1:1000-1:2000
Control
Jurkat Staurosporine Treated / Untreated Cell Lysate

Packaging, Storage & Formulations

Storage
Store at 4C short term. Aliquot and store at -20C long term. Avoid freeze-thaw cycles.
Buffer
TBS (pH7.4), 0.05% BSA, 40% Glycerol
Preservative
0.05% Sodium Azide
Concentration
1 mg/ml
Purity
Protein A purified

Alternate Names for Caspase-7 Antibody (SD20-57) - Pro form

  • apoptosis-related cysteine protease
  • Apoptotic protease Mch-3
  • CASP7
  • CASP-7
  • caspase 7, apoptosis-related cysteine peptidase
  • Caspase7
  • Caspase-7
  • EC 3.4.22
  • EC 3.4.22.60
  • ICE-like apoptotic protease 3
  • Lice2 alpha/beta/gamma
  • Mch3

Background

Caspase 7 (CASP7) is a member of the cysteine-aspartic acid protease (caspase) family that is involved in the execution-phase of cell apoptosis. The sequential activation of caspases plays a central role in the execution-phase of cell apoptosis, and Caspase 7 is an executioner protein of apoptosis. It is activated upon cell death stimuli and induces apoptosis.

Caspase 7 is expressed as an inactive proenzyme which then undergos proteolytic processing by upstream caspases, to form an active (cleaved) caspase 7 form.

Caspase 7 antibodies are important tools for apoptosis studies and research on the caspase family mediated apoptosis signaling pathway.

Limitations

This product is for research use only and is not approved for use in humans or in clinical diagnosis. Primary Antibodies are guaranteed for 1 year from date of receipt.

Customers Who Viewed This Item Also Viewed...

NB100-56118
Species: Ca, Ma, Hu, Mu, Rt
Applications: Flow-IC, ICC/IF, IHC, IHC-Fr,  IHC-P, IP, WB
NBP2-27335
Species: Hu, Mu, Rt(-)
Applications: CyTOF-ready, Flow, ICC/IF, WB
NB100-56116
Species: Ma, Hu, Mu, Rt
Applications: Flow, ICC/IF, IHC, IHC-Fr,  IHC-P, IP, Simple Western, WB
NB100-56114
Species: Ca, Hu, Mu, Rt
Applications: ICC/IF, IHC, IHC-Fr,  IHC-P, IP, WB
NB100-56098
Species: Ca, Hu, Mu, Rt
Applications: IHC,  IHC-P, IP, WB
NBP2-43728
Species: Hu, Mu, Rt
Applications: ICC/IF, WB
NB100-56503
Species: Dr, Hu, Mu, Rb, Rt
Applications: Flow-CS, Flow-IC, Flow, IB, ICC/IF, IHC,  IHC-P, Simple Western, WB
NB100-56104
Species: Ca, Hu, Mu, Rt
Applications: IHC, IHC-Fr,  IHC-P, IP, WB
AF8221
Species: Hu, Mu, Rt
Applications: IHC, KO, Simple Western, WB
AF820
Species: Hu, Mu
Applications: ICC, IHC, KO, Simple Western, WB
NB200-103
Species: Hu, Mu, Rt, Xp(-), Ye
Applications: CyTOF-ready, ELISA, Flow-IC, Flow, ICC/IF, IHC, IHC-Fr,  IHC-P, IP, WB
AF860
Species: Hu, Mu
Applications: IP, Simple Western, WB
NB120-13550
Species: Hu, Mu, Rt
Applications: ICC/IF, IHC,  IHC-P, WB
NB100-56565
Species: Hu, Mu, Rt
Applications: ICC/IF, IHC, IHC-Fr,  IHC-P, Simple Western, WB

Publications for Caspase-7 Antibody (NBP2-67756) (0)

There are no publications for Caspase-7 Antibody (NBP2-67756).
By submitting your publication information earn gift cards and discounts for future purchases.

Reviews for Caspase-7 Antibody (NBP2-67756) (0)

There are no reviews for Caspase-7 Antibody (NBP2-67756). By submitting a review you will receive an Amazon e-Gift Card or Novus Product Discount.
  • Review with no image -- $10/€7/£6/$10 CAD/¥70 Yuan/¥1110 Yen
  • Review with an image -- $25/€18/£15/$25 CAD/¥150 Yuan/¥2500 Yen

Product General Protocols

Find general support by application which include: protocols, troubleshooting, illustrated assays, videos and webinars.

Video Protocols

WB Video Protocol
ICC/IF Video Protocol

FAQs for Caspase-7 Antibody (NBP2-67756) (0)

There are no specific FAQs related to this product. Read our general customer & technical service FAQs.

Control Lysate(s)

Secondary Antibodies

 

Isotype Controls

Additional Caspase-7 Products

Research Areas for Caspase-7 Antibody (NBP2-67756)

Find related products by research area.

Blogs on Caspase-7.

Pyroptosis: Mechanisms mediating cell death and pro-inflammatory cytokine release
By Victoria OsinskiPyroptosis is an inflammatory form of programmed cell death characterized by the release of pro-inflammatory cytokines IL-1 beta and IL-18.1,10 It is a process distinct from apoptosis and necrosis (T...  Read full blog post.

The Ins and Outs of Survivin
By Rachel M.A. Linger, Ph.D.What is survivin?Survivin is a small (16.5 kDa) protein normally found in human fetal tissue. In contrast, survivin is typically undetectable in most normal adult tissues. Expression of ...  Read full blog post.

Caspase 7 - A key effector of the apoptotic pathway
Caspase-7 is an effector caspase with important roles in mediating cell death signaling. As an effector caspase, caspase-7 is cleaved and activated by initiator caspases such as caspase-1 (1). Like other caspase family proteins, caspase-7 contains a...  Read full blog post.

Contact Information

Product PDFs

Calculators

Concentration Calculator

The concentration calculator allows you to quickly calculate the volume, mass or concentration of your vial. Simply enter your mass, volume, or concentration values for your reagent and the calculator will determine the rest.

=
÷

Review this Product

Be the first to review our Caspase-7 Antibody (SD20-57) - Pro form and receive a gift card or discount.

Bioinformatics

Gene Symbol CASP7