Carboxypeptidase A1/CPA1 Antibody (rCPA1/8689) - Azide and BSA Free

Images

 
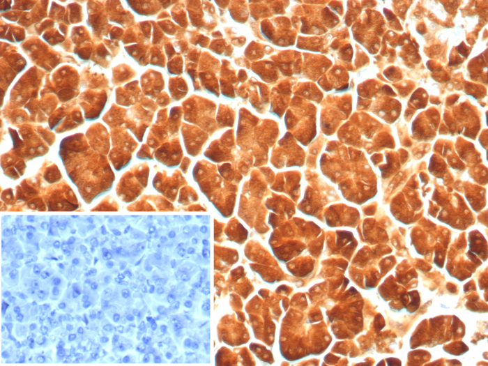
Formalin-fixed, paraffin-embedded human pancreas stained with Carboxypeptidase A1/CPA1 antibody (rCPA1/8689). Inset: PBS instead of primary antibody; secondary only negative control.

Product Details

Summary
Reactivity HuSpecies Glossary
Applications IHC
Clone
rCPA1/8689
Clonality
Monoclonal
Host
Mouse
Conjugate
Unconjugated
Format
Azide and BSA Free
Concentration
1 mg/ml

Order Details

Carboxypeptidase A1/CPA1 Antibody (rCPA1/8689) - Azide and BSA Free Summary

Description
Positive Controls: Pancreas.

Antibody with azide - store at 2 to 8C. Antibody without azide - store at -20 to -80C. Non-hazardous. No MSDS required.
Additional Information
Recombinant Monoclonal Antibody
Immunogen
Recombinant full-length human Carboxypeptidase A1/CPA1 protein
Localization
Secreted.
Isotype
IgG1 Kappa
Clonality
Monoclonal
Host
Mouse
Gene
CPA1
Purity
Protein A or G purified
Innovator's Reward
Test in a species/application not listed above to receive a full credit towards a future purchase.

Applications/Dilutions

Dilutions
  • Immunohistochemistry-Paraffin 1-2 ug/ml
Application Notes
Immunohistochemistry (Formalin-fixed): 1-2ug/ml for 30 minutes. at RT. Staining of formalin-fixed tissues requires heating tissue sections in 10mM Tris with 1mM EDTA, pH 9.0, for 45 min at 95C followed by cooling at RT for 20 minutes.

Optimal dilution for a specific application should be determined.

Packaging, Storage & Formulations

Storage
Store at -20 to -70C. Avoid freeze-thaw cycles.
Buffer
10mM PBS
Preservative
No Preservative
Concentration
1 mg/ml
Purity
Protein A or G purified

Alternate Names for Carboxypeptidase A1/CPA1 Antibody (rCPA1/8689) - Azide and BSA Free

  • carboxypeptidase A1 (pancreatic)
  • Carboxypeptidase A1
  • CPA
  • CPA1
  • EC 3.4.17
  • EC 3.4.17.1

Background

Carboxypeptidase A is a pancreatic exopeptidase. Three different forms of human pancreatic procarboxypeptidase A have been isolated. The A1 and A2 forms are monomeric proteins with different biochemical properties.

Limitations

This product is for research use only and is not approved for use in humans or in clinical diagnosis. Primary Antibodies are guaranteed for 1 year from date of receipt.

Customers Who Viewed This Item Also Viewed...

AF6457
Species: Hu
Applications: WB
NBP1-89342
Species: Hu, Mu
Applications: ICC/IF, IHC,  IHC-P, IP, WB
NBP2-45570
Species: Hu, Mu, Rt
Applications: Flow, IHC,  IHC-P, WB
NBP2-45946
Species: Ca, Hu, Pm, Mu, Rt
Applications: ICC/IF, IHC,  IHC-P, WB
NB300-549
Species: Hu, Mu, Rt
Applications: Flow, ICC/IF, IHC, IHC-Fr,  IHC-P, WB
NBP2-67150
Species: Hu, Mu, Rt
Applications: IHC, IHC-Fr,  IHC-P, IP, WB
NBP3-17255
Species: Hu
Applications: ICC/IF, WB
NBP1-59069
Species: Hu
Applications: ICC/IF, IHC,  IHC-P, WB
MAB5745
Species: Hu
Applications: IHC, WB
NBP1-86125
Species: Hu
Applications: IHC,  IHC-P
NB100-56603
Species: Ca, Hu, Mu, Pm, Rt
Applications: IHC,  IHC-P, WB
NBP2-15698
Species: Hu, Mu, Rt
Applications: IHC,  IHC-P, WB
NBP1-39474
Species: Ca, Gp, Hu, Mu, Po, Rb, Rt, Sh
Applications: CyTOF-ready, Flow-IC, Flow, ICC/IF, IHC, IHC-Fr,  IHC-P, WB
NBP1-87404
Species: Hu, Mu, Rt
Applications: Flow, ICC/IF, IHC,  IHC-P, KD, WB
NBP1-89146
Species: Hu
Applications: ICC/IF, IHC,  IHC-P
H00005555-P01
Species: Hu
Applications: ELISA, AP, PA, PAGE, WB
NBP2-34294
Species: Hu, Mu, Rt
Applications: Flow, IHC,  IHC-P
NBP2-01992
Species: Hu, Mu, Rt
Applications: Flow, ICC/IF, IHC,  IHC-P, WB
MAB1417
Species: Bv, Hu, Mu
Applications: ICC, IHC

Publications for Carboxypeptidase A1/CPA1 Antibody (NBP3-21093) (0)

There are no publications for Carboxypeptidase A1/CPA1 Antibody (NBP3-21093).
By submitting your publication information earn gift cards and discounts for future purchases.

Reviews for Carboxypeptidase A1/CPA1 Antibody (NBP3-21093) (0)

There are no reviews for Carboxypeptidase A1/CPA1 Antibody (NBP3-21093). By submitting a review you will receive an Amazon e-Gift Card or Novus Product Discount.
  • Review with no image -- $10/€7/£6/$10 CAD/¥70 Yuan/¥1110 Yen
  • Review with an image -- $25/€18/£15/$25 CAD/¥150 Yuan/¥2500 Yen

Product General Protocols

Find general support by application which include: protocols, troubleshooting, illustrated assays, videos and webinars.

FAQs for Carboxypeptidase A1/CPA1 Antibody (NBP3-21093) (0)

There are no specific FAQs related to this product. Read our general customer & technical service FAQs.

Secondary Antibodies

 

Isotype Controls

Additional Carboxypeptidase A1/CPA1 Products

Research Areas for Carboxypeptidase A1/CPA1 Antibody (NBP3-21093)

Find related products by research area.

Blogs on Carboxypeptidase A1/CPA1

There are no specific blogs for Carboxypeptidase A1/CPA1, but you can read our latest blog posts.

Customers Who Bought This Also Bought

Contact Information

Product PDFs

Calculators

Concentration Calculator

The concentration calculator allows you to quickly calculate the volume, mass or concentration of your vial. Simply enter your mass, volume, or concentration values for your reagent and the calculator will determine the rest.

=
÷

Review this Product

Be the first to review our Carboxypeptidase A1/CPA1 Antibody (rCPA1/8689) - Azide and BSA Free and receive a gift card or discount.

Bioinformatics

Gene Symbol CPA1