Attractin Antibody

Images

 
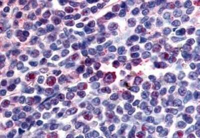
Immunohistochemistry-Paraffin: Attractin Antibody [NB100-59018] - Analysis of anti-ATRN / Attractin antibody with human spleen at concentration 20 ug/ml.

Product Details

Summary
Product Discontinued
View other related Attractin Primary Antibodies

Order Details


    • Catalog Number
      NB100-59018
    • Availability
      Product Discontinued

    Can't find what you are looking for? Use our Antibody Concierge Service & we will help you locate your antibody!

    Or feel free to contact us for alternative products.

Attractin Antibody Summary

Immunogen
Synthetic 17 amino acid peptide from internal region of human ATRN / Attractin.
Specificity
Human Attractin. BLAST analysis of the peptide immunogen showed no homology with other human proteins, except LRP2 (47%).
Predicted Species
Primate (94%), Monkey (94%), Rabbit (94%). Backed by our 100% Guarantee.
Isotype
IgG
Clonality
Polyclonal
Host
Rabbit
Gene
ATRN
Purity
Immunogen affinity purified
Innovator's Reward
Test in a species/application not listed above to receive a full credit towards a future purchase.

Applications/Dilutions

Dilutions
  • Immunohistochemistry
  • Immunohistochemistry-Paraffin 20 ug/ml

Reactivity Notes

Predicted cross-reactivity based on sequence identity: Gibbon (100%), Marmoset (100%), Gorilla (94%), Bovine (82%).

Packaging, Storage & Formulations

Storage
Store at 4C short term. Aliquot and store at -20C long term. Avoid freeze-thaw cycles.
Buffer
PBS
Preservative
0.1% Sodium Azide
Concentration
0.9 mg/ml
Purity
Immunogen affinity purified

Alternate Names for Attractin Antibody

  • ATRN
  • Attractin
  • DPPT-L
  • KIAA0548
  • Mahogany Protein
  • MGC126754
  • MGCA

Background

Multiple transcript variants encoding different isoforms exist for this gene. One of the isoforms is a membrane-bound protein with sequence similarity to the mouse mahogany protein, a receptor involved in controlling obesity. The other isoform is a secreted protein involved in the initial immune cell clustering during inflammatory responses that may regulate the chemotactic activity of chemokines.

Limitations

This product is for research use only and is not approved for use in humans or in clinical diagnosis. Primary Antibodies are guaranteed for 1 year from date of receipt.

Customers Who Viewed This Item Also Viewed...

AF1180
Species: Hu
Applications: ICC, IHC, Simple Western, WB
9094-AG
Species: Hu
Applications: BA
NB100-1533
Species: Hu, Mu, Po, Rt, Sh
Applications: Flow, ICC/IF, IHC,  IHC-P, PEP-ELISA, WB
DAGR00
Species: Hu
Applications: ELISA
NBP3-25558
Species: Hu, Mu, Rt
Applications: ICC/IF, IHC, IHC-Fr,  IHC-P, WB
NBP2-72665
Species: Hu, Pm, Mu, Pm, Rt
Applications: CyTOF-ready, Flow, ICC/IF, WB
NBP1-88861
Species: Hu, Mu
Applications: ICC/IF, IHC,  IHC-P, IP, Simple Western, WB
NBP1-87404
Species: Hu, Mu, Rt
Applications: ICC/IF, IHC,  IHC-P, WB
NBP2-92749
Species: Hu, Mu
Applications: ELISA, WB
NBP1-31754
Species: Hu, Pm, Mu
Applications: ICC/IF, IHC,  IHC-P, WB
NBP2-21037
Species: Hu
Applications: IHC,  IHC-P, WB
DLP00
Species: Hu
Applications: ELISA
AF2439
Species: Mu
Applications: IHC, WB
236-EG
Species: Hu
Applications: BA
NBP2-31361
Species: Hu
Applications: IHC,  IHC-P, WB
NBP1-81988
Species: Hu
Applications: IHC,  IHC-P
NBP2-41103
Species: Hu, Mu, Rt
Applications: ELISA, ICC/IF, IHC,  IHC-P, WB
NB100-59018
Species: Hu, Mu, Rt, Po, Bt, Ca, Ha, Pm, Pm, Rb
Applications: IHC

Publications for Attractin Antibody (NB100-59018) (0)

There are no publications for Attractin Antibody (NB100-59018).
By submitting your publication information earn gift cards and discounts for future purchases.

Reviews for Attractin Antibody (NB100-59018) (0)

There are no reviews for Attractin Antibody (NB100-59018). By submitting a review you will receive an Amazon e-Gift Card or Novus Product Discount.
  • Review with no image -- $10/€7/£6/$10 CAD/¥70 Yuan/¥1110 Yen
  • Review with an image -- $25/€18/£15/$25 CAD/¥150 Yuan/¥2500 Yen

Product General Protocols

Find general support by application which include: protocols, troubleshooting, illustrated assays, videos and webinars.

FAQs for Attractin Antibody (NB100-59018) (0)

There are no specific FAQs related to this product. Read our general customer & technical service FAQs.

Secondary Antibodies

 

Isotype Controls

Additional Attractin Products

Research Areas for Attractin Antibody (NB100-59018)

Find related products by research area.

Blogs on Attractin

There are no specific blogs for Attractin, but you can read our latest blog posts.

Contact Information

Product PDFs

Calculators

Concentration Calculator

The concentration calculator allows you to quickly calculate the volume, mass or concentration of your vial. Simply enter your mass, volume, or concentration values for your reagent and the calculator will determine the rest.

=
÷

Review this Product

Be the first to review our Attractin Antibody and receive a gift card or discount.

Bioinformatics

Gene Symbol ATRN
Entrez
Uniprot