BOB1 Antibody (BOB1/7469) - Azide and BSA Free

Images

 
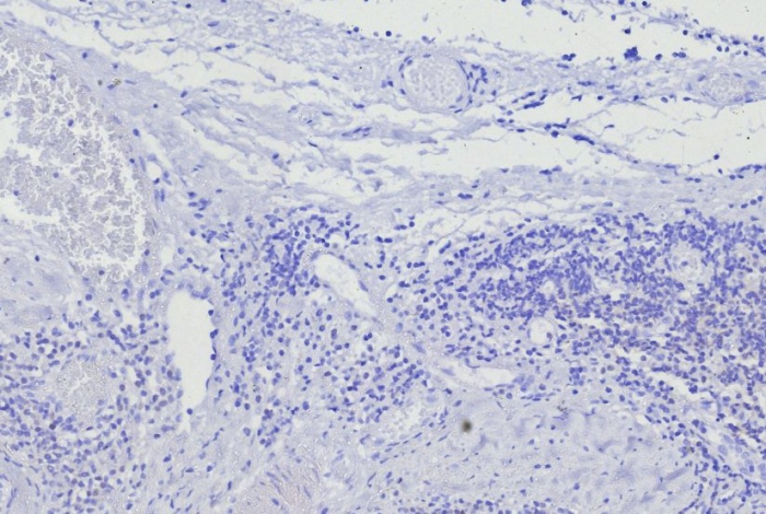
IHC analysis of formalin-fixed, paraffin-embedded human skin in tonsil. Negative tissue control using BOB1 antibody (BOB1/7469) at 2ug/ml in PBS for 30min RT. HIER: Tris/EDTA, pH9.0, 45min. Secondary: HRP-polymer, ...read more
Formalin-fixed, paraffin-embedded human tonsil stained with BOB1 antibody (BOB1/7469). HIER: Tris/EDTA, pH9.0, 45min. Secondary: HRP-polymer, 30min. DAB, 5min.
Formalin-fixed, paraffin-embedded human tonsil stained with BOB1 antibody (BOB1/7469). HIER: Tris/EDTA, pH9.0, 45min. Secondary: HRP-polymer, 30min. DAB, 5min.

Product Details

Summary
Reactivity HuSpecies Glossary
Applications IHC
Clone
BOB1/7469
Clonality
Monoclonal
Host
Mouse
Conjugate
Unconjugated
Format
Azide and BSA Free
Concentration
1 mg/ml

Order Details

BOB1 Antibody (BOB1/7469) - Azide and BSA Free Summary

Description
Positive Controls: Raji or Ramos cells. Spleen or tonsil (IHC).

Antibody with azide - store at 2 to 8C. Antibody without azide - store at -20 to -80C. Non-hazardous. No MSDS required.
Immunogen
Recombinant fragment (around aa 148-255) of human BOB1 protein (exact sequence is proprietary)
Localization
Nucleus.
Isotype
IgG
Clonality
Monoclonal
Host
Mouse
Gene
POU2AF1
Purity
Protein A or G purified
Innovator's Reward
Test in a species/application not listed above to receive a full credit towards a future purchase.

Applications/Dilutions

Dilutions
  • Immunohistochemistry-Paraffin 1-2 ug/ml
Application Notes
Immunohistochemistry (Formalin-fixed): 1-2ug/ml for 30 min at RT.

Staining of formalin-fixed tissues requires boiling tissue sections in 10mM citrate buffer, pH 6.0, for 10-20 min followed by cooling at RT for 20 minutes.

Optimal dilution for a specific application should be determined.

Packaging, Storage & Formulations

Storage
Store at -20 to -70C. Avoid freeze-thaw cycles.
Buffer
10mM PBS
Preservative
No Preservative
Concentration
1 mg/ml
Purity
Protein A or G purified

Alternate Names for BOB1 Antibody (BOB1/7469) - Azide and BSA Free

  • B-cell-specific coactivator OBF-1
  • BOB-1
  • OBF-1
  • OBF1BOB1
  • OCAB
  • OCA-B
  • OCT-binding factor 1
  • POU class 2 associating factor 1
  • POU domain class 2, associating factor 1
  • POU domain class 2-associating factor 1
  • POU domain, class 2, associating factor 1

Background

BOB1 is a novel 35kDa protein designated Bob1 (B cell Oct binding protein 1) is a lymphocyte specific transcription co activator protein. B cell specific transcription is mediated by octamer motifs found in immunoglobulin heavy and light chain gene promoters and in some immunoglobulin enhancers. These sites are bound by the B cell specific Oct1 and Oct2 transcription factors, and the B cell restricted co activator BOB.1/OBF.1. This protein interacts only with the Oct1/2 proteins through sub domains in the POU domain of the Oct1/2 proteins, enhancing their transcriptional efficacy. Although having no intrinsic capacity for DNA binding, Bob1 associates tightly with the octomer motif in the presence of Oct1 and Oct2. Bob1 is expressed at highest levels in spleen and peripheral blood leukocytes.

Limitations

This product is for research use only and is not approved for use in humans or in clinical diagnosis. Primary Antibodies are guaranteed for 1 year from date of receipt.

Customers Who Viewed This Item Also Viewed...

NBP2-75734
Species: Hu
Applications: ELISA, IHC,  IHC-P, PA, WB
NBP2-24677
Species: Ca, Eq, Hu, Pm
Applications: ICC/IF, IHC,  IHC-P, WB
NB100-68209
Species: Hu
Applications: IP, KD, WB
MAB6547
Species: Hu
Applications: Flow, IHC, mIF
MAB3487
Species: Hu, Mu
Applications: Flow, ICC, IHC, mIF, Simple Western, WB
NBP2-59786
Species: Hu
Applications: ICC/IF, IHC,  IHC-P, Simple Western
NBP2-75738
Species: Hu
Applications: Flow, ICC/IF, IHC,  IHC-P, PA, WB
NBP1-51684
Species: Hu, Mu
Applications: EM, ELISA, Flow, ICC/IF, IHC, WB
NBP1-44634
Species: Bv, Hu
Applications: CyTOF-ready, Flow, IP
6507-IL/CF
Species: Hu
Applications: BA
7268-CT
Species: Hu
Applications: BA
NBP2-44738
Species: Bv, Hu, Pm, Mu, Po, Rt
Applications: Flow, ICC/IF, IHC,  IHC-P, WB
NB100-524
Species: Hu, Mu
Applications: Flow-IC, Flow, ICC/IF, IHC, IHC-Fr,  IHC-P, IP, WB
NBP2-79843
Species: Hu
Applications: CyTOF-ready, ELISA, Flow, ICC/IF, IHC,  IHC-P, PA, WB
AF114
Species: Mu
Applications: CyTOF-ready, Flow, ICC, IHC, WB
AF6814
Species: Mu
Applications: CyTOF-ready, Flow, ICC, WB
NBP2-67309
Species: Hu, Rt
Applications: Flow, ICC/IF, IHC,  IHC-P, IP, WB
NBP3-20971
Species: Hu
Applications: IHC

Publications for BOB1 Antibody (NBP3-20971) (0)

There are no publications for BOB1 Antibody (NBP3-20971).
By submitting your publication information earn gift cards and discounts for future purchases.

Reviews for BOB1 Antibody (NBP3-20971) (0)

There are no reviews for BOB1 Antibody (NBP3-20971). By submitting a review you will receive an Amazon e-Gift Card or Novus Product Discount.
  • Review with no image -- $10/€7/£6/$10 CAD/¥70 Yuan/¥1110 Yen
  • Review with an image -- $25/€18/£15/$25 CAD/¥150 Yuan/¥2500 Yen

Product General Protocols

Find general support by application which include: protocols, troubleshooting, illustrated assays, videos and webinars.

FAQs for BOB1 Antibody (NBP3-20971) (0)

There are no specific FAQs related to this product. Read our general customer & technical service FAQs.

Secondary Antibodies

 

Isotype Controls

Additional BOB1 Products

Research Areas for BOB1 Antibody (NBP3-20971)

Find related products by research area.

Blogs on BOB1.

Winter Protein Games
Get into the Winter Protein Games 2014! Check out the contenders competing including SKI, POLE, ICEBURG, SKT, TRAIL, WIN and BOB1. Learn more about each protein's function, gene name, molecular weight and family.View all the fun and games happening ...  Read full blog post.

Customers Who Bought This Also Bought

Contact Information

Product PDFs

Calculators

Concentration Calculator

The concentration calculator allows you to quickly calculate the volume, mass or concentration of your vial. Simply enter your mass, volume, or concentration values for your reagent and the calculator will determine the rest.

=
÷

Review this Product

Be the first to review our BOB1 Antibody (BOB1/7469) - Azide and BSA Free and receive a gift card or discount.

Bioinformatics

Gene Symbol POU2AF1