Calpain 2 Antibody (JA43-41)

Images

 
Western Blot: Calpain 2 Antibody (JA43-41) [NBP2-67202] - Analysis of Calpain 2 on Hela cell (1) and rat skin tissue (2) lysate using anti-Calpain 2 antibody at 1/1,000 dilution.
Immunocytochemistry/ Immunofluorescence: Calpain 2 Antibody (JA43-41) [NBP2-67202] - Staining Calpain 2 in HepG2 cells (green). The nuclear counter stain is DAPI (blue). Cells were fixed in paraformaldehyde, ...read more
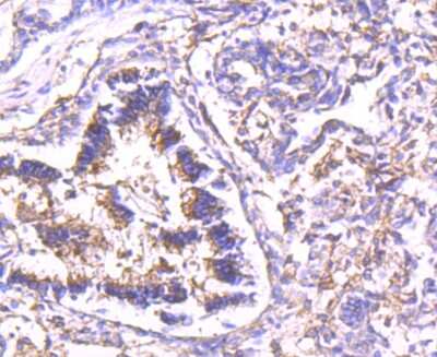
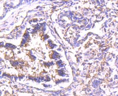
Immunohistochemistry-Paraffin: Calpain 2 Antibody (JA43-41) [NBP2-67202] - Analysis of paraffin-embedded human lung tissue using anti-Calpain 2 antibody. Counter stained with hematoxylin.
Flow Cytometry: Calpain 2 Antibody (JA43-41) [NBP2-67202] - Analysis of Hela cells with Calpain 2 antibody at 1/100 dilution (red) compared with an unlabelled control (cells without incubation with primary antibody; ...read more
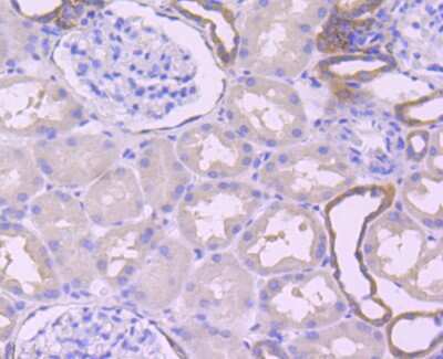
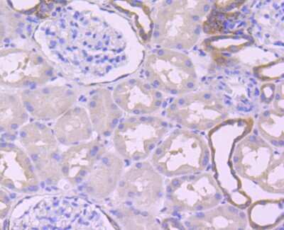
Immunohistochemistry-Paraffin: Calpain 2 Antibody (JA43-41) [NBP2-67202] - Analysis of paraffin-embedded human kidney tissue using anti-Calpain 2 antibody. Counter stained with hematoxylin.

Product Details

Summary
Product Discontinued
View other related Calpain 2 Primary Antibodies

Order Details


    • Catalog Number
      NBP2-67202
    • Availability
      Product Discontinued

    Can't find what you are looking for? Use our Antibody Concierge Service & we will help you locate your antibody!

    Or feel free to contact us for alternative products.

Calpain 2 Antibody (JA43-41) Summary

Additional Information
Recombinant Monoclonal Antibody.
Immunogen
Synthetic peptide within Human Calpain 2 aa 651-700 / 700. (SwissProt: P17655 Human; SwissProt: O08529 Mouse; SwissProt: Q07009 Rat)
Localization
Cytoplasm. Cell membrane.
Isotype
IgG
Clonality
Monoclonal
Host
Rabbit
Gene
CAPN2
Purity
Protein A purified
Innovator's Reward
Test in a species/application not listed above to receive a full credit towards a future purchase.

Applications/Dilutions

Dilutions
  • Flow Cytometry 1:50
  • Immunocytochemistry/ Immunofluorescence 1:50
  • Immunohistochemistry
  • Immunohistochemistry-Paraffin 1:50-1:200
  • Western Blot 1:500-1:2000

Packaging, Storage & Formulations

Storage
Store at 4C short term. Aliquot and store at -20C long term. Avoid freeze-thaw cycles.
Buffer
TBS (pH7.4), 0.05% BSA, 40% Glycerol
Preservative
0.05% Sodium Azide
Concentration
1 mg/ml
Purity
Protein A purified

Alternate Names for Calpain 2 Antibody (JA43-41)

  • Calcium-activated neutral proteinase 2
  • calpain 2, (m/II) large subunit
  • calpain 2, large [catalytic] subunit
  • calpain 2, large subunit
  • Calpain large polypeptide L2
  • Calpain M-type
  • calpain, large polypeptide L2
  • calpain-2 catalytic subunit
  • Calpain-2 large subunit
  • CANP 2
  • CANPL2CANP2
  • CANPml
  • EC 3.4.22
  • EC 3.4.22.53
  • FLJ39928
  • M-calpain
  • mCANP
  • millimolar-calpain

Background

The calpains, calcium-activated neutral proteases, are nonlysosomal, intracellular cysteine proteases. The mammaliancalpains include ubiquitous, stomach-specific, and muscle-specific proteins. The ubiquitous enzymes consist ofheterodimers with distinct large, catalytic subunits associated with a common small, regulatory subunit. This geneencodes the large subunit of the ubiquitous enzyme, calpain 2. Multiple heterogeneous transcriptional start sites inthe 5' UTR have been reported. Two transcript variants encoding different isoforms have been found for this gene.(provided by RefSeq)

Limitations

This product is for research use only and is not approved for use in humans or in clinical diagnosis. Primary Antibodies are guaranteed for 1 year from date of receipt.

Customers Who Viewed This Item Also Viewed...

NBP2-01819
Species: Hu
Applications: Flow, IHC,  IHC-P, WB
NBP1-88205
Species: Hu, Mu
Applications: ICC/IF, IHC,  IHC-P, Simple Western, WB
H00000826-M01
Species: Hu, Mu, Rt
Applications: ELISA, ICC/IF, IHC,  IHC-P, KD, PLA, S-ELISA, WB
NBP1-86645
Species: Hu
Applications: ICC/IF, IHC,  IHC-P, WB
NBP3-35199
Species: Mu, Rt
Applications: ELISA, ICC/IF, WB
AF965
Species: Mu
Applications: IHC, Neut, WB
NBP1-88204
Species: Hu, Mu, Rt
Applications: ICC/IF, IHC,  IHC-P, WB
236-EG
Species: Hu
Applications: BA
AF1230
Species: Hu, Mu, Rt
Applications: IHC, KO, WB
NBP1-81838
Species: Hu, Mu
Applications: IHC,  IHC-P, WB
AF231
Species: Hu
Applications: CyTOF-ready, Dual ISH-IHC, ELISA(Cap), ELISA(Det), ELISA(Sta), Flow, ICC, IHC, IP, Simple Western, WB
AF1029
Species: Mu
Applications: ICC, IHC, IP, WB
AF952
Species: Hu
Applications: ELISA(Cap), ELISA(Det), ELISA(Sta), IHC, IP, WB
NBP1-76801
Species: Ch, Hu, Mu, Rt
Applications: ELISA, ICC/IF, IHC,  IHC-P, WB
NBP2-67202
Species: Hu, Mu, Rt
Applications: WB, Flow, ICC/IF, IHC

Publications for Calpain 2 Antibody (NBP2-67202) (0)

There are no publications for Calpain 2 Antibody (NBP2-67202).
By submitting your publication information earn gift cards and discounts for future purchases.

Reviews for Calpain 2 Antibody (NBP2-67202) (0)

There are no reviews for Calpain 2 Antibody (NBP2-67202). By submitting a review you will receive an Amazon e-Gift Card or Novus Product Discount.
  • Review with no image -- $10/€7/£6/$10 CAD/¥70 Yuan/¥1110 Yen
  • Review with an image -- $25/€18/£15/$25 CAD/¥150 Yuan/¥2500 Yen

Product General Protocols

Find general support by application which include: protocols, troubleshooting, illustrated assays, videos and webinars.

Video Protocols

WB Video Protocol
ICC/IF Video Protocol

FAQs for Calpain 2 Antibody (NBP2-67202) (0)

There are no specific FAQs related to this product. Read our general customer & technical service FAQs.

Contact Information

Product PDFs

Calculators

Concentration Calculator

The concentration calculator allows you to quickly calculate the volume, mass or concentration of your vial. Simply enter your mass, volume, or concentration values for your reagent and the calculator will determine the rest.

=
÷

Review this Product

Be the first to review our Calpain 2 Antibody (JA43-41) and receive a gift card or discount.

Bioinformatics

Gene Symbol CAPN2