Caspase-10/FLICE2 Antibody (JJ0890)

Images

 
Western Blot: Caspase-10/FLICE2 Antibody (JJ0890) [NBP2-67878] - Analysis of Caspase-10 on K562 cells lysates using anti-Caspase-10 antibody at 1/1,000 dilution.
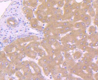
Immunohistochemistry-Paraffin: Caspase-10/FLICE2 Antibody (JJ0890) [NBP2-67878] - Analysis of paraffin-embedded human liver cancer tissue using anti-Caspase-10 antibody. Counter stained with hematoxylin.
Flow Cytometry: Caspase-10/FLICE2 Antibody (JJ0890) [NBP2-67878] - Analysis of K562 cells with Caspase-10 antibody at 1/50 dilution (red) compared with an unlabelled control (cells without incubation with primary ...read more
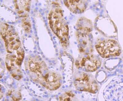
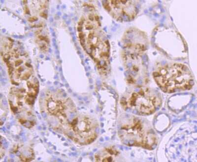
Immunohistochemistry-Paraffin: Caspase-10/FLICE2 Antibody (JJ0890) [NBP2-67878] - Analysis of paraffin-embedded human kidney tissue using anti-Caspase-10 antibody. Counter stained with hematoxylin.

Product Details

Summary
Product Discontinued
View other related Caspase-10/FLICE2 Primary Antibodies

Order Details


    • Catalog Number
      NBP2-67878
    • Availability
      Product Discontinued

    Can't find what you are looking for? Use our Antibody Concierge Service & we will help you locate your antibody!

    Or feel free to contact us for alternative products.

Caspase-10/FLICE2 Antibody (JJ0890) Summary

Additional Information
Recombinant Monoclonal Antibody.
Immunogen
Recombinant protein within Human Caspase-10/FLICE2 aa 254-452 / 521. (SwissProt: Q92851 Human)
Localization
Cytosol.
Isotype
IgG
Clonality
Monoclonal
Host
Rabbit
Gene
CASP10
Purity
Protein A purified
Innovator's Reward
Test in a species/application not listed above to receive a full credit towards a future purchase.

Applications/Dilutions

Dilutions
  • Flow Cytometry 1:50-1:100
  • Immunohistochemistry
  • Immunohistochemistry-Paraffin 1:50-1:200
  • Immunoprecipitation
  • Western Blot 1:1000-1:2000
Control
Jurkat Staurosporine Treated / Untreated Cell Lysate

Packaging, Storage & Formulations

Storage
Store at 4C short term. Aliquot and store at -20C long term. Avoid freeze-thaw cycles.
Buffer
TBS (pH7.4), 0.05% BSA, 40% Glycerol
Preservative
0.05% Sodium Azide
Concentration
1 mg/ml
Purity
Protein A purified

Alternate Names for Caspase-10/FLICE2 Antibody (JJ0890)

  • Apoptotic protease Mch-4
  • CASP10
  • CASP-10
  • caspase 10, apoptosis-related cysteine peptidase
  • caspase 10, apoptosis-related cysteine protease
  • Caspase10
  • Caspase-10
  • EC 3.4.22.63
  • FADD-like ICE2
  • FAS-associated death domain protein interleukin-1B-converting enzyme 2
  • FLICE2
  • ICE-like apoptotic protease 4
  • interleukin-1B-converting enzyme 2
  • Mch4
  • MCH4ALPS2

Background

Apoptosis, or programmed cell death, is a common property of all multicellular organisms. The current dogma of apoptosis suggests that the components of the core cell-death machinery are integral to cells and widely conserved across species. Caspases, a family of cysteinyl aspartate-specific proteases, are integral components of the cell death machinery (reviewed in Siegal, 2006; and Lavrik et al, 2005). They play a central role in the initiation and execution of apoptotic cell death and in inflammation. Caspases are typically divided into 3 major groups, depending on the structure of their prodomain and their function. Group 1: inflammatory caspases (caspases 1, 4, 5, 11, 12, 14). Group II: initiator of apoptosis caspases (caspases 2, 8, 9). Group II: effector caspases (caspases 3, 6, 7). Caspases are constitutively expressed in almost all cell types as inactive proenzymes (zymogens: enzyme precursors which require a biochemical change to become active enzymes) that are processed and activated in response to a variety of pro-apoptotic or inflammatory stimuli. The procaspases (32-56 kDa) contain four domains: an N-terminal prodomain (2-25 kDa), a large subunit (p20: 17-21 kDa), a small subunit (p10: 10-13 kDa) and a short linker region between the large and small subunits. Caspase activation involves proteolytic processing of the proenzyme at specific aspartate residues between the domains. This results in removal of the prodomain as well as the linker region and formation of a heterodimer containing one large and one small subunit (p20-p10). The active caspase is a tetramer composed of two heterodimers (p202-p102). Active caspases mediate cell death and inflammation through cleavage of particular cellular substrates that are involved in these processes. Caspase-10 is a 455 amino acid protein. However, caspase-10 produces, by alternative splicing, at least 12 different transcripts, all with introns, putatively encoding at least 11 different protein isoforms. For example, human caspase-10a is a 479 amino acid (aa) protein, and human caspase-10d is a 522 aa protein. The transcripts appear to differ by truncation of the end, presence or absence of 6 cassette exons, or common exons with different boundaries, because an internal intron is not always spliced out. Users are encoraged to go to the NCBI ACE View Data Base for more information. http://www.ncbi.nih.gov/IEB/Research/Acembly/ Caspase-10 gene mutations or polymorphisms have been associated with a number of diseases including type II autoimmune lymphoproliferative syndrome, non-Hiodgkin's lymphoma, and gastric cancer. It is thought that some mutations of the caspase-10 gene may lead to the loss of its apoptotic function, thereby contributing to the pathogenesis of some diseases. Caspase-10 may be observed on Western blots at varying apparent molecular weights depending on isoform, truncation, or cleavage forms present. Recognizes caspase-10 forms that contain the peptide immunogen sequence (QPAFTLRKKLVFPVPLDALSI).

Limitations

This product is for research use only and is not approved for use in humans or in clinical diagnosis. Primary Antibodies are guaranteed for 1 year from date of receipt.

Customers Who Viewed This Item Also Viewed...

NB100-56116
Species: Ma, Hu, Mu, Rt
Applications: Flow, ICC/IF, IHC, IHC-Fr,  IHC-P, IP, Simple Western, WB
NB100-56118
Species: Ca, Ma, Hu, Mu, Rt
Applications: Flow-IC, ICC/IF, IHC, IHC-Fr,  IHC-P, IP, WB
375-TL
Species: Hu
Applications: BA
AF821
Species: Hu, Mu
Applications: WB
NB120-13550
Species: Hu, Mu, Rt
Applications: ICC/IF, IHC,  IHC-P, WB
NBP3-15951
Species: Hu, Mu, Rt
Applications: IHC,  IHC-P, WB
AF860
Species: Hu, Mu
Applications: IP, Simple Western, WB
NB100-56618
Species: Hu, Mu
Applications: Flow-CS, Flow, ICC/IF, IHC,  IHC-P, WB
AF347
Species: Hu
Applications: IHC, Neut, WB
NB100-56503
Species: Dr, Hu, Mu, Rb, Rt
Applications: Flow-CS, Flow-IC, Flow, IB, ICC/IF, IHC,  IHC-P, Simple Western, WB
NB100-56098
Species: Ca, Hu, Mu, Rt
Applications: IHC,  IHC-P, IP, WB
DFL00B
Species: Hu
Applications: ELISA
MAB868
Species: Hu
Applications: WB
AF820
Species: Hu, Mu
Applications: ICC, IHC, KO, Simple Western, WB

Publications for Caspase-10/FLICE2 Antibody (NBP2-67878) (0)

There are no publications for Caspase-10/FLICE2 Antibody (NBP2-67878).
By submitting your publication information earn gift cards and discounts for future purchases.

Reviews for Caspase-10/FLICE2 Antibody (NBP2-67878) (0)

There are no reviews for Caspase-10/FLICE2 Antibody (NBP2-67878). By submitting a review you will receive an Amazon e-Gift Card or Novus Product Discount.
  • Review with no image -- $10/€7/£6/$10 CAD/¥70 Yuan/¥1110 Yen
  • Review with an image -- $25/€18/£15/$25 CAD/¥150 Yuan/¥2500 Yen

Product General Protocols

Find general support by application which include: protocols, troubleshooting, illustrated assays, videos and webinars.

Video Protocols

WB Video Protocol

FAQs for Caspase-10/FLICE2 Antibody (NBP2-67878) (0)

There are no specific FAQs related to this product. Read our general customer & technical service FAQs.

Control Lysate(s)

Secondary Antibodies

 

Isotype Controls

Additional Caspase-10/FLICE2 Products

Research Areas for Caspase-10/FLICE2 Antibody (NBP2-67878)

Find related products by research area.

Blogs on Caspase-10/FLICE2.

Caspase 10 - an initiator caspase in the extrinsic death receptor pathway
Apoptosis, also called programmed cell death, is an essential process in development and disease. The signaling networks that carry out apoptosis is consists of a series of endoproteases called caspases which are synthesized as inactive zymogens. ...  Read full blog post.

Contact Information

Product PDFs

Calculators

Concentration Calculator

The concentration calculator allows you to quickly calculate the volume, mass or concentration of your vial. Simply enter your mass, volume, or concentration values for your reagent and the calculator will determine the rest.

=
÷

Review this Product

Be the first to review our Caspase-10/FLICE2 Antibody (JJ0890) and receive a gift card or discount.

Bioinformatics

Gene Symbol CASP10