Attractin Antibody

Images

 
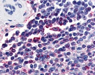
Immunohistochemistry-Paraffin: Attractin Antibody [NB100-58757] - ATRN / Attractin antibody (20 ug/ml) was used to stain formalin-fixed, paraffin-embedded human spleen, followed by biotinylated goat anti-rabbit IgG ...read more

Product Details

Summary
Product Discontinued
View other related Attractin Primary Antibodies

Order Details


    • Catalog Number
      NB100-58757
    • Availability
      Product Discontinued

    Can't find what you are looking for? Use our Antibody Concierge Service & we will help you locate your antibody!

    Or feel free to contact us for alternative products.

Attractin Antibody Summary

Immunogen
Synthetic 16 amino acid peptide from internal region of human ATRN / Attractin.
Epitope
internal domain of human protein
Specificity
Human Attractin. BLAST analysis of the peptide immunogen showed no homology with other human proteins, except KCTD19 (50%).
Predicted Species
Primate (100%). Backed by our 100% Guarantee.
Isotype
IgG
Clonality
Polyclonal
Host
Rabbit
Gene
ATRN
Purity
Immunogen affinity purified
Innovator's Reward
Test in a species/application not listed above to receive a full credit towards a future purchase.

Applications/Dilutions

Dilutions
  • Immunohistochemistry
  • Immunohistochemistry-Paraffin 20 ug/ml
Application Notes
IHC: NB100-58757 was validated for use in immunohistochemistry on a panel of 21 formalin-fixed, paraffin-embedded (FFPE) human tissues after heat induced antigen retrieval in pH 6.0 citrate buffer. After incubation with the primary antibody, slides were incubated with biotinylated secondary antibody, followed by alkaline phosphatase-streptavidin and chromogen. The stained slides were evaluated by a pathologist to confirm staining specificity.

Reactivity Notes

Predicted cross-reactivity based on sequence identity: Gorilla (100%), Gibbon (94%), Monkey (88%), Bovine (88%), Porcine (88%), Marmoset (81%), Rat (81%), Bat (81%), Hamster (81%).

Packaging, Storage & Formulations

Storage
Store at 4C short term. Aliquot and store at -20C long term. Avoid freeze-thaw cycles.
Buffer
PBS
Preservative
0.1% Sodium Azide
Concentration
0.7 mg/ml
Purity
Immunogen affinity purified

Alternate Names for Attractin Antibody

  • ATRN
  • Attractin
  • DPPT-L
  • KIAA0548
  • Mahogany Protein
  • MGC126754
  • MGCA

Background

Attractin is a serum glycoprotein of 175 kDaand found in both membrane-bound and secreted forms as a result of alternative splicing. Both the secreted and membrane-bound forms of attractin may be involved in the development and maintenance of the central nervous system. Membrane-bound attractin is a co-receptor for Agouti, antagonist of melanocortin-1 receptor. Secreted attractin, expressed by activated T lymphocytes and modulates interactions between T cells and monocytes/macrophages, was examined as a potential marker of immune activity. Attractinmay be a component of a pathway for regulated protein turnover that also involves mahogunin, a wide-expressed E3 ubiquitinligase found at particularly high levels in the brain. Attractinwas considered as an extracellular target amenable for the development of obesity-regulating drugs, also.

Limitations

This product is for research use only and is not approved for use in humans or in clinical diagnosis. Primary Antibodies are guaranteed for 1 year from date of receipt.

Customers Who Viewed This Item Also Viewed...

AF1180
Species: Hu
Applications: ICC, IHC, Simple Western, WB
9094-AG
Species: Hu
Applications: BA
NB100-1533
Species: Hu, Mu, Po, Rt, Sh
Applications: Flow, ICC/IF, IHC,  IHC-P, PEP-ELISA, WB
DAGR00
Species: Hu
Applications: ELISA
NBP3-25558
Species: Hu, Mu, Rt
Applications: ICC/IF, IHC, IHC-Fr,  IHC-P, WB
NBP2-72665
Species: Hu, Pm, Mu, Pm, Rt
Applications: CyTOF-ready, Flow, ICC/IF, WB
NBP1-88861
Species: Hu, Mu
Applications: ICC/IF, IHC,  IHC-P, IP, Simple Western, WB
NBP1-87404
Species: Hu, Mu, Rt
Applications: ICC/IF, IHC,  IHC-P, WB
NBP2-92749
Species: Hu, Mu
Applications: ELISA, WB
NBP1-31754
Species: Hu, Pm, Mu
Applications: ICC/IF, IHC,  IHC-P, WB
NBP2-21037
Species: Hu
Applications: IHC,  IHC-P, WB
DLP00
Species: Hu
Applications: ELISA
AF2439
Species: Mu
Applications: IHC, WB
236-EG
Species: Hu
Applications: BA
NBP2-31361
Species: Hu
Applications: IHC,  IHC-P, WB
NBP1-81988
Species: Hu
Applications: IHC,  IHC-P
NBP2-41103
Species: Hu, Mu, Rt
Applications: ELISA, ICC/IF, IHC,  IHC-P, WB
NB100-58757
Species: Hu, Pm
Applications: IHC

Publications for Attractin Antibody (NB100-58757) (0)

There are no publications for Attractin Antibody (NB100-58757).
By submitting your publication information earn gift cards and discounts for future purchases.

Reviews for Attractin Antibody (NB100-58757) (0)

There are no reviews for Attractin Antibody (NB100-58757). By submitting a review you will receive an Amazon e-Gift Card or Novus Product Discount.
  • Review with no image -- $10/€7/£6/$10 CAD/¥70 Yuan/¥1110 Yen
  • Review with an image -- $25/€18/£15/$25 CAD/¥150 Yuan/¥2500 Yen

Product General Protocols

Find general support by application which include: protocols, troubleshooting, illustrated assays, videos and webinars.

FAQs for Attractin Antibody (NB100-58757) (0)

There are no specific FAQs related to this product. Read our general customer & technical service FAQs.

Secondary Antibodies

 

Isotype Controls

Additional Attractin Products

Research Areas for Attractin Antibody (NB100-58757)

Find related products by research area.

Blogs on Attractin

There are no specific blogs for Attractin, but you can read our latest blog posts.

Contact Information

Product PDFs

Calculators

Concentration Calculator

The concentration calculator allows you to quickly calculate the volume, mass or concentration of your vial. Simply enter your mass, volume, or concentration values for your reagent and the calculator will determine the rest.

=
÷

Review this Product

Be the first to review our Attractin Antibody and receive a gift card or discount.

Bioinformatics

Gene Symbol ATRN
Entrez