BIRC8 Antibody

Images

 
Western Blot: BIRC8 Antibody [NBP1-03071] - Western blot of BIRC8 expression in human HepG2 (lane 1) and MOLT4 (lane 2) cell lysates with BIRC8 antibody at 1 ug/ml.
Immunocytochemistry/ Immunofluorescence: BIRC8 Antibody [NBP1-03071] - Immunofluorescence of BIRC8 in HepG2 cells with BIRC8 Antibody at 20 ug/ml.
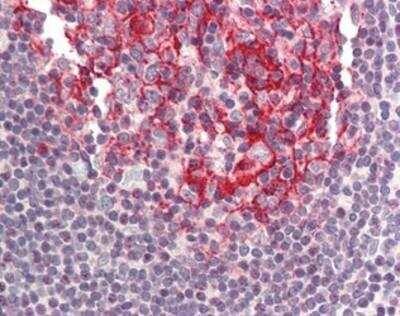
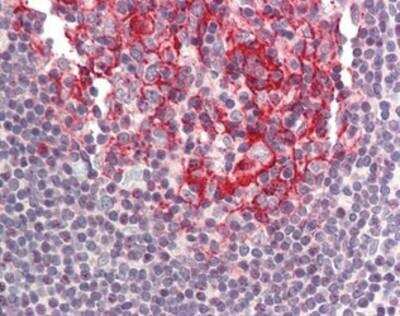
Immunohistochemistry-Paraffin: BIRC8 Antibody [NBP1-03071] - Staining of human small intestine, Peyer's patch. Immunohistochemistry of formalin-fixed, paraffin-embedded tissue after heat-induced antigen retrieval. ...read more

Product Details

Summary
Product Discontinued
View other related BIRC8 Primary Antibodies

Order Details


    • Catalog Number
      NBP1-03071
    • Availability
      Product Discontinued

    Can't find what you are looking for? Use our Antibody Concierge Service & we will help you locate your antibody!

    Or feel free to contact us for alternative products.

BIRC8 Antibody Summary

Immunogen
A synthetic peptide corresponding to amino acids near the N-terminus of human ILP-2. The immunogen is located within the first 50 amino acids of ILP-2.
Specificity
synthetic peptide corresponding to amino acids near the amino terminus of human ILP-2
Isotype
IgG
Clonality
Polyclonal
Host
Rabbit
Gene
BIRC8
Purity
Peptide affinity purified
Innovator's Reward
Test in a species/application not listed above to receive a full credit towards a future purchase.

Applications/Dilutions

Dilutions
  • ELISA
  • Immunocytochemistry/ Immunofluorescence 1:10-1:500
  • Immunohistochemistry 1:10-1:500
  • Immunohistochemistry-Paraffin 5 ug/ml
  • Western Blot 1-2 ug/ml

Packaging, Storage & Formulations

Storage
Store at 4C short term. Aliquot and store at -20C long term. Avoid freeze-thaw cycles.
Buffer
PBS
Preservative
0.02% Sodium Azide
Concentration
1 mg/ml
Purity
Peptide affinity purified

Alternate Names for BIRC8 Antibody

  • baculoviral IAP repeat containing 8
  • baculoviral IAP repeat-containing 8
  • baculoviral IAP repeat-containing protein 8
  • BIRC8
  • hILP2
  • IAP-like protein 2
  • ILP2
  • ILP-2ILP2
  • Inhibitor of apoptosis-like protein 2
  • RNF136
  • Testis-specific inhibitor of apoptosis

Background

Apoptosis, or programmed cell death, is related to many diseases, such as cancer. Apoptosis is triggered by a variety of stimuli including members in the TNF family and prevented by the inhibitor of apoptosis (IAP) proteins. IAP proteins form a conserved gene family including IAP, XIAP/ILP-1/MIHA, and Livin/KIAP that bind to and inhibits specific proteases. A novel member in the IAP protein family was recently identified and designated ILP-2 for IAP-like protein-2. ILP-2 has high homology to ILP-1, but is encoded by a distinct gene that is solely expressed in testis of tested normal human tissues. ILP-2, unlike ILP-1, has no inhibitory effect on Fas and TNF induced apoptosis, but potently inhibits apoptosis induced by overexpression of Bax or by coexpression of caspase-9 with Apaf-1. ILP-2 interacts with the processed caspase-9. These results suggest that ILP-2 is a novel IAP family member with restricted specificity for caspase-9.

Limitations

This product is for research use only and is not approved for use in humans or in clinical diagnosis. Primary Antibodies are guaranteed for 1 year from date of receipt.

Customers Who Viewed This Item Also Viewed...

AF8221
Species: Hu, Mu, Rt
Applications: IHC, KO, Simple Western, WB
NB100-56548
Species: Hu
Applications: ICC/IF, WB
NB110-40730
Species: Hu
Applications: IHC,  IHC-P, WB
MAB868
Species: Hu
Applications: WB
NB100-56118
Species: Ca, Ma, Hu, Mu, Rt
Applications: Flow-IC, ICC/IF, IHC, IHC-Fr,  IHC-P, IP, WB
AF829
Species: Hu
Applications: WB
NBP2-76944
Species: Hu, Mu, Rt
Applications: ICC/IF, IHC,  IHC-P, WB
NB100-56311
Species: Hu, Mu
Applications: ICC/IF, IHC,  IHC-P, WB
NBP2-61706
Species: Hu
Applications: ELISA, Flow, ICC/IF, IHC,  IHC-P, WB
MAB73091
Species: Hu
Applications: IHC, WB
AF820
Species: Hu, Mu
Applications: ICC, IHC, KO, Simple Western, WB
NBP1-76798
Species: Hu, Mu, Rt
Applications: ELISA, ICC/IF, IHC,  IHC-P, KO, WB
MAB1417
Species: Bv, Hu, Mu
Applications: ICC, IHC
NBP2-50028
Species: Bv, Hu, Mu, Rt
Applications: ICC/IF, IHC-FrFl, IHC,  IHC-P, WB
NBP1-32987
Species: Hu, Mu
Applications: IHC,  IHC-P, WB
NBP1-03071
Species: Hu, Mu, Rt
Applications: WB, ELISA, ICC/IF, IHC

Publications for BIRC8 Antibody (NBP1-03071) (0)

There are no publications for BIRC8 Antibody (NBP1-03071).
By submitting your publication information earn gift cards and discounts for future purchases.

Reviews for BIRC8 Antibody (NBP1-03071) (0)

There are no reviews for BIRC8 Antibody (NBP1-03071). By submitting a review you will receive an Amazon e-Gift Card or Novus Product Discount.
  • Review with no image -- $10/€7/£6/$10 CAD/¥70 Yuan/¥1110 Yen
  • Review with an image -- $25/€18/£15/$25 CAD/¥150 Yuan/¥2500 Yen

Product General Protocols

Find general support by application which include: protocols, troubleshooting, illustrated assays, videos and webinars.

Video Protocols

WB Video Protocol
ICC/IF Video Protocol

FAQs for BIRC8 Antibody (NBP1-03071) (0)

There are no specific FAQs related to this product. Read our general customer & technical service FAQs.

Secondary Antibodies

 

Isotype Controls

Additional BIRC8 Products

Research Areas for BIRC8 Antibody (NBP1-03071)

Find related products by research area.

Blogs on BIRC8.

The Ins and Outs of Survivin
By Rachel M.A. Linger, Ph.D.What is survivin?Survivin is a small (16.5 kDa) protein normally found in human fetal tissue. In contrast, survivin is typically undetectable in most normal adult tissues. Expression of ...  Read full blog post.

Contact Information

Product PDFs

Calculators

Concentration Calculator

The concentration calculator allows you to quickly calculate the volume, mass or concentration of your vial. Simply enter your mass, volume, or concentration values for your reagent and the calculator will determine the rest.

=
÷

Review this Product

Be the first to review our BIRC8 Antibody and receive a gift card or discount.

Bioinformatics

Gene Symbol BIRC8
Entrez
Uniprot