ATP Citrate Lyase Antibody (ST51-07)

Images

 
Western Blot: ATP Citrate Lyase Antibody (ST51-07) [NBP2-67509] - Analysis of ATP citrate lyase on different lysates. Proteins were transferred to a PVDF membrane and blocked with 5% BSA in PBS for 1 hour at room ...read more
Immunocytochemistry/ Immunofluorescence: ATP Citrate Lyase Antibody (ST51-07) [NBP2-67509] - Staining ATP citrate lyase in Hela cells (green). The nuclear counter stain is DAPI (blue). Cells were fixed in ...read more
Immunohistochemistry-Paraffin: ATP Citrate Lyase Antibody (ST51-07) [NBP2-67509] - Analysis of mouse thyroid tissue using anti-ATP citrate lyase antibody. Counter stained with hematoxylin.
Flow Cytometry: ATP Citrate Lyase Antibody (ST51-07) [NBP2-67509] - Analysis of Hela cells with ATP citrate lyase antibody at 1/50 dilution (blue) compared with an unlabelled control (cells without incubation with ...read more
Immunocytochemistry/ Immunofluorescence: ATP Citrate Lyase Antibody (ST51-07) [NBP2-67509] - Staining ATP citrate lyase in CRC cells (green). The nuclear counter stain is DAPI (blue). Cells were fixed in ...read more
Immunocytochemistry/ Immunofluorescence: ATP Citrate Lyase Antibody (ST51-07) [NBP2-67509] - Staining ATP citrate lyase in A549 cells (green). The nuclear counter stain is DAPI (blue). Cells were fixed in ...read more
Immunohistochemistry-Paraffin: ATP Citrate Lyase Antibody (ST51-07) [NBP2-67509] - Analysis of human breast carcinoma tissue using anti-ATP citrate lyase antibody. Counter stained with hematoxylin.
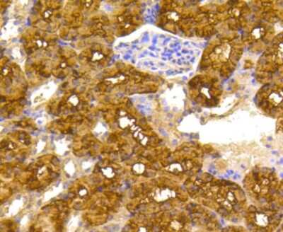
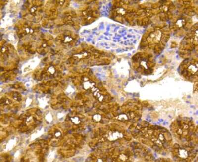
Immunohistochemistry-Paraffin: ATP Citrate Lyase Antibody (ST51-07) [NBP2-67509] - Analysis of human thyroid tissue using anti-ATP citrate lyase citrate lyase antibody. Counter stained with hematoxylin.
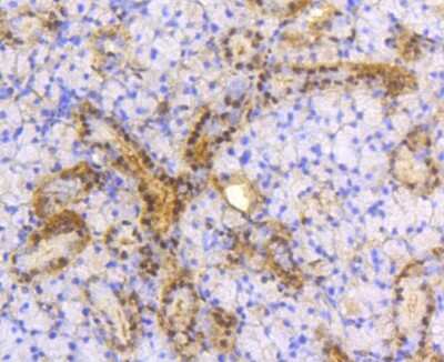
Immunohistochemistry-Paraffin: ATP Citrate Lyase Antibody (ST51-07) [NBP2-67509] - Analysis of mouse kidney tissue using anti-ATP citrate lyase antibody. Counter stained with hematoxylin.

Product Details

Summary
Product Discontinued
View other related ATP Citrate Lyase Primary Antibodies

Order Details


    • Catalog Number
      NBP2-67509
    • Availability
      Product Discontinued

    Can't find what you are looking for? Use our Antibody Concierge Service & we will help you locate your antibody!

    Or feel free to contact us for alternative products.

ATP Citrate Lyase Antibody (ST51-07) Summary

Additional Information
Recombinant Monoclonal Antibody.
Immunogen
Synthetic peptide within C-terminal human ATP Citrate Lyase. (SwissProt: P53396 Human; SwissProt: Q91V92 Mouse; SwissProt: P16638 Rat)
Localization
Cytoplasm, nucleoplasm.
Isotype
IgG
Clonality
Monoclonal
Host
Rabbit
Gene
ACLY
Purity
Protein A purified
Innovator's Reward
Test in a species/application not listed above to receive a full credit towards a future purchase.

Applications/Dilutions

Dilutions
  • Flow Cytometry 1:50-1:200
  • Immunocytochemistry/ Immunofluorescence 1:50-1:200
  • Immunohistochemistry
  • Immunohistochemistry-Paraffin 1:50-1:200
  • Immunoprecipitation
  • Western Blot 1:500-1:2000

Packaging, Storage & Formulations

Storage
Store at 4C short term. Aliquot and store at -20C long term. Avoid freeze-thaw cycles.
Buffer
TBS (pH7.4), 0.05% BSA, 40% Glycerol
Preservative
0.05% Sodium Azide
Concentration
1 mg/ml
Purity
Protein A purified

Alternate Names for ATP Citrate Lyase Antibody (ST51-07)

  • ACLEC 2.3.3.8
  • ACLY
  • ATP Citrate Lyase
  • ATP citrate synthase
  • ATP-citrate (pro-S-)-lyase
  • ATP-citrate synthase
  • ATPCL
  • Citrate cleavage enzyme
  • CLATP
  • EC 2.3.3.8

Background

ATP citrate lyase (ACLY), also known as ATP citrate synthase, is the primary enzyme responsible for the synthesis of cytosolic acetyl-CoA in many tissues. The enzyme is a tetramer of four identical subunits. It catalyzes the formation of acetyl-CoA and oxaloacetate from citrate and CoA with a concomitant hydrolysis of ATP to ADP and phosphate. One of these products, acetyl-CoA, serves several important biosynthetic pathways, including lipogenesis and cholesterogenesis. In nervous tissue, ATP citrate-lyase may be involved in the biosynthesis of acetylcholine. NDPK has been found to phosphorylate ACLY and insulin to increase phosphorylation of ACLY (2).

Limitations

This product is for research use only and is not approved for use in humans or in clinical diagnosis. Primary Antibodies are guaranteed for 1 year from date of receipt.

Customers Who Viewed This Item Also Viewed...

H00009033-M01
Species: Hu, Mu, Rt
Applications: ELISA, PAGE, WB
AF743
Species: Mu
Applications: CyTOF-ready, Flow, WB
NBP1-31336
Species: Hu, Mu, Rt
Applications: ICC/IF, IHC,  IHC-P, KD, WB
MAB2806
Species: Hu
Applications: CyTOF-ready, Flow, WB
NBP2-47427
Species: Ca, Hu
Applications: ICC/IF, IHC,  IHC-P, WB
NBP1-97503
Species: Bv, Ca, Ch, Gp, Ha, Hu, Mu, Md, Po, Pm, Rb, Rt, Sh, Xp
Applications: IHC,  IHC-P, IP, WB
H00010963-M01
Species: Hu, Mu
Applications: ELISA, ICC/IF, IHC,  IHC-P, IP, S-ELISA, WB
NB400-114
Species: Ch, Fe, Ha, Hu, Mu, Pl, Po, Pm, Rt
Applications: ICC/IF, IHC,  IHC-P, IP, KD, WB
NBP1-58268
Species: Hu, Mu
Applications: IHC,  IHC-P, WB
NBP1-32398
Species: Hu, Mu, Rt
Applications: ICC/IF, IHC,  IHC-P, IP, KD, WB
NBP1-89559
Species: Hu
Applications: IHC,  IHC-P, WB
NBP3-05078
Species: Hu, Mu, Rt
Applications: ICC/IF, IHC,  IHC-P, WB
NBP2-46376
Species: Hu
Applications: IHC,  IHC-P, WB
MAB1417
Species: Bv, Hu, Mu
Applications: ICC, IHC
NBP2-38962
Species: Hu
Applications: IHC,  IHC-P
NBP3-47382
Species: Hu, Mu, Rt
Applications: ELISA, IHC, WB
NB100-236
Species: Hu, Mu
Applications: IB, IHC, IHC-Fr, WB
NB120-13550
Species: Hu, Mu, Rt
Applications: ICC/IF, IHC,  IHC-P, WB

Publications for ATP Citrate Lyase Antibody (NBP2-67509) (0)

There are no publications for ATP Citrate Lyase Antibody (NBP2-67509).
By submitting your publication information earn gift cards and discounts for future purchases.

Reviews for ATP Citrate Lyase Antibody (NBP2-67509) (0)

There are no reviews for ATP Citrate Lyase Antibody (NBP2-67509). By submitting a review you will receive an Amazon e-Gift Card or Novus Product Discount.
  • Review with no image -- $10/€7/£6/$10 CAD/¥70 Yuan/¥1110 Yen
  • Review with an image -- $25/€18/£15/$25 CAD/¥150 Yuan/¥2500 Yen

Product General Protocols

Video Protocols

WB Video Protocol
ICC/IF Video Protocol

FAQs for ATP Citrate Lyase Antibody (NBP2-67509) (0)

There are no specific FAQs related to this product. Read our general customer & technical service FAQs.

Contact Information

Product PDFs

Calculators

Concentration Calculator

The concentration calculator allows you to quickly calculate the volume, mass or concentration of your vial. Simply enter your mass, volume, or concentration values for your reagent and the calculator will determine the rest.

=
÷

Review this Product

Be the first to review our ATP Citrate Lyase Antibody (ST51-07) and receive a gift card or discount.

Bioinformatics

Gene Symbol ACLY